Tested Applications
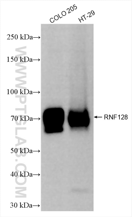
| Positive WB detected in | COLO 205 cells, HT-29 cells |
Recommended dilution
| Application | Dilution |
|---|---|
| Western Blot (WB) | WB : 1:1000-1:4000 |
| It is recommended that this reagent should be titrated in each testing system to obtain optimal results. | |
| Sample-dependent, Check data in validation data gallery. | |
Product Information
85137-4-RR targets RNF128 in WB, ELISA applications and shows reactivity with human samples.
| Tested Reactivity | human |
| Host / Isotype | Rabbit / IgG |
| Class | Recombinant |
| Type | Antibody |
| Immunogen |
CatNo: Ag22834 Product name: Recombinant human RNF128 protein Source: e coli.-derived, PGEX-4T Tag: GST Domain: 333-428 aa of BC063404 Sequence: DGSVSLQVPVSNEISNSASSHEEDNRSETASSGYASVQGTDEPPLEEHVQSTNESLQLVNHEANSVAVDVIPHVDNPTFEEDETPNQETAVREIKS Predict reactive species |
| Full Name | ring finger protein 128 |
| Calculated Molecular Weight | 428 aa, 47 kDa |
| Observed Molecular Weight | 70 kDa |
| GenBank Accession Number | BC063404 |
| Gene Symbol | RNF128 |
| Gene ID (NCBI) | 79589 |
| Conjugate | Unconjugated |
| Form | Liquid |
| Purification Method | Protein A purification |
| UNIPROT ID | Q8TEB7 |
| Storage Buffer | PBS with 0.02% sodium azide and 50% glycerol, pH 7.3. |
| Storage Conditions | Store at -20°C. Stable for one year after shipment. Aliquoting is unnecessary for -20oC storage. 20ul sizes contain 0.1% BSA. |
Background Information
RNF128 (Ring Finger Protein 128), also known as GRAIL (Gene Related to Anergy in Lymphocytes), is an E3 ubiquitin ligase that plays key roles in immune regulation, tumor biology, and antiviral responses. Initially identified in T cells, it is highly expressed in anergic CD4+ T cells and contributes to the induction and maintenance of T-cell anergy by catalyzing the ubiquitination and degradation of critical T-cell signaling molecules such as CD40L, CD80, and Rho-family GTPases.
Protocols
| Product Specific Protocols | |
|---|---|
| WB protocol for RNF128 antibody 85137-4-RR | Download protocol |
| Standard Protocols | |
|---|---|
| Click here to view our Standard Protocols |





