PITPNM2/NIR3 Polyclonal antibody

PITPNM2/NIR3 Polyclonal Antibody for IHC, ELISA

Cat No. 21169-1-AP

Host / Isotype

Rabbit / IgG

Reactivity

human, mouse

Applications

IHC, ELISA

PITPNM2, KIAA1457, Membrane-associated phosphatidylinositol transfer protein 2, NIR3, NIR-3

Formulation:  PBS, Azide, Glycerol
PBS, Azide, Glycerol
Conjugate:  Unconjugated
Unconjugated
Size/Concentration: 

-/ -

Freight/Packing: -

Quantity

Please visit your regions distributor:


Tested Applications

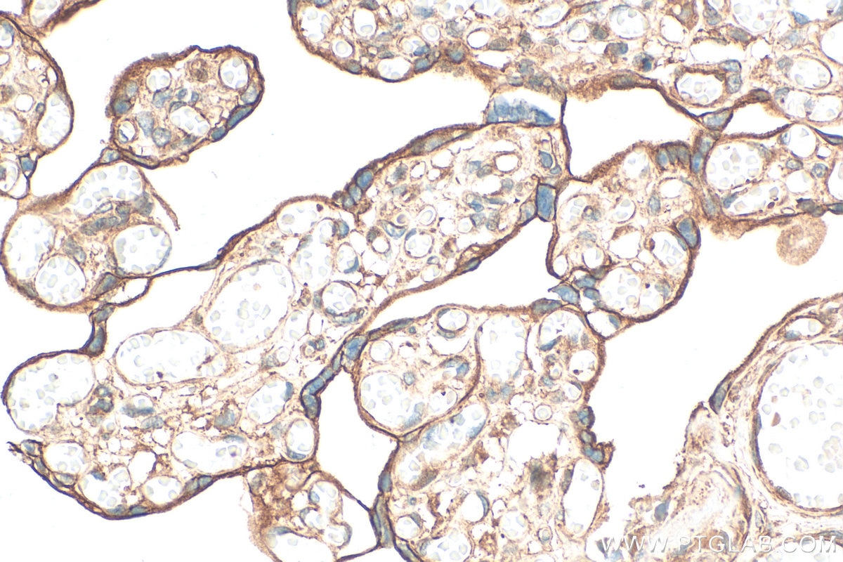
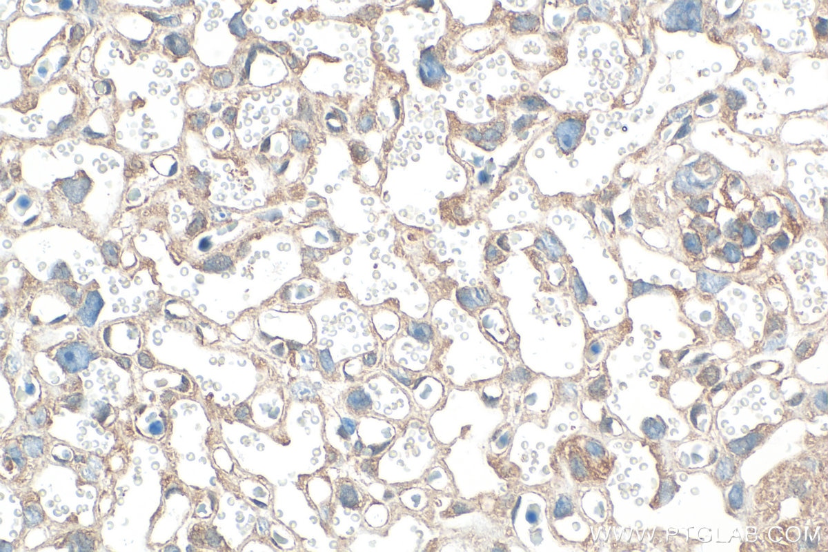
Positive IHC detected inhuman placenta tissue, mouse placenta tissue
Note: suggested antigen retrieval with TE buffer pH 9.0; (*) Alternatively, antigen retrieval may be performed with citrate buffer pH 6.0

Recommended dilution

ApplicationDilution
Immunohistochemistry (IHC)IHC : 1:400-1:1600
It is recommended that this reagent should be titrated in each testing system to obtain optimal results.
Sample-dependent, Check data in validation data gallery.

Product Information

21169-1-AP targets PITPNM2/NIR3 in IHC, ELISA applications and shows reactivity with human, mouse samples.

Tested Reactivity human, mouse
Host / Isotype Rabbit / IgG
Class Polyclonal
Type Antibody
Immunogen

CatNo: Ag15385

Product name: Recombinant human PITPNM2 protein

Source: e coli.-derived, PGEX-4T

Tag: GST

Domain: 233-328 aa of BC141813

Sequence: EWYGLSMENIRELEKEAQLMLSRKMAQFNEDGEEATELVKHEAVSDQTSGEPPEPSSSNGEPLVGRGLKKQWSTSSKSSRSSKRGASPSRHSISEW

Predict reactive species
Full Name phosphatidylinositol transfer protein, membrane-associated 2
Calculated Molecular Weight 1349 aa, 149 kDa
GenBank Accession NumberBC141813
Gene Symbol PITPNM2
Gene ID (NCBI) 57605
Conjugate Unconjugated
FormLiquid
Purification MethodAntigen affinity purification
UNIPROT IDQ9BZ72
Storage Buffer PBS with 0.02% sodium azide and 50% glycerol, pH 7.3.
Storage ConditionsStore at -20°C. Stable for one year after shipment. Aliquoting is unnecessary for -20oC storage. 20ul sizes contain 0.1% BSA.

Background Information

PITPNM2, also known as NIR3, belongs to a family of membrane-associated phosphatidylinositol transfer domain-containing proteins that share homology with the Drosophila retinal degeneration B (rdgB) protein(PMID: 15627748). PITPNM2/NIR3 promotes both TCRβ selection and positive selection in thymocytes. PITPNM2/NIR3 is required for PIP2 replenishment and TCR-induced calcium signaling in response to weak TCR stimulation(PMID: 36581712).

Protocols

Product Specific Protocols
IHC protocol for PITPNM2/NIR3 antibody 21169-1-APDownload protocol
Standard Protocols
Click here to view our Standard Protocols
Loading...
||
New chat

Able

正在加载,请稍候...