Product Information
60556-7-PBS targets POT1 in WB, Indirect ELISA applications and shows reactivity with human samples.
| Tested Reactivity | human |
| Host / Isotype | Mouse / IgG2a |
| Class | Monoclonal |
| Type | Antibody |
| Immunogen |
CatNo: Ag36974 Product name: Recombinant human POT1 protein Source: e coli.-derived, PET28a Tag: 6*His Domain: 336-634 aa of BC002923 Sequence: ILTDHQYLERTPLCAILKQKAPQQYRIRAKLRSYKPRRLFQSVKLHCPKCHLLQEVPHEGDLDIIFQDGATKTPDVKLQNTSLYDSKIWTTKNQKGRKVAVHFVKNNGILPLSNECLLLIEGGTLSEICKLSNKFNSVIPVRSGHEDLELLDLSAPFLIQGTIHHYGCKQCSSLRSIQNLNSLVDKTSWIPSSVAEALGIVPLQYVFVMTFTLDDGTGVLEAYLMDSDKFFQIPASEVLMDDDLQKSVDMIMDMFCPPGIKIDAYPWLECFIKSYNVTNGTDNQICYQIFDTTVAEDVI Predict reactive species |
| Full Name | POT1 protection of telomeres 1 homolog (S. pombe) |
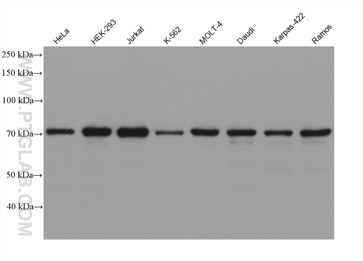
| Calculated Molecular Weight | 71 kDa |
| Observed Molecular Weight | 71 kDa |
| GenBank Accession Number | BC002923 |
| Gene Symbol | POT1 |
| Gene ID (NCBI) | 25913 |
| Conjugate | Unconjugated |
| Form | Liquid |
| Purification Method | Protein A purification |
| UNIPROT ID | Q9NUX5 |
| Storage Buffer | PBS only, pH 7.3. |
| Storage Conditions | Store at -80°C. |
Background Information
Protection of telomeres 1(POT1) is a conserved protein that binds the G-rich stand of its own telomeric repeat sequence, with a role in protecting chromosome ends. It's housekeeping gene that is required to ensure the integrity of chromosome ends in all cells. It's a component of the telomerase ribonucleoprotein(RNP) complex that is esential for the replication of chromosome termini. It consists the TRF1 compex that is involved in the regulation of telomere length by cis-inhibition of telomerase. We have discovered that POT1 exists in at least three consistently occurring forms; 90, 70 and 45kDa. The unexpected molecular weights of POT1 seem to be associated with SUMO1 and ubiquitin conjugation; the latter occurring at a double lysine residue at 289-KK-290 (.PMID: 24054699)

