Tested Applications
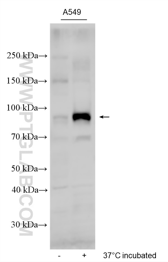
| Positive WB detected in | 37°C incubated A549 cells |
| Positive IP detected in | mouse kidney tissue |
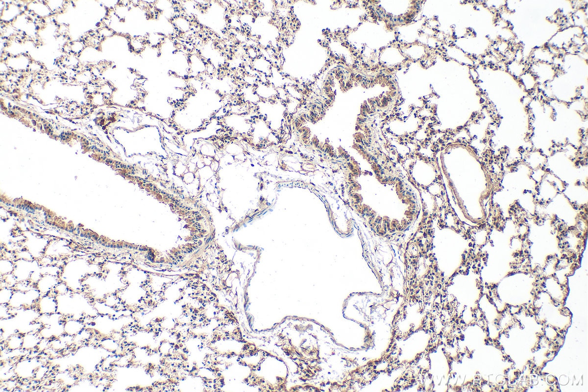
| Positive IHC detected in | mouse kidney tissue, mouse lung tissue Note: suggested antigen retrieval with TE buffer pH 9.0; (*) Alternatively, antigen retrieval may be performed with citrate buffer pH 6.0 |
Recommended dilution
| Application | Dilution |
|---|---|
| Western Blot (WB) | WB : 1:500-1:1000 |
| Immunoprecipitation (IP) | IP : 0.5-4.0 ug for 1.0-3.0 mg of total protein lysate |
| Immunohistochemistry (IHC) | IHC : 1:50-1:500 |
| It is recommended that this reagent should be titrated in each testing system to obtain optimal results. | |
| Sample-dependent, Check data in validation data gallery. | |
Product Information
22726-1-AP targets SLC26A4 in WB, IHC, IP, ELISA applications and shows reactivity with human samples.
| Tested Reactivity | human |
| Host / Isotype | Rabbit / IgG |
| Class | Polyclonal |
| Type | Antibody |
| Immunogen |
CatNo: Ag18622 Product name: Recombinant human SLC26A4 protein Source: e coli.-derived, PGEX-4T Tag: GST Domain: 517-646 aa of BC153002 Sequence: SWNGLGSIPSTDIYKSTKNYKNIEEPQGVKILRFSSPIFYGNVDGFKKCIKSTVGFDAIRVYNKRLKALRKIQKLIKSGQLRATKNGIISDAVSTNNAFEPDEDIEDLEELDIPTKEIEIQVDWNSELPV Predict reactive species |
| Full Name | solute carrier family 26, member 4 |
| Calculated Molecular Weight | 780 aa, 86 kDa |
| Observed Molecular Weight | 90 kDa |
| GenBank Accession Number | BC153002 |
| Gene Symbol | SLC26A4 |
| Gene ID (NCBI) | 5172 |
| Conjugate | Unconjugated |
| Form | Liquid |
| Purification Method | Antigen affinity purification |
| UNIPROT ID | O43511 |
| Storage Buffer | PBS with 0.02% sodium azide and 50% glycerol, pH 7.3. |
| Storage Conditions | Store at -20°C. Stable for one year after shipment. Aliquoting is unnecessary for -20oC storage. 20ul sizes contain 0.1% BSA. |
Protocols
| Product Specific Protocols | |
|---|---|
| IHC protocol for SLC26A4 antibody 22726-1-AP | Download protocol |
| IP protocol for SLC26A4 antibody 22726-1-AP | Download protocol |
| WB protocol for SLC26A4 antibody 22726-1-AP | Download protocol |
| Standard Protocols | |
|---|---|
| Click here to view our Standard Protocols |







