Phospho-CDK9 (Thr186) Recombinant monoclonal antibody, PBS Only

Phospho-CDK9 (Thr186) Uni-rAb® Recombinant Antibody for WB, Indirect ELISA
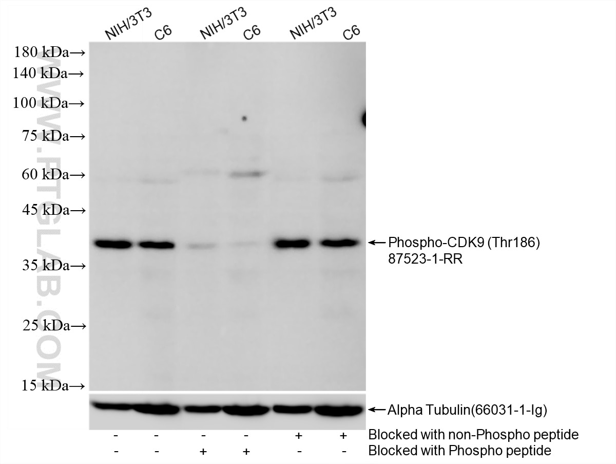
Cat No. 87523-1-PBS
Clone No.252873G2

Host / Isotype

Rabbit / IgG

Reactivity

human, mouse, rat

Applications

WB, Indirect ELISA

CDK9, C 2k, C-2K, CDC2L4, Cell division cycle 2-like protein kinase 4

Formulation:  PBS Only
Conjugate:  Unconjugated
Size/Concentration: 

-/ -

Freight/Packing: -

Quantity

Please visit your regions distributor:


Product Information

87523-1-PBS targets Phospho-CDK9 (Thr186) in WB, Indirect ELISA applications and shows reactivity with human, mouse, rat samples.

Tested Reactivity human, mouse, rat
Host / Isotype Rabbit / IgG
Class Recombinant
Type Antibody
Immunogen

Peptide

Predict reactive species
Full Name cyclin-dependent kinase 9
Calculated Molecular Weight43 kDa
Observed Molecular Weight42 kDa
GenBank Accession NumberNM_001261
Gene Symbol CDK9
Gene ID (NCBI) 1025
Conjugate Unconjugated
FormLiquid
Purification MethodProtein A purification
UNIPROT IDP50750
Storage Buffer PBS only, pH 7.3.
Storage ConditionsStore at -80°C.

Background Information

CDK9(Cyclin-dependent kinase 9) is a member of the Cdc2-like family of kinases. Its cyclin partners are members of the family of cyclin T (T1, T2a and T2b) and cyclin K. Phospho-CDK9 (Thr186) is the active-site-switching modification of the catalytic subunit of P-TEFb (positive transcription elongation factor b). Phosphorylation at threonine 186, located in the T-loop of CDK9, is essential for full kinase activity: it swings the T-loop away from the catalytic cleft, allowing ATP and protein substrates (e.g., the C-terminal domain of RNA polymerase II, DSIF and NELF) to enter and be efficiently phosphorylated. Thus, p-Thr186-CDK9 licenses the elongation step of most protein-coding transcripts and is indispensable for productive mRNA synthesis. (PMID: 39800748)

Loading...
||
New chat

Able

正在加载,请稍候...