Product Information
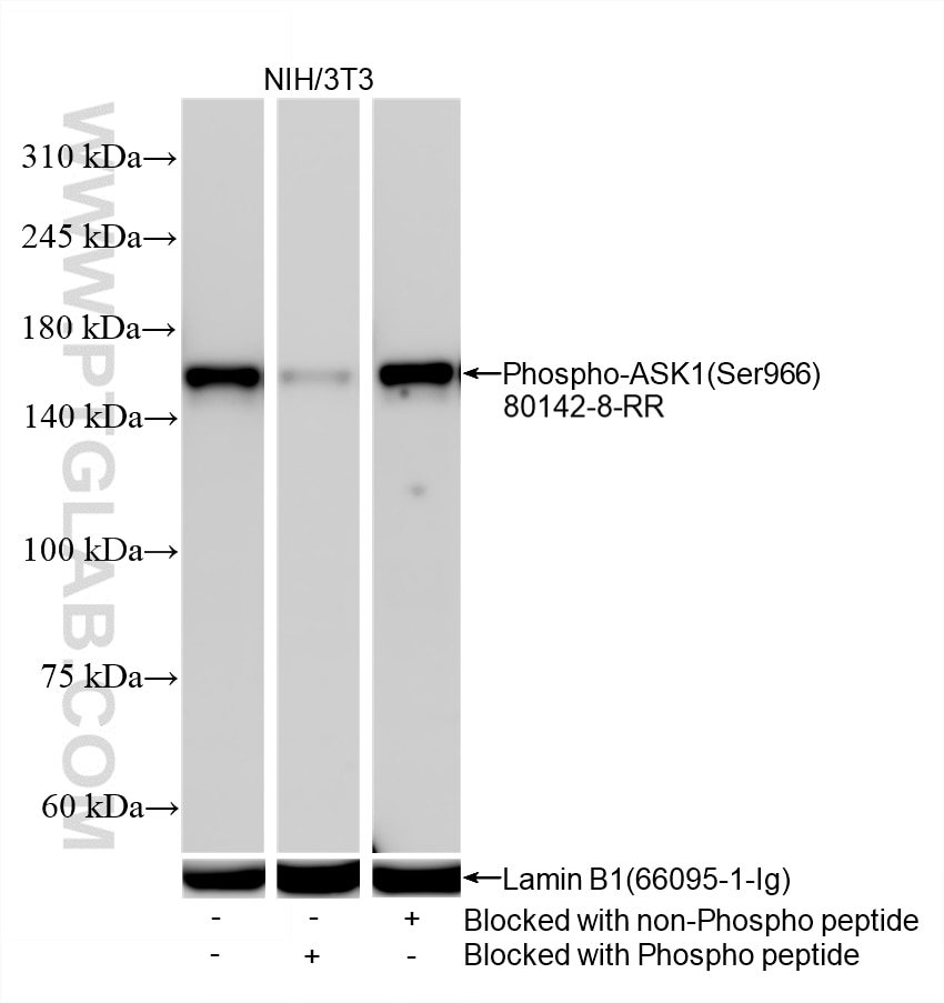
80142-8-PBS targets Phospho-ASK1 (Ser966) in WB, Indirect ELISA applications and shows reactivity with human, mouse, monkey samples.
| Tested Reactivity | human, mouse, monkey |
| Host / Isotype | Rabbit / IgG |
| Class | Recombinant |
| Type | Antibody |
| Immunogen |
Peptide Predict reactive species |
| Full Name | mitogen-activated protein kinase kinase kinase 5 |
| Calculated Molecular Weight | 155 kDa |
| Observed Molecular Weight | 155 kDa |
| GenBank Accession Number | BC054503 |
| Gene Symbol | ASK1 |
| Gene ID (NCBI) | 4217 |
| Conjugate | Unconjugated |
| Form | Liquid |
| Purification Method | Protein A purification |
| UNIPROT ID | Q99683 |
| Storage Buffer | PBS only, pH 7.3. |
| Storage Conditions | Store at -80°C. |
Background Information
ASK1(Apoptosis signal-regulating kinase 1) is also named as MAP3K5, MAPKKK5, MEKK5 and belongs to the MAP kinase kinase kinase subfamily. It is an evolutionarily conserved mitogen activated protein 3-kinase that activates both Jnk and p38 mitogen-activated protein kinases. ASK1 is is activated in response to various cytotoxic stresses including TNF, Fas and reactive oxygen species (ROS) such as H2O2, and activates c-Jun NH 2-terminal kinase (JNK) and p38. The predicted MW of ASK1 is around 155 kDa and the 110-120 kDa fragment has also been reported.



