Tested Applications
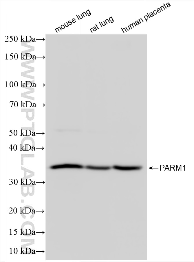
| Positive WB detected in | mouse lung tissue, rat lung tissue, human placenta tissue |
Recommended dilution
| Application | Dilution |
|---|---|
| Western Blot (WB) | WB : 1:1000-1:6000 |
| It is recommended that this reagent should be titrated in each testing system to obtain optimal results. | |
| Sample-dependent, Check data in validation data gallery. | |
Product Information
87241-3-RR targets PARM1 in WB, ELISA applications and shows reactivity with human, mouse, rat samples.
| Tested Reactivity | human, mouse, rat |
| Host / Isotype | Rabbit / IgG |
| Class | Recombinant |
| Type | Antibody |
| Immunogen |
CatNo: Eg5806 Product name: Recombinant Human PARM1 protein (rFc Tag) Source: mammalian cells-derived, V37 Tag: C-rFc Domain: 21-258 aa of NM_015393.4 Sequence: LPTSAPLSVSLPTNIVPPTTIWTSSPQNTDADTASPSNGTHNNSVLPVTASAPTSLLPKNISIESREEEITSPGSNWEGTNTDPSPSGFSSTSGGVHLTTTLEEHSSGTPEAGVAATLSQSAAEPPTLISPQAPASSPSSLSTSPPEVFSASVTTNHSSTVTSTQPTGAPTAPESPTEESSSDHTPTSHATAEPVPQEKTPPTTVSGKVMCELIDMETTTTFPRVIMQEVEHALSSGS Predict reactive species |
| Full Name | DKFZP564O0823 protein |
| Calculated Molecular Weight | 32 kDa |
| Observed Molecular Weight | 32 kDa, 100 kDa |
| GenBank Accession Number | NM_015393.4 |
| Gene Symbol | DKFZP564O0823 |
| Gene ID (NCBI) | 25849 |
| Conjugate | Unconjugated |
| Form | Liquid |
| Purification Method | Protein A purification |
| UNIPROT ID | Q6UWI2 |
| Storage Buffer | PBS with 0.02% sodium azide and 50% glycerol, pH 7.3. |
| Storage Conditions | Store at -20°C. Stable for one year after shipment. Aliquoting is unnecessary for -20oC storage. 20ul sizes contain 0.1% BSA. |
Protocols
| Product Specific Protocols | |
|---|---|
| WB protocol for PARM1 antibody 87241-3-RR | Download protocol |
| Standard Protocols | |
|---|---|
| Click here to view our Standard Protocols |



