Tested Applications
| Positive WB detected in | human placenta tissue, A2780 cells |
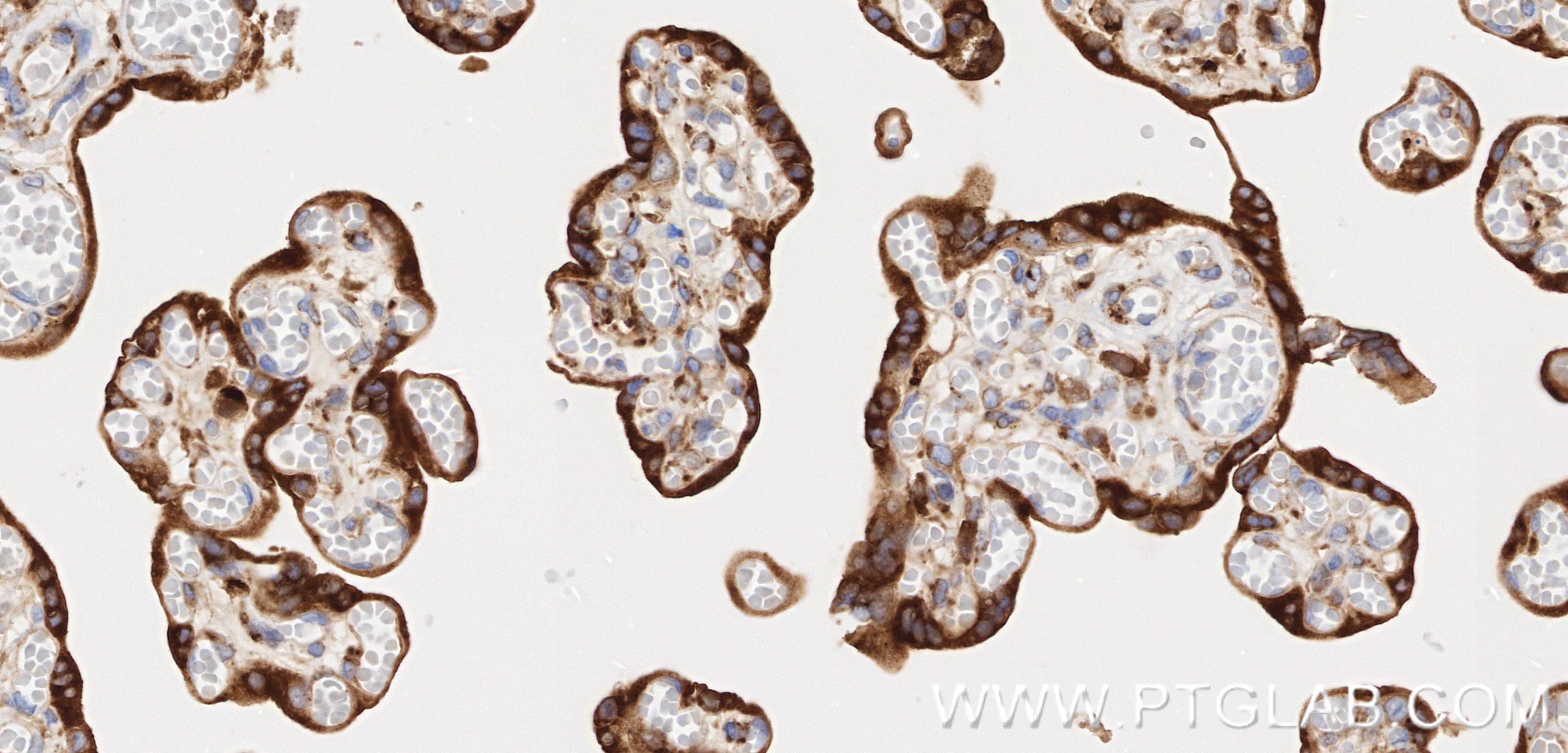
| Positive IHC detected in | human placenta tissue Note: suggested antigen retrieval with TE buffer pH 9.0; (*) Alternatively, antigen retrieval may be performed with citrate buffer pH 6.0 |
Recommended dilution
| Application | Dilution |
|---|---|
| Western Blot (WB) | WB : 1:5000-1:50000 |
| Immunohistochemistry (IHC) | IHC : 1:500-1:2000 |
| It is recommended that this reagent should be titrated in each testing system to obtain optimal results. | |
| Sample-dependent, Check data in validation data gallery. | |
Product Information
83223-6-RR targets Nectin-4/PVRL4 in WB, IHC, ELISA applications and shows reactivity with human samples.
