Tested Applications
| Positive WB detected in | mouse cerebellum tissue, rat cerebellum tissue |
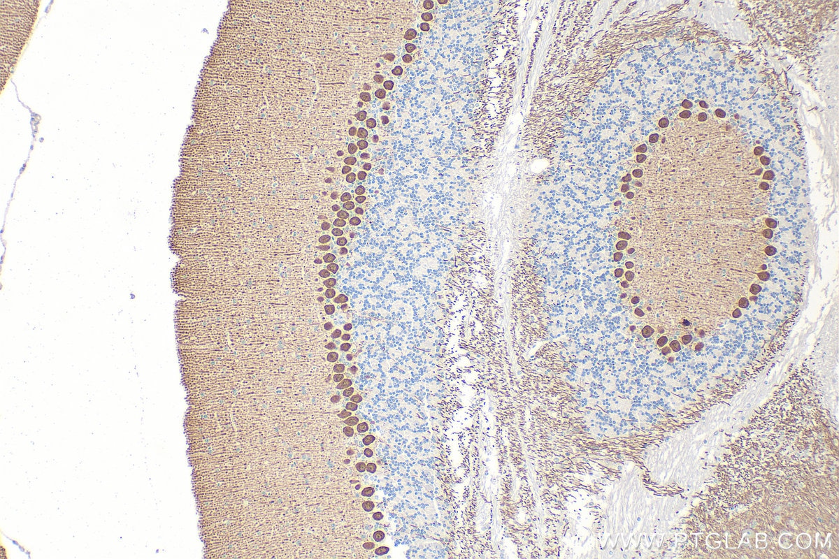
| Positive IHC detected in | mouse cerebellum tissue Note: suggested antigen retrieval with TE buffer pH 9.0; (*) Alternatively, antigen retrieval may be performed with citrate buffer pH 6.0 |
| Positive IF/ICC detected in | U2OS cells |
Recommended dilution
| Application | Dilution |
|---|---|
| Western Blot (WB) | WB : 1:5000-1:50000 |
| Immunohistochemistry (IHC) | IHC : 1:200-1:800 |
| Immunofluorescence (IF)/ICC | IF/ICC : 1:200-1:800 |
| It is recommended that this reagent should be titrated in each testing system to obtain optimal results. | |
| Sample-dependent, Check data in validation data gallery. | |
Product Information
27976-1-AP targets PPP1R17 in WB, IHC, IF/ICC, ELISA applications and shows reactivity with human, mouse, rat samples.
| Tested Reactivity | human, mouse, rat |
| Host / Isotype | Rabbit / IgG |
| Class | Polyclonal |
| Type | Antibody |
| Immunogen |
CatNo: Ag15187 Product name: Recombinant human C7orf16 protein Source: e coli.-derived, PGEX-4T Tag: GST Domain: 1-155 aa of BC028094 Sequence: MMSTEQMQPLEVSEDRLDKLDPRCSHLDDLSDQFIKDCDLKKKPRKGKNVQATLNVESDQKKPRRKDTPALHIPPFIPGVFSEHLIKRYDVQERHPKGKMIPVLHNTDLEQKKPRRKDTPALHMSPFAAGVTLLRDERPKAIVEDDEKDGDKIAI Predict reactive species |
| Full Name | chromosome 7 open reading frame 16 |
| Calculated Molecular Weight | 155 aa, 18 kDa |
| Observed Molecular Weight | 20-30 kDa |
| GenBank Accession Number | BC028094 |
| Gene Symbol | PPP1R17 |
| Gene ID (NCBI) | 10842 |
| RRID | AB_3086018 |
| Conjugate | Unconjugated |
| Form | Liquid |
| Purification Method | Antigen affinity purification |
| UNIPROT ID | O96001 |
| Storage Buffer | PBS with 0.02% sodium azide and 50% glycerol, pH 7.3. |
| Storage Conditions | Store at -20°C. Stable for one year after shipment. Aliquoting is unnecessary for -20oC storage. 20ul sizes contain 0.1% BSA. |
Background Information
PPP1R17, an endogenous substrate for cGMP-dependent protein kinase, exists almost exclusively in cerebellar Purkinje cells, where it is possibly involved in the induction of long-term depression (PMID: 10051666). PPP1R17 inhibits phosphatase activities of protein phosphatase 1 (PP1) and protein phosphatase 2A (PP2A) complexes. Allelic variants increase susceptibility to hypercholesterolemia (PMID: 12955585).
Protocols
| Product Specific Protocols | |
|---|---|
| IF protocol for PPP1R17 antibody 27976-1-AP | Download protocol |
| IHC protocol for PPP1R17 antibody 27976-1-AP | Download protocol |
| WB protocol for PPP1R17 antibody 27976-1-AP | Download protocol |
| Standard Protocols | |
|---|---|
| Click here to view our Standard Protocols |







