Tested Applications
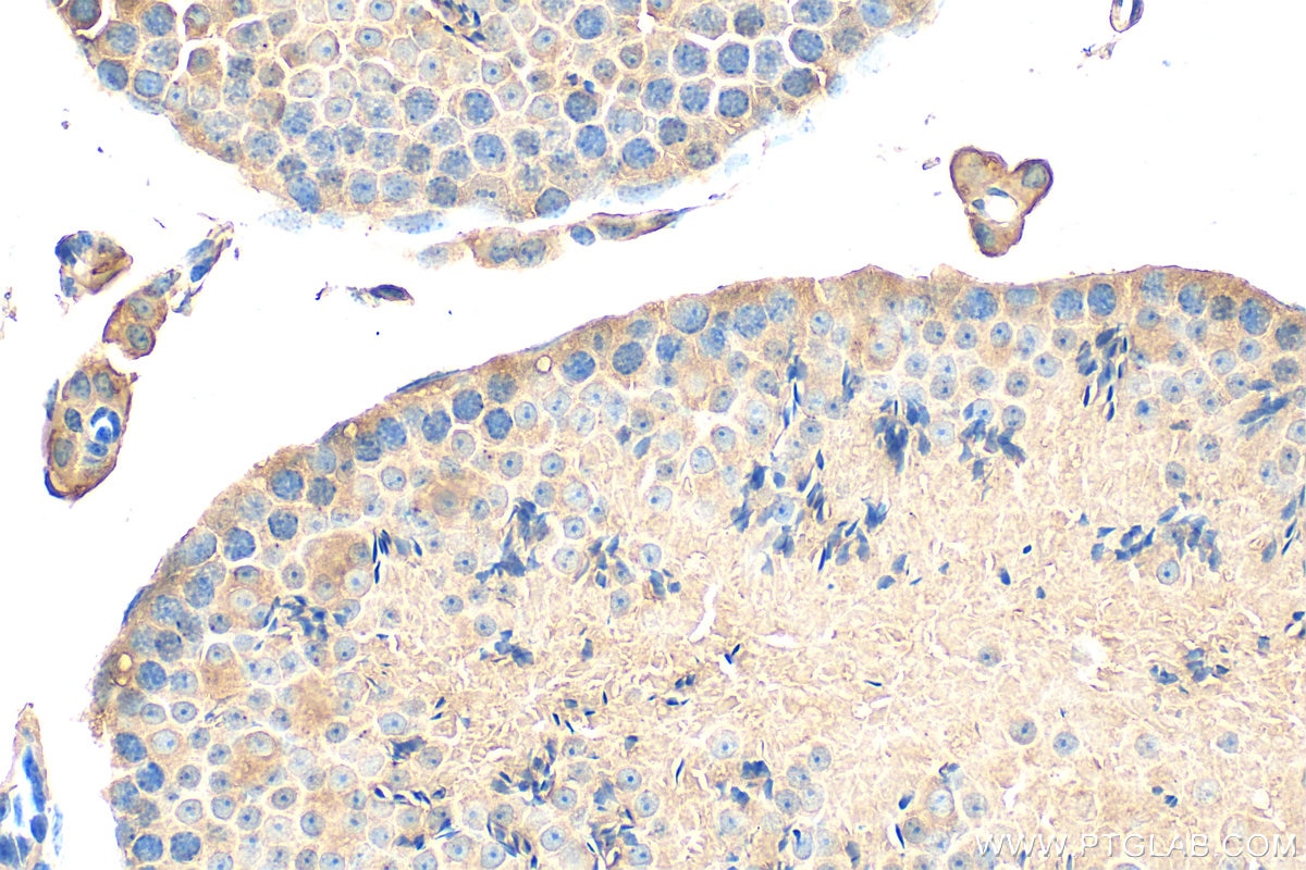
| Positive IHC detected in | mouse testis tissue, human placenta tissue, human small intestine tissue, human testis tissue Note: suggested antigen retrieval with TE buffer pH 9.0; (*) Alternatively, antigen retrieval may be performed with citrate buffer pH 6.0 |
Recommended dilution
| Application | Dilution |
|---|---|
| Immunohistochemistry (IHC) | IHC : 1:50-1:500 |
| It is recommended that this reagent should be titrated in each testing system to obtain optimal results. | |
| Sample-dependent, Check data in validation data gallery. | |
Product Information
19505-1-AP targets NPFFR2 in IHC, ELISA applications and shows reactivity with human samples.
| Tested Reactivity | human |
| Host / Isotype | Rabbit / IgG |
| Class | Polyclonal |
| Type | Antibody |
| Immunogen |
Peptide Predict reactive species |
| Full Name | neuropeptide FF receptor 2 |
| Calculated Molecular Weight | 60 kDa |
| GenBank Accession Number | NM_053036 |
| Gene Symbol | NPFFR2 |
| Gene ID (NCBI) | 10886 |
| RRID | AB_2878584 |
| Conjugate | Unconjugated |
| Form | Liquid |
| Purification Method | Antigen affinity purification |
| UNIPROT ID | Q9Y5X5 |
| Storage Buffer | PBS with 0.02% sodium azide and 50% glycerol, pH 7.3. |
| Storage Conditions | Store at -20°C. Stable for one year after shipment. Aliquoting is unnecessary for -20oC storage. 20ul sizes contain 0.1% BSA. |
Background Information
NPFFR2, also named as GPR74, NPFF2 and NPGPR, belongs to the G-protein coupled receptor 1 family. NPFFR2 is a receptor for NPAF (A-18-F-amide) and NPFF (F-8-F-amide) neuropeptides which also known as morphine-modulating peptides. NPFFr2 can also be activated by a variety of naturally occurring or synthetic FMRF-amide like ligands. NPFFR2 mediates its action by association with G proteins that activate a phosphatidylinositol-calcium second messenger system. The antibody can recognize isoform1, isoform2 and isoform3 of NPFFR2.
Protocols
| Product Specific Protocols | |
|---|---|
| IHC protocol for NPFFR2 antibody 19505-1-AP | Download protocol |
| Standard Protocols | |
|---|---|
| Click here to view our Standard Protocols |













