Use Able AI chat for product recommendations

PRAS40 Recombinant monoclonal antibody, PBS Only

PRAS40 Uni-rAb® Recombinant Antibody for WB, Indirect ELISA

Cat No. 85244-4-PBS
Clone No.252230F12

Host / Isotype

Rabbit / IgG

Reactivity

human, mouse

Applications

WB, Indirect ELISA

AKT1S1, 40 kDa proline rich AKT substrate, 40 kDa proline-rich AKT substrate, Proline rich AKT1 substrate 1, Proline-rich AKT1 substrate 1

Formulation:  PBS Only
Conjugate:  Unconjugated
Size/Concentration: 

-/ -

Freight/Packing: -

Quantity

Please visit your regions distributor:


Product Information

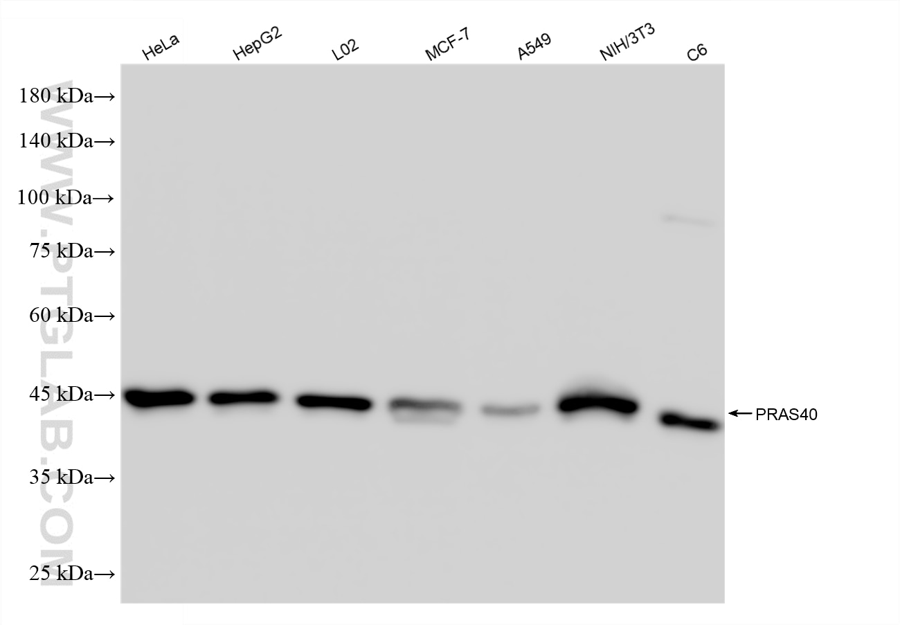
85244-4-PBS targets PRAS40 in WB, Indirect ELISA applications and shows reactivity with human, mouse samples.

Tested Reactivity human, mouse
Host / Isotype Rabbit / IgG
Class Recombinant
Type Antibody
Immunogen

CatNo: Ag35446

Product name: Recombinant human PRAS40 protein

Source: e coli.-derived, PGEX-4T

Tag: GST

Domain: 131-256 aa of BC051844

Sequence: MDEDATLQDLPPFCESDPESTDDGSLSEETPAGPPTCSVPPASALPTQQYAKSLPVSVPVWGFKEKRTEARSSDEENGPPSSPDLDRIAASMRALVLREAEDTQVFGDLPRPRLNTSDFQKLKRKY

Predict reactive species
Full Name AKT1 substrate 1 (proline-rich)
Calculated Molecular Weight 27 kDa
Observed Molecular Weight 40 kDa
GenBank Accession NumberBC051844
Gene Symbol PRAS40
Gene ID (NCBI) 84335
Conjugate Unconjugated
FormLiquid
Purification MethodProtein A purification
UNIPROT IDQ96B36
Storage Buffer PBS only, pH 7.3.
Storage ConditionsStore at -80°C.

Background Information

PRAS40 (40 kDa proline-rich AKT substrate) is also named as AKT1S1 (Proline-rich AKT1 substrate 1). PRAS40 is a substrate of Akt and a component of the mammalian target of rapamycin complex 1 (mTORC1) (PMID: 28978182). Locating at the crossroad of the PI3K/Akt pathway and the mTOR pathway, PRAS40 is phosphorylated by growth factors or other stimuli, and regulates the activation of these signaling pathways in turn (PMID: 28978182). PRAS40 is expressed in a variety of tissues in vivo and has multiple phosphorylation sites, which its activity is closely related to phosphorylation. Studies have shown that PRAS40 is involved in regulating cell growth, cell apoptosis, oxidative stress, autophagy and angiogenesis, as well as various of signalling pathways such as mammalian target of mammalian target rapamycin (mTOR), protein kinase B (PKB/Akt), nuclear factor kappa-B(NF-κB) proto-oncogene serine/threonine-protein kinase PIM-1(PIM1) and pyruvate kinase M2 (PKM2) (PMID: 33504218).

Loading...
||
New chat

Able

正在加载,请稍候...