Tested Applications
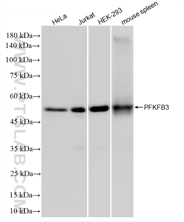
| Positive WB detected in | HeLa cells, rat thymus tissue, Jurkat cells, HEK-293 cells, mouse spleen tissue |
| Positive IF/ICC detected in | A549 cells |
Recommended dilution
| Application | Dilution |
|---|---|
| Western Blot (WB) | WB : 1:2000-1:10000 |
| Immunofluorescence (IF)/ICC | IF/ICC : 1:400-1:1600 |
| It is recommended that this reagent should be titrated in each testing system to obtain optimal results. | |
| Sample-dependent, Check data in validation data gallery. | |
Product Information
87233-1-RR targets PFKFB3 in WB, IF/ICC, ELISA applications and shows reactivity with human, mouse, rat samples.
| Tested Reactivity | human, mouse, rat |
| Host / Isotype | Rabbit / IgG |
| Class | Recombinant |
| Type | Antibody |
| Immunogen |
CatNo: Ag4744 Product name: Recombinant human PFKFB3 protein Source: e coli.-derived, PGEX-4T Tag: GST Domain: 243-520 aa of BC040482 Sequence: HVQPRTIYLCRHGENEHNLQGRIGGDSGLSSRGKKFASALSKFVEEQNLKDLRVWTSQLKSTIQTAEALRLPYEQWKALNEIDAGVCEELTYEEIRDTYPEEYALREQDKYYYRYPTGESYQDLVQRLEPVIMELERQENVLVICHQAVLRCLLAYFLDKSAEEMPYLKCPLHTVLKLTPVAYGCRVESIYLNVESVCTHRERSEDAKKGPNPLMRRNSVTPLASPEPTKKPRINSFEEHVASTSAALPSCLPPEVPTQLPGQNMKGSRSSADSSRKH Predict reactive species |
| Full Name | 6-phosphofructo-2-kinase/fructose-2,6-biphosphatase 3 |
| Calculated Molecular Weight | 520 aa, 60 kDa |
| Observed Molecular Weight | 58 kDa |
| GenBank Accession Number | BC040482 |
| Gene Symbol | PFKFB3 |
| Gene ID (NCBI) | 5209 |
| Conjugate | Unconjugated |
| Form | Liquid |
| Purification Method | Protein A purification |
| UNIPROT ID | Q16875 |
| Storage Buffer | PBS with 0.02% sodium azide and 50% glycerol, pH 7.3. |
| Storage Conditions | Store at -20°C. Stable for one year after shipment. Aliquoting is unnecessary for -20oC storage. 20ul sizes contain 0.1% BSA. |
Background Information
PFKFB3, also named as NY-REN-56 and iPFK-2, plays a role in glucose metabolism. Its synthesis and degradation of fructose 2,6-bisphosphate. Endogenously generated adenosine cooperates with bacterial components to increase PFKFB3 isozyme activity, resulting in greater fructose 2,6-bisphosphate accumulation. PFKFB3 is required for increased growth, metabolic activity and is regulated through active JAK2 and STAT5.
Protocols
| Product Specific Protocols | |
|---|---|
| IF protocol for PFKFB3 antibody 87233-1-RR | Download protocol |
| WB protocol for PFKFB3 antibody 87233-1-RR | Download protocol |
| Standard Protocols | |
|---|---|
| Click here to view our Standard Protocols |







