Tested Applications
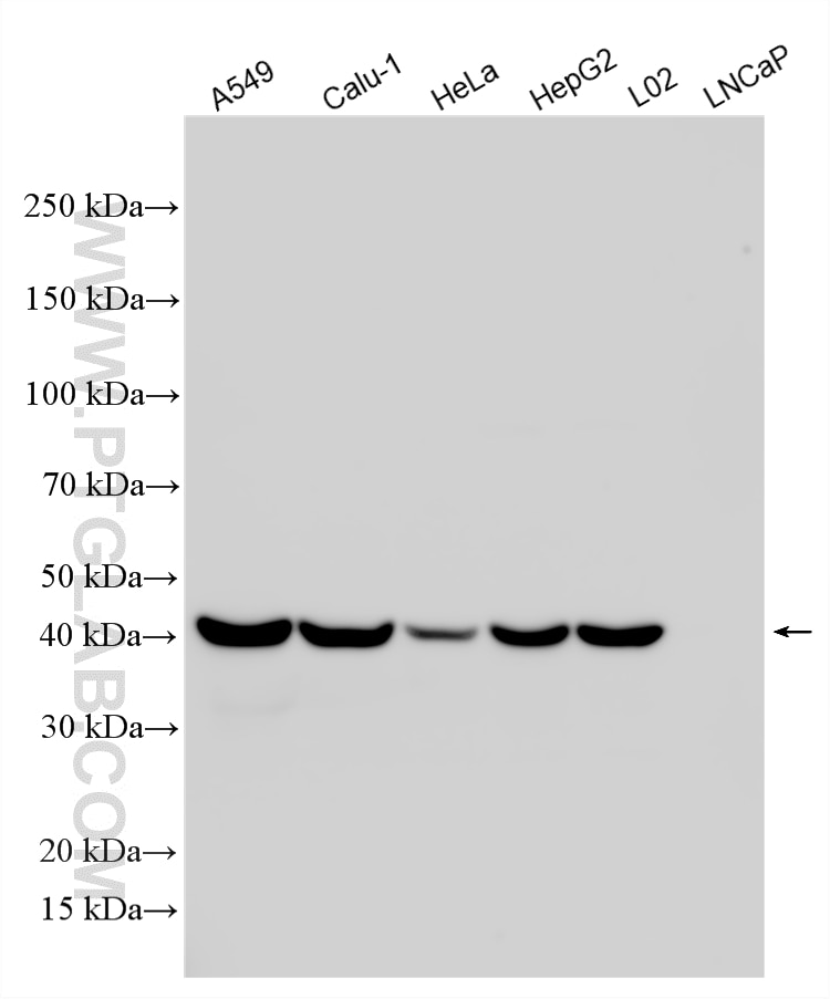
| Positive WB detected in | A549 cells, Calu-1 cells, HeLa cells, HepG2 cells, L02 cells |
Recommended dilution
| Application | Dilution |
|---|---|
| Western Blot (WB) | WB : 1:1000-1:4000 |
| It is recommended that this reagent should be titrated in each testing system to obtain optimal results. | |
| Sample-dependent, Check data in validation data gallery. | |
Product Information
33756-1-AP targets SERPINB1 in WB, ELISA applications and shows reactivity with human samples.
| Tested Reactivity | human |
| Host / Isotype | Rabbit / IgG |
| Class | Polyclonal |
| Type | Antibody |
| Immunogen |
CatNo: Ag35798 Product name: Recombinant human SERPINB1 protein Source: e coli.-derived, PGEX-4T Tag: GST Domain: 169-318 aa of NM_030666.3 Sequence: GNWKDKFMKEATTNAPFRLNKKDRKTVKMMYQKKKFAYGYIEDLKCRVLELPYQGEELSMVILLPDDIEDESTGLKKIEEQLTLEKLHEWTKPENLDFIEVNVSLPRFKLEESYTLNSDLARLGVQDLFNSSKADLSGMSGARDIFISKI Predict reactive species |
| Full Name | serpin peptidase inhibitor, clade B (ovalbumin), member 1 |
| Calculated Molecular Weight | 43kDa,379aa |
| Observed Molecular Weight | 42 kDa |
| GenBank Accession Number | NM_030666.3 |
| Gene Symbol | SERPINB1 |
| Gene ID (NCBI) | 1992 |
| Conjugate | Unconjugated |
| Form | Liquid |
| Purification Method | Antigen affinity Purification |
| UNIPROT ID | P30740 |
| Storage Buffer | PBS with 0.02% sodium azide and 50% glycerol, pH 7.3. |
| Storage Conditions | Store at -20°C. Stable for one year after shipment. Aliquoting is unnecessary for -20oC storage. 20ul sizes contain 0.1% BSA. |
Background Information
SERPINB1, also called Leukocyte Elastase Inhibitor (LEI) is a member of the clade B of SERPINS. It is an intracellular protein and acts primarily to protect the cell from proteases released into the cytoplasm during stress.
Protocols
| Product Specific Protocols | |
|---|---|
| WB protocol for SERPINB1 antibody 33756-1-AP | Download protocol |
| Standard Protocols | |
|---|---|
| Click here to view our Standard Protocols |

