Tested Applications
| Positive WB detected in | Jurkat cells, HeLa cells, K-562 cells, mouse testis tissue |
| Positive IP detected in | HeLa cells |
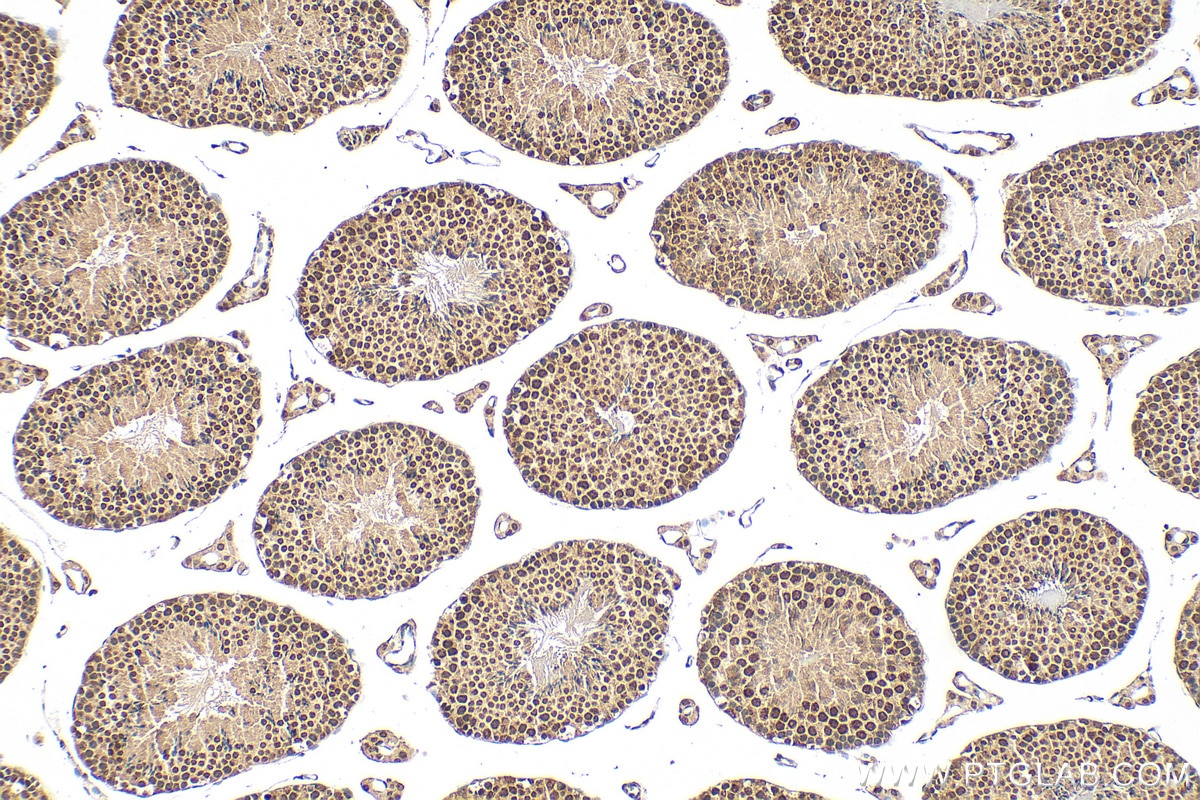
| Positive IHC detected in | mouse testis tissue Note: suggested antigen retrieval with TE buffer pH 9.0; (*) Alternatively, antigen retrieval may be performed with citrate buffer pH 6.0 |
Recommended dilution
| Application | Dilution |
|---|---|
| Western Blot (WB) | WB : 1:1000-1:4000 |
| Immunoprecipitation (IP) | IP : 0.5-4.0 ug for 1.0-3.0 mg of total protein lysate |
| Immunohistochemistry (IHC) | IHC : 1:250-1:1000 |
| It is recommended that this reagent should be titrated in each testing system to obtain optimal results. | |
| Sample-dependent, Check data in validation data gallery. | |
Published Applications
| WB | See 2 publications below |
| ChIP | See 1 publications below |
Product Information
25918-1-AP targets RRN3 in WB, IHC, IP, chIP, ELISA applications and shows reactivity with human, mouse samples.
| Tested Reactivity | human, mouse |
| Cited Reactivity | human |
| Host / Isotype | Rabbit / IgG |
| Class | Polyclonal |
| Type | Antibody |
| Immunogen |
CatNo: Ag23207 Product name: Recombinant human RRN3 protein Source: e coli.-derived, PGEX-4T Tag: GST Domain: 268-365 aa of BC132688 Sequence: ETATQTCGGTDSTEGLFNMDEDEETEHETKAGPERLDQMVHPVAERLDILMSLVLSYMKDVCYVDGKVDNGKTKDLYRDLINIFDKLLLPTHASCHVQ Predict reactive species |
| Full Name | RRN3 RNA polymerase I transcription factor homolog (S. cerevisiae) |
| Observed Molecular Weight | 74 kDa |
| GenBank Accession Number | BC132688 |
| Gene Symbol | RRN3 |
| Gene ID (NCBI) | 54700 |
| RRID | AB_2880296 |
| Conjugate | Unconjugated |
| Form | Liquid |
| Purification Method | Antigen affinity purification |
| UNIPROT ID | Q9NYV6 |
| Storage Buffer | PBS with 0.02% sodium azide and 50% glycerol, pH 7.3. |
| Storage Conditions | Store at -20°C. Stable for one year after shipment. Aliquoting is unnecessary for -20oC storage. 20ul sizes contain 0.1% BSA. |
Background Information
RRN3, also known as transcription initiation factor IA, is a key regulatory protein essential for RNA polymerase I-mediated ribosomal DNA transcription. It functions as a bridge molecule that precisely regulates the recruitment of RNA polymerase I to the rDNA promoter and the assembly of the transcription initiation complex by integrating intra- and extracellular signals (such as growth factors, nutrient status, and cellular stress). The activity of RRN3 is tightly controlled by multiple signaling pathways. Specifically, the mTOR and MAPK pathways can activate RRN3 through phosphorylation, thereby promoting ribosomal RNA synthesis and ultimately influencing cell growth and proliferation. Studies have shown that RRN3 is abnormally highly expressed in various cancer cells and is closely associated with malignant tumor progression, making it a potential therapeutic target for anticancer strategies.
Protocols
| Product Specific Protocols | |
|---|---|
| IHC protocol for RRN3 antibody 25918-1-AP | Download protocol |
| IP protocol for RRN3 antibody 25918-1-AP | Download protocol |
| WB protocol for RRN3 antibody 25918-1-AP | Download protocol |
| Standard Protocols | |
|---|---|
| Click here to view our Standard Protocols |
Publications
| Species | Application | Title |
|---|---|---|
Biochem Biophys Res Commun Nucleolar localization signal and histone methylation reader function is required for SPIN1 to promote rRNA gene expression. | ||



















