Tested Applications
| Positive WB detected in | A549 cells, Jurkat cells, NIH/3T3 cells, HEK-293T cells, HeLa cells, K-562 cells, MCF-7 cells |
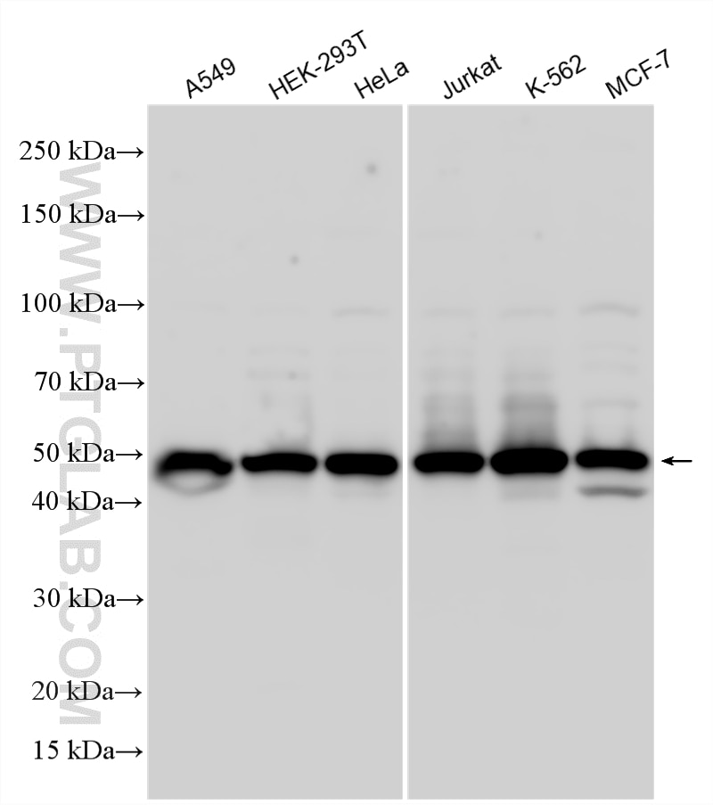
Recommended dilution
| Application | Dilution |
|---|---|
| Western Blot (WB) | WB : 1:1000-1:4000 |
| It is recommended that this reagent should be titrated in each testing system to obtain optimal results. | |
| Sample-dependent, Check data in validation data gallery. | |
Published Applications
| WB | See 5 publications below |
| IHC | See 1 publications below |
| IP | See 1 publications below |
Product Information
26989-1-AP targets RRAGC in WB, IHC, IP, ELISA applications and shows reactivity with human, mouse samples.
| Tested Reactivity | human, mouse |
| Cited Reactivity | human, mouse |
| Host / Isotype | Rabbit / IgG |
| Class | Polyclonal |
| Type | Antibody |
| Immunogen |
CatNo: Ag25780 Product name: Recombinant human RRAGC protein Source: e coli.-derived, PGEX-4T Tag: GST Domain: 1-54 aa of BC016668 Sequence: MSLQYGAEETPLAGSYGAADSFPKDFGYGVEEEEEEAAAAGGGVGAGAGGGCGP Predict reactive species |
| Full Name | Ras-related GTP binding C |
| Calculated Molecular Weight | 44 kDa |
| Observed Molecular Weight | 44 kDa |
| GenBank Accession Number | BC016668 |
| Gene Symbol | RRAGC |
| Gene ID (NCBI) | 64121 |
| RRID | AB_2880714 |
| Conjugate | Unconjugated |
| Form | Liquid |
| Purification Method | Antigen affinity purification |
| UNIPROT ID | Q9HB90 |
| Storage Buffer | PBS with 0.02% sodium azide and 50% glycerol, pH 7.3. |
| Storage Conditions | Store at -20°C. Stable for one year after shipment. Aliquoting is unnecessary for -20oC storage. 20ul sizes contain 0.1% BSA. |
Background Information
RRAGC (Ras-related GTP-binding protein C) is a small monomeric GTPase that functions as part of the mTORC1 nutrient-sensing pathway. Together with its dimerization partners RRAGA or RRAGB, RRAGC localizes mainly to the cytoplasm and, in response to amino-acid availability, recruits the mTORC1 complex to the lysosomal surface where mTORC1 can be activated by Rheb. This makes RRAGC a key molecular switch linking cellular metabolic state to growth control.
Protocols
| Product Specific Protocols | |
|---|---|
| WB protocol for RRAGC antibody 26989-1-AP | Download protocol |
| Standard Protocols | |
|---|---|
| Click here to view our Standard Protocols |
Publications
| Species | Application | Title |
|---|---|---|
Autophagy KAT7-mediated CANX (calnexin) crotonylation regulates leucine-stimulated MTORC1 activity. | ||
Genet Med De novo missense variants in RRAGC lead to a fatal mTORopathy of early childhood | ||
Cell Metab Pyruvate metabolism enzyme DLAT promotes tumorigenesis by suppressing leucine catabolism | ||
FASEB J Integrating Multiomics to Reveal and Validate Key Proteins, Metabolites, and Pathways of ASB14 Affecting Mitochondrial Function in Cardiomyocytes AC16 | ||
Cell Death Dis Inosine enhances tumor mitochondrial respiration by inducing Rag GTPases and nascent protein synthesis under nutrient starvation |





