RAI14 Recombinant monoclonal antibody, PBS Only

RAI14 Uni-rAb® Recombinant Antibody for WB, IF/ICC, Indirect ELISA
Cat No. 86581-1-PBS
Clone No.251495G12

Host / Isotype

Rabbit / IgG

Reactivity

human, mouse, rat

Applications

WB, IF/ICC, Indirect ELISA

Ankycorbin, Ankyrin repeat and coiled-coil structure-containing protein, KIAA1334, NORPEG, RAI13

Formulation:  PBS Only
Conjugate:  Unconjugated
Size/Concentration: 

-/ -

Freight/Packing: -

Quantity

Please visit your regions distributor:


Product Information

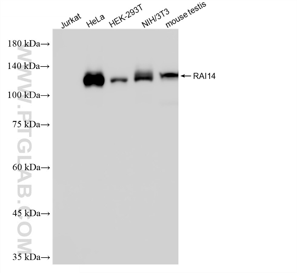
86581-1-PBS targets RAI14 in WB, IF/ICC, Indirect ELISA applications and shows reactivity with human, mouse, rat samples.

Tested Reactivity human, mouse, rat
Host / Isotype Rabbit / IgG
Class Recombinant
Type Antibody
Immunogen

CatNo: Ag11708

Product name: Recombinant human RAI14 protein

Source: e coli.-derived, PGEX-4T

Tag: GST

Domain: 1-347 aa of BC052988

Sequence: MKSLKAKFRKSDTNEWNKNDDRLLQAVENGDAEKVASLLGKKGASATKHDSEGKTAFHLAAAKGHVECLRVMITHGVDVTAQDTTGHSALHLAAKNSHHECIRKLLQSKCPAESVDSSGKTALHYAAAQGCLQAVQILCEHKSPINLKDLDGNIPLLLAVQNGHSEICHFLLDHGADVNSRNKSGRTALMLACEIGSSNAVEALIKKGADLNLVDSLGYNALHYSKLSENAGIQSLLLSKISQDADLKTPTKPKQHDQVSKISSERSGTPKKRKAPPPPISPTQLSDVSSPRSITSTPLSGKESVFFAEPPFKAEISSIRENKDRLSDSTTGADSLLDISSEADQQD

Predict reactive species
Full Name retinoic acid induced 14
Calculated Molecular Weight 980 aa, 110 kDa
Observed Molecular Weight 110 kDa
GenBank Accession NumberBC052988
Gene Symbol RAI14
Gene ID (NCBI) 26064
Conjugate Unconjugated
FormLiquid
Purification MethodProtein A purification
UNIPROT IDQ9P0K7
Storage Buffer PBS only, pH 7.3.
Storage ConditionsStore at -80°C.

Background Information

RAI14 (retinoic acid-induced protein 14, also called ankycorbin or NORPEG) was originally identified in human retinal pigment epithelial cells as a retinoic-acid-responsive gene. Through direct interaction with actin-binding partners such as palladin and TARA, RAI14 orchestrates focal adhesion dynamics, cell polarity and mechano-sensing; in epithelia it stabilizes tight-junction complexes, whereas in neurons it localizes to the dendritic-spine neck where it promotes spine maintenance by antagonizing F-actin depolymerization. Consistent with its cytoskeletal role, RAI14 has emerged as a context-dependent modulator of several signalling cascades.

Loading...
||
New chat

Able

正在加载,请稍候...