NDUFA9 Polyclonal antibody

NDUFA9 Polyclonal Antibody for WB, IHC, ELISA

Cat No. 29621-1-AP

Host / Isotype

Rabbit / IgG

Reactivity

human, mouse, rat

Applications

WB, IHC, ELISA

CI 39kD, CI-39kD, Complex I-39kD, NADH-ubiquinone oxidoreductase 39 kDa subunit, NDUFS2L

Formulation:  PBS, Azide, Glycerol
PBS, Azide, Glycerol
Conjugate:  Unconjugated
Unconjugated
Size/Concentration: 

-/ -

Freight/Packing: -

Quantity

Please visit your regions distributor:


Tested Applications

Positive WB detected inHeLa cells, U2OS cells, mouse heart tissue, mouse skeletal muscle tissue, rat skeletal muscle tissue
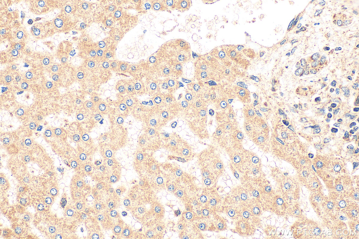
Positive IHC detected inhuman hepatocirrhosis tissue, rat kidney tissue, rat stomach tissue
Note: suggested antigen retrieval with TE buffer pH 9.0; (*) Alternatively, antigen retrieval may be performed with citrate buffer pH 6.0

Recommended dilution

ApplicationDilution
Western Blot (WB)WB : 1:500-1:2000
Immunohistochemistry (IHC)IHC : 1:50-1:500
It is recommended that this reagent should be titrated in each testing system to obtain optimal results.
Sample-dependent, Check data in validation data gallery.

Product Information

29621-1-AP targets NDUFA9 in WB, IHC, ELISA applications and shows reactivity with human, mouse, rat samples.

Tested Reactivity human, mouse, rat
Host / Isotype Rabbit / IgG
Class Polyclonal
Type Antibody
Immunogen

CatNo: Ag31222

Product name: Recombinant human NDUFA9 protein

Source: e coli.-derived, PGEX-4T

Tag: GST

Domain: 108-227 aa of BC009311

Sequence: WDARDKDSIRRVVQHSNVVINLIGRDWETKNFDFEDVFVKIPQAIAQLSKEAGVEKFIHVSHLNANIKSSSRYLRNKAVGEKVVRDAFPEAIIVKPSDIFGREDRFLNSFASMHRFGPIP

Predict reactive species
Full Name NADH dehydrogenase (ubiquinone) 1 alpha subcomplex, 9, 39kDa
Calculated Molecular Weight 377 aa, 43 kDa
Observed Molecular Weight35 kDa
GenBank Accession NumberBC009311
Gene Symbol NDUFA9
Gene ID (NCBI) 4704
RRIDAB_2918331
Conjugate Unconjugated
FormLiquid
Purification MethodAntigen affinity purification
UNIPROT IDQ16795
Storage Buffer PBS with 0.02% sodium azide and 50% glycerol, pH 7.3.
Storage ConditionsStore at -20°C. Stable for one year after shipment. Aliquoting is unnecessary for -20oC storage. 20ul sizes contain 0.1% BSA.

Background Information

NDUFA9 (NADH: ubiquinone oxidoreductase subunit A9), also named as NDUFS2L, belongs to the complex I NDUFA9 subunit family. NDUFA9 gene encodes a subunit of the mitochondrial membrane respiratory chain NADH dehydrogenase (complex I). Instead of being implicated in the catalysis, NDUFA9 is required for proper assembly of the complex I (PMID: 34938809). The predicted molecular weight of NDUFA9 is 42 kDa. With modification, the MW of NDUFA9 will be migrated to 35 kDa.

Protocols

Product Specific Protocols
IHC protocol for NDUFA9 antibody 29621-1-APDownload protocol
WB protocol for NDUFA9 antibody 29621-1-APDownload protocol
Standard Protocols
Click here to view our Standard Protocols
Loading...
||
New chat

Able

正在加载,请稍候...