RNF11 Polyclonal antibody

RNF11 Polyclonal Antibody for WB, IHC, IP, ELISA

Cat No. 16948-1-AP

Host / Isotype

Rabbit / IgG

Reactivity

human, mouse

Applications

WB, IHC, IF, IP, ELISA

CGI-123, RING finger protein 11, SID1669

Formulation:  PBS, Azide, Glycerol
PBS, Azide, Glycerol
Conjugate:  Unconjugated
Unconjugated
Size/Concentration: 

-/ -

Freight/Packing: -

Quantity

Please visit your regions distributor:


Tested Applications

Positive WB detected inmouse brain tissue
Positive IP detected inmouse brain tissue
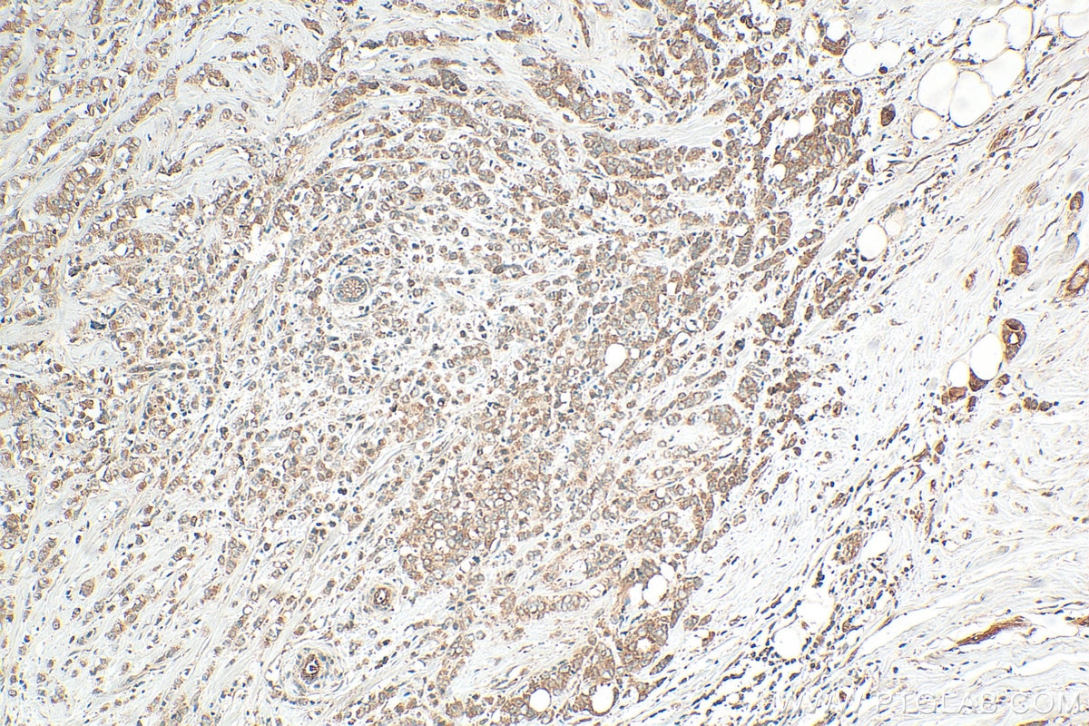
Positive IHC detected inhuman breast cancer tissue
Note: suggested antigen retrieval with TE buffer pH 9.0; (*) Alternatively, antigen retrieval may be performed with citrate buffer pH 6.0

Recommended dilution

ApplicationDilution
Western Blot (WB)WB : 1:500-1:1000
Immunoprecipitation (IP)IP : 0.5-4.0 ug for 1.0-3.0 mg of total protein lysate
Immunohistochemistry (IHC)IHC : 1:50-1:500
It is recommended that this reagent should be titrated in each testing system to obtain optimal results.
Sample-dependent, Check data in validation data gallery.

Published Applications

IFSee 1 publications below

Product Information

16948-1-AP targets RNF11 in WB, IHC, IF, IP, ELISA applications and shows reactivity with human, mouse samples.

Tested Reactivity human, mouse
Cited Reactivityhuman
Host / Isotype Rabbit / IgG
Class Polyclonal
Type Antibody
Immunogen

CatNo: Ag10563

Product name: Recombinant human RNF11 protein

Source: e coli.-derived, PGEX-4T

Tag: GST

Domain: 1-154 aa of BC020964

Sequence: MGNCLKSPTSDDISLLHESQSDRASFGEGTEPDQEPPPPYQEQVPVPVYHPTPSQTRLATQLTEEEQIRIAQRIGLIQHLPKGVYDPGRDGSEKKIRECVICMMDFVYGDPIRFLPCMHIYHLDCIDDWLMRSFTCPSCMEPVDAALLSSYETN

Predict reactive species
Full Name ring finger protein 11
Calculated Molecular Weight 154 aa, 17 kDa
GenBank Accession NumberBC020964
Gene Symbol RNF11
Gene ID (NCBI) 26994
RRIDAB_2878335
Conjugate Unconjugated
FormLiquid
Purification MethodAntigen affinity purification
UNIPROT IDQ9Y3C5
Storage Buffer PBS with 0.02% sodium azide and 50% glycerol, pH 7.3.
Storage ConditionsStore at -20°C. Stable for one year after shipment. Aliquoting is unnecessary for -20oC storage. 20ul sizes contain 0.1% BSA.

Protocols

Product Specific Protocols
IHC protocol for RNF11 antibody 16948-1-APDownload protocol
IP protocol for RNF11 antibody 16948-1-APDownload protocol
WB protocol for RNF11 antibody 16948-1-APDownload protocol
Standard Protocols
Click here to view our Standard Protocols

Publications

SpeciesApplicationTitle
humanIF

Sci Adv

The Arp1/11 minifilament of dynactin primes the endosomal Arp2/3 complex.

Authors - Artem I Fokin
human

Cancer Res

A20/TNFAIP3 Regulates the DNA Damage Response and Mediates Tumor Cell Resistance to DNA-Damaging Therapy.

Authors - Chuanzhen Yang
Loading...
||
New chat

Able

正在加载,请稍候...