• Featured Product
  • KD/KO Validated

NR1D2 Polyclonal antibody

NR1D2 Polyclonal Antibody for WB, IF/ICC, ELISA

Cat No. 13906-1-AP

Host / Isotype

Rabbit / IgG

Reactivity

human, mouse, rat

Applications

WB, IHC, IF/ICC, ELISA

BD73, EAR 1R, EAR-1R, Rev erb beta, Rev-erb alpha-related receptor

Formulation:  PBS, Azide, Glycerol
PBS, Azide, Glycerol
Conjugate:  Unconjugated
Unconjugated
Size/Concentration: 

-/ -

Freight/Packing: -

Quantity

Please visit your regions distributor:


Tested Applications

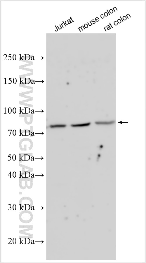
Positive WB detected inJurkat cells, HeLa cells, mouse colon tissue, rat colon tissue
Positive IF/ICC detected inPC-3 cells

Recommended dilution

ApplicationDilution
Western Blot (WB)WB : 1:500-1:2000
Immunofluorescence (IF)/ICCIF/ICC : 1:200-1:800
It is recommended that this reagent should be titrated in each testing system to obtain optimal results.
Sample-dependent, Check data in validation data gallery.

Product Information

13906-1-AP targets NR1D2 in WB, IHC, IF/ICC, ELISA applications and shows reactivity with human, mouse, rat samples.

Tested Reactivity human, mouse, rat
Cited Reactivityhuman, mouse, rat
Host / Isotype Rabbit / IgG
Class Polyclonal
Type Antibody
Immunogen

CatNo: Ag4881

Product name: Recombinant human NR1D2 protein

Source: e coli.-derived, PGEX-4T

Tag: GST

Domain: 1-351 aa of BC045613

Sequence: MEVNAGGVIAYISSSSSASSHASCHSEGSENSFQSSSSSVPSSPNSSNSDTNGNPKNGDLANIEGILKNDRIDCSMKTSKSSAPGMTKSHSGVTKFSGMVLLCKVCGDVASGFHYGVHACEGCKGFFRRSIQQNIQYKKCLKNENCSIMRMNRNRCQQCRFKKCLSVGMSRDAVRFGRIPKREKQRMLIEMQSAMKTMMNSQFSGHLQNDTLVEHHEQTALPAQEQLRPKPQLEQENIKSSSPPSSDFAKEEVIGMVTRAHKDTFMYNQEQQENSAESMQPKRGERIRKNMEQYNLNHDHCGNGLSSHFPCSESQQHLNGQFKGRNIMHYPNGHAICIANGHCMNFSNAYT

Predict reactive species
Full Name nuclear receptor subfamily 1, group D, member 2
Calculated Molecular Weight 579 aa, 65 kDa
Observed Molecular Weight 70 kDa
GenBank Accession NumberBC045613
Gene Symbol NR1D2
Gene ID (NCBI) 9975
RRIDAB_2877986
Conjugate Unconjugated
FormLiquid
Purification MethodAntigen affinity purification
UNIPROT IDQ14995
Storage Buffer PBS with 0.02% sodium azide and 50% glycerol, pH 7.3.
Storage ConditionsStore at -20°C. Stable for one year after shipment. Aliquoting is unnecessary for -20oC storage. 20ul sizes contain 0.1% BSA.

Background Information

NR1D2 (Nuclear Receptor Subfamily 1 Group D Member 2), also known as Rev-erbβ, is a nuclear receptor that functions as a heme-dependent transcriptional repressor and plays a critical role in regulating circadian rhythms and metabolic homeostasis. As an integral component of the circadian clock, NR1D2 forms a negative feedback loop by repressing the expression of core clock genes such as BMAL1 and CLOCK. It exerts its repressive function by binding to specific DNA response elements and recruiting corepressor complexes like NCOR1/HDAC3. Beyond its role in circadian regulation, NR1D2 is involved in lipid and energy metabolism, inflammatory responses, and mitochondrial function. The protein is widely expressed in tissues such as skeletal muscle, brown adipose tissue, and the heart, where it helps coordinate physiological processes with the daily light-dark cycle.

Protocols

Product Specific Protocols
IF protocol for NR1D2 antibody 13906-1-APDownload protocol
WB protocol for NR1D2 antibody 13906-1-APDownload protocol
Standard Protocols
Click here to view our Standard Protocols

Publications

SpeciesApplicationTitle
humanWB,IHC

Sci Rep

The functional and predictive roles of miR-210 in cryptorchidism.

Authors - Zhengzheng Duan
mouseWB

Am J Physiol Heart Circ Physiol

Differential effects of REV-ERBα/β agonism on cardiac gene expression, metabolism, and contractile function in a mouse model of circadian disruption.

Authors - Sobuj Mia
humanWB

Xenobiotica

Identification of rhythmic human CYPs and their circadian regulators using synchronized hepatoma cells.

Authors - Min Chen
rat,humanWB

NPJ Biofilms Microbiomes

Alleviation of Limosilactobacillus reuteri in polycystic ovary syndrome protects against circadian dysrhythmia-induced dyslipidemia via capric acid and GALR1 signaling

Authors - Shang Li
humanWB

Cell Death Dis

SR9009 inhibits lethal prostate cancer subtype 1 by regulating the LXRα/FOXM1 pathway independently of REV-ERBs

Authors - Hang Xu
  • KD Validated
mouseIHC

J Biomed Sci

Secretome from estrogen-responding human placenta-derived mesenchymal stem cells rescues ovarian function and circadian rhythm in mice with cyclophosphamide-induced primary ovarian insufficiency

Authors - Duy-Cuong Le
Loading...
||
New chat

Able

正在加载,请稍候...