| Tested Reactivity | human |
| Host / Isotype | Rabbit / IgG |
| Class | Recombinant |
| Type | Antibody |
| Immunogen |
CatNo: Eg0415 Product name: Recombinant human nectin 4 protein Source: mammalian cells-derived, pHZ-KIsec-C-6*HIS Tag: C-6*HIS Domain: 32-349 aa of BC010423 Sequence: GELETSDVVTVVLGQDAKLPCFYRGDSGEQVGQVAWARVDAGEGAQELALLHSKYGLHVSPAYEGRVEQPPPPRNPLDGSVLLRNAVQADEGEYECRVSTFPAGSFQARLRLRVLVPPLPSLNPGPALEEGQGLTLAASCTAEGSPAPSVTWDTEVKGTTSSRSFKHSRSAAVTSEFHLVPSRSMNGQPLTCVVSHPGLLQDQRITHILHVSFLAEASVRGLEDQNLWHIGREGAMLKCLSEGQPPPSYNWTRLDGPLPSGVRVDGDTLGFPPLTTEHSGIYVCHVSNEFSSRDSQVTVDVLDPQEDSGKQVDLVSAS Predict reactive species |
| Full Name | poliovirus receptor-related 4 |
| Calculated Molecular Weight | 510 aa, 55 kDa |
| Observed Molecular Weight | 66 kDa |
| GenBank Accession Number | BC010423 |
| Gene Symbol | Nectin-4 |
| Gene ID (NCBI) | 81607 |
| RRID | AB_3670908 |
| Conjugate | Unconjugated |
| Form | Liquid |
| Purification Method | Protein A purfication |
| UNIPROT ID | Q96NY8 |
| Storage Buffer | PBS with 0.02% sodium azide and 50% glycerol, pH 7.3. |
| Storage Conditions | Store at -20°C. Stable for one year after shipment. Aliquoting is unnecessary for -20oC storage. 20ul sizes contain 0.1% BSA. |
Background Information
Nectin-4, also known as PVRL4, is a type-I transmembrane glycoprotein that belongs to the nectin subfamily of immunoglobulin-like adhesion molecules that participate in Ca(2+)-independent cell-cell adhesion (PMID: 18703497). The extracellular domain of Nectin-4, which contains three immunoglobulin-like domains (V and two C2-type domains, VCC), can be proteolytically cleaved to release a soluble form. Nectin-4 interacts with afadin via its carboxyl-terminal cytoplasmic sequence and trans-interacts with nectin-1/PRR1 through V domain interaction (PMID: 11544254). It acts as a receptor for measles virus (PMID: 22048310). Nectin-4 is overexpressed in multiple human malignancies and the aberrant expression is correlated with cancer progression and poor prognostic (PMID: 35131876). Nectin-4 can be detected as a soluble form of 43 kDa and a transmembrane form of 66 kDa (PMID: 15784625).
Protocols
| Product Specific Protocols | |
|---|---|
| IHC protocol for Nectin-4/PVRL4 antibody 83223-6-RR | Download protocol |
| WB protocol for Nectin-4/PVRL4 antibody 83223-6-RR | Download protocol |
| Standard Protocols | |
|---|---|
| Click here to view our Standard Protocols |





