Tested Applications
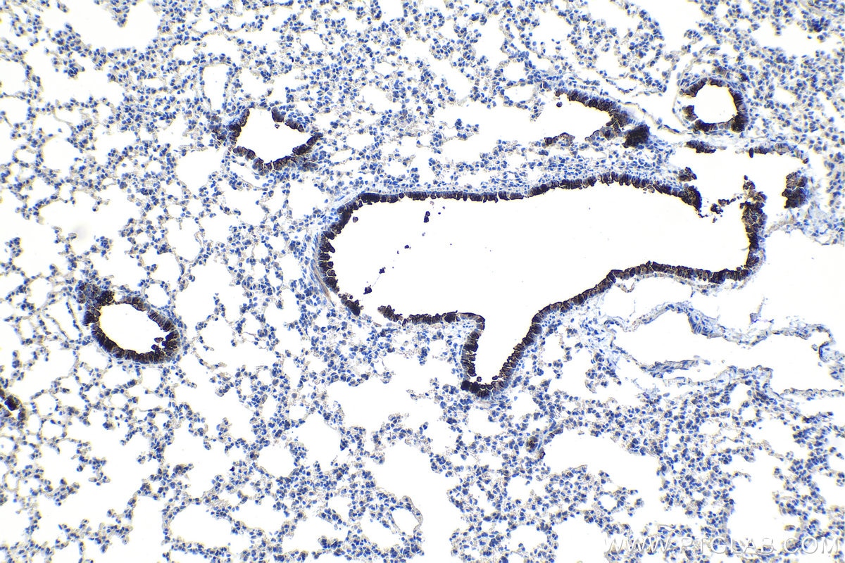
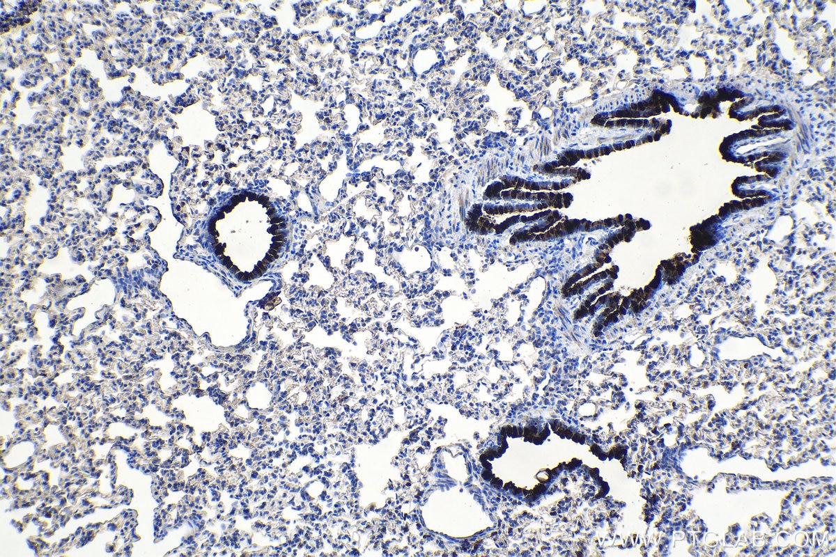
| Positive IHC detected in | human lung tissue, mouse lung tissue, rat lung tissue Note: suggested antigen retrieval with TE buffer pH 9.0; (*) Alternatively, antigen retrieval may be performed with citrate buffer pH 6.0 |
| Positive IF-P detected in | mouse lung tissue |
Recommended dilution
| Application | Dilution |
|---|---|
| Immunohistochemistry (IHC) | IHC : 1:50-1:500 |
| Immunofluorescence (IF)-P | IF-P : 1:200-1:800 |
| It is recommended that this reagent should be titrated in each testing system to obtain optimal results. | |
| Sample-dependent, Check data in validation data gallery. | |
Published Applications
| IHC | See 1 publications below |
| IF | See 1 publications below |
Product Information
26228-1-AP targets SCGB3A2 in IHC, IF-P, ELISA applications and shows reactivity with human, mouse, rat samples.
| Tested Reactivity | human, mouse, rat |
| Cited Reactivity | human |
| Host / Isotype | Rabbit / IgG |
| Class | Polyclonal |
| Type | Antibody |
| Immunogen |
CatNo: Ag23969 Product name: Recombinant human SCGB3A2 protein Source: e coli.-derived, PGEX-4T Tag: GST Domain: 22-93 aa of BC024232 Sequence: FLINKVPLPVDKLAPLPLDNILPFMDPLKLLLKTLGISVEHLVEGLRKCVNELGPEASEAVKKLLEALSHLV Predict reactive species |
| Full Name | secretoglobin, family 3A, member 2 |
| Calculated Molecular Weight | 10 kDa |
| GenBank Accession Number | BC024232 |
| Gene Symbol | SCGB3A2 |
| Gene ID (NCBI) | 117156 |
| RRID | AB_2880434 |
| Conjugate | Unconjugated |
| Form | Liquid |
| Purification Method | Antigen affinity purification |
| UNIPROT ID | Q96PL1 |
| Storage Buffer | PBS with 0.02% sodium azide and 50% glycerol, pH 7.3. |
| Storage Conditions | Store at -20°C. Stable for one year after shipment. Aliquoting is unnecessary for -20oC storage. 20ul sizes contain 0.1% BSA. |
Protocols
| Product Specific Protocols | |
|---|---|
| IF protocol for SCGB3A2 antibody 26228-1-AP | Download protocol |
| IHC protocol for SCGB3A2 antibody 26228-1-AP | Download protocol |
| Standard Protocols | |
|---|---|
| Click here to view our Standard Protocols |
Publications
| Species | Application | Title |
|---|---|---|
Mod Pathol Single-Cell Transcriptome Analysis Reveals 2 Subtypes of Tumor Cells of Sclerosing Pneumocytoma With Distinct Molecular Features and Clinical Implications | ||
J Transl Med Serum vesicle biomarkers reflect the disease activity of idiopathic pulmonary fibrosis. |











