Tested Applications
| Positive WB detected in | mouse eye tissue, HeLa cells, rat eye tissue |
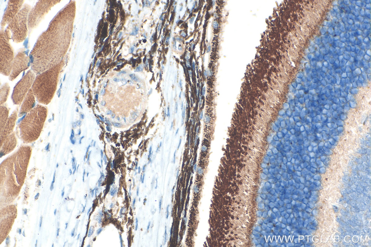
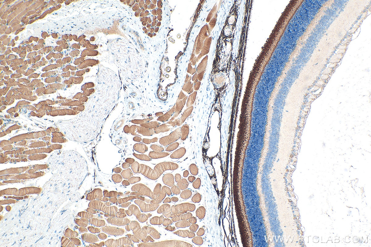
| Positive IHC detected in | mouse eye tissue Note: suggested antigen retrieval with TE buffer pH 9.0; (*) Alternatively, antigen retrieval may be performed with citrate buffer pH 6.0 |
| Positive IF/ICC detected in | HeLa cells |
Recommended dilution
| Application | Dilution |
|---|---|
| Western Blot (WB) | WB : 1:500-1:3000 |
| Immunohistochemistry (IHC) | IHC : 1:200-1:800 |
| Immunofluorescence (IF)/ICC | IF/ICC : 1:20-1:200 |
| It is recommended that this reagent should be titrated in each testing system to obtain optimal results. | |
| Sample-dependent, Check data in validation data gallery. | |
Published Applications
| WB | See 7 publications below |
| IHC | See 3 publications below |
| IF | See 5 publications below |
Product Information
21984-1-AP targets ROM1 in WB, IHC, IF/ICC, ELISA applications and shows reactivity with human, mouse, rat samples.
| Tested Reactivity | human, mouse, rat |
| Cited Reactivity | human, mouse |
| Host / Isotype | Rabbit / IgG |
| Class | Polyclonal |
| Type | Antibody |
| Immunogen |
CatNo: Ag17049 Product name: Recombinant human ROM1 protein Source: e coli.-derived, PGEX-4T Tag: GST Domain: 121-270 aa of BC008100 Sequence: LALALPGSLDEALEEGLVTALAHYKDTEVPGHCQAKRLVDELQLRYHCCGRHGYKDWFGVQWVSSRYLDPGDRDVADRIQSNVEGLYLTDGVPFSCCNPHSPRPCLQNRLSDSYAHPLFDPRQPNQNLWAQGCHEVLLEHLQDLAGTLGS Predict reactive species |
| Full Name | retinal outer segment membrane protein 1 |
| Calculated Molecular Weight | 351 aa, 37 kDa |
| Observed Molecular Weight | 37-45 kDa |
| GenBank Accession Number | BC008100 |
| Gene Symbol | ROM1 |
| Gene ID (NCBI) | 6094 |
| RRID | AB_2878961 |
| Conjugate | Unconjugated |
| Form | Liquid |
| Purification Method | Antigen affinity purification |
| UNIPROT ID | Q03395 |
| Storage Buffer | PBS with 0.02% sodium azide and 50% glycerol, pH 7.3. |
| Storage Conditions | Store at -20°C. Stable for one year after shipment. Aliquoting is unnecessary for -20oC storage. 20ul sizes contain 0.1% BSA. |
Background Information
ROM1 (also known as TSPAN23) is a transmembrane protein present in photoreceptor outer segment disc membranes. ROM1 belongs to the tetraspanin superfamily, which are characterized by the presence of four conserved transmembrane regions. Tetraspanins have been involved in diverse processes such as cell activation and proliferation, adhesion and motility, differentiation, and cancer. ROM1 is required for rod photoreceptor viability and the regulation of disk morphogenesis (PMID: 10802659). It may function as an adhesion molecule involved in stabilization and compaction of outer segment disks.
Protocols
| Product Specific Protocols | |
|---|---|
| IF protocol for ROM1 antibody 21984-1-AP | Download protocol |
| IHC protocol for ROM1 antibody 21984-1-AP | Download protocol |
| WB protocol for ROM1 antibody 21984-1-AP | Download protocol |
| Standard Protocols | |
|---|---|
| Click here to view our Standard Protocols |
Publications
| Species | Application | Title |
|---|---|---|
Proc Natl Acad Sci U S A Accumulation of non-outer segment proteins in the outer segment underlies photoreceptor degeneration in Bardet-Biedl syndrome. | ||
Elife Merging organoid and organ-on-a-chip technology to generate complex multi-layer tissue models in a human retina-on-a-chip platform. | ||
Cell Mol Life Sci A look into retinal organoids: methods, analytical techniques, and applications. | ||
J Biol Chem The myosin-tail homology domain of centrosomal protein 290 is essential for protein confinement between the inner and outer segments in photoreceptors. | ||
PLoS One Differential requirement of NPHP1 for compartmentalized protein localization during photoreceptor outer segment development and maintenance. |









