Tested Applications
| Positive WB detected in | mouse testis tissue, mouse stomach tissue, SGC-7901 cells, rat stomach tissue |
| Positive IP detected in | mouse testis tissue |
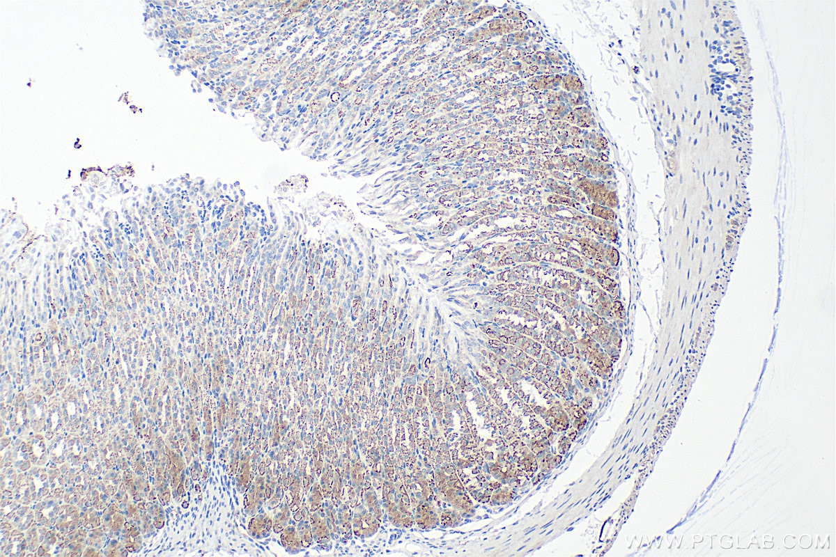
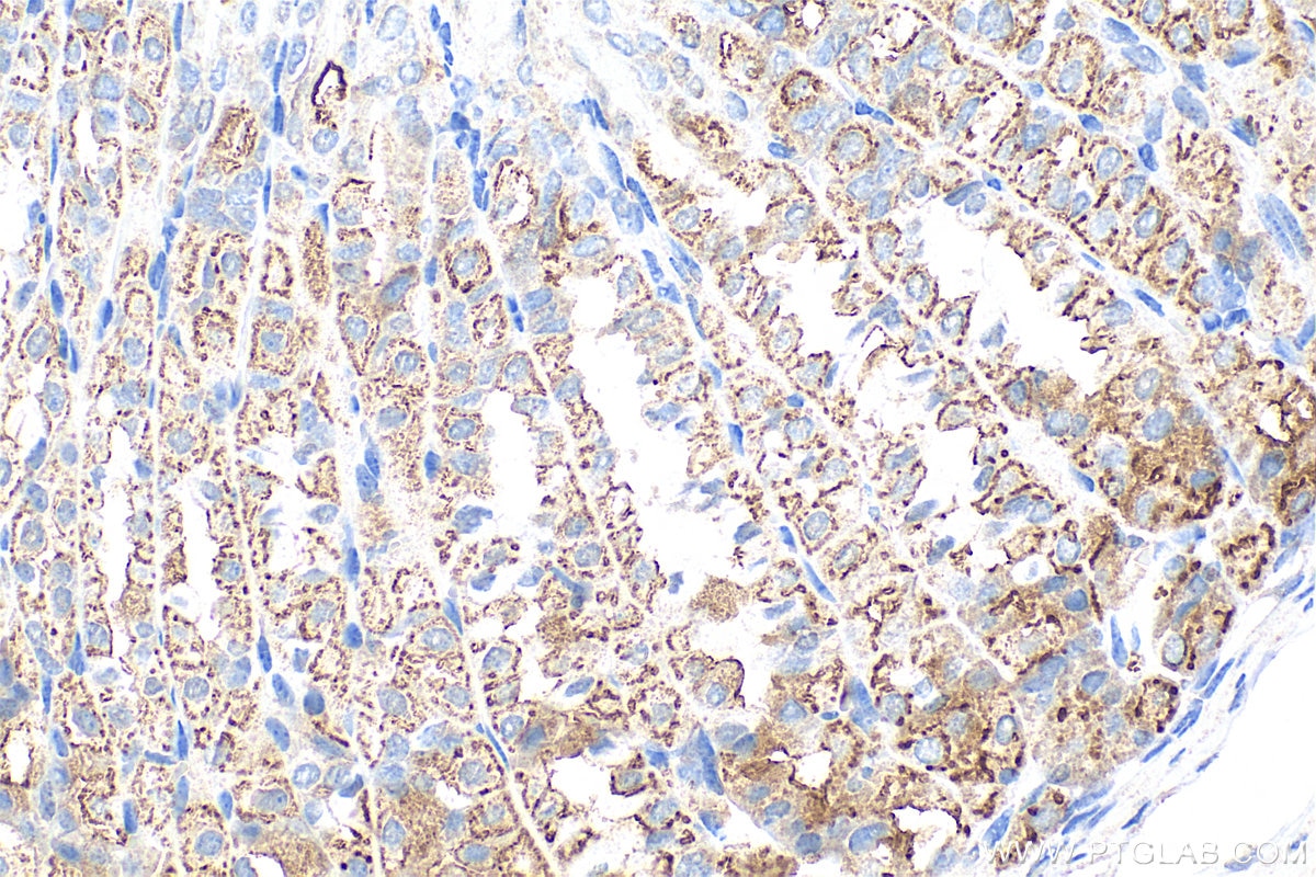
| Positive IHC detected in | mouse stomach tissue, human ovary tissue, human thyroid cancer tissue Note: suggested antigen retrieval with TE buffer pH 9.0; (*) Alternatively, antigen retrieval may be performed with citrate buffer pH 6.0 |
Recommended dilution
| Application | Dilution |
|---|---|
| Western Blot (WB) | WB : 1:500-1:1000 |
| Immunoprecipitation (IP) | IP : 0.5-4.0 ug for 1.0-3.0 mg of total protein lysate |
| Immunohistochemistry (IHC) | IHC : 1:500-1:2000 |
| It is recommended that this reagent should be titrated in each testing system to obtain optimal results. | |
| Sample-dependent, Check data in validation data gallery. | |
Published Applications
| WB | See 33 publications below |
| IHC | See 9 publications below |
| IF | See 17 publications below |
| IP | See 1 publications below |
| ChIP | See 1 publications below |
Product Information
24324-1-AP targets Sodium iodide symporter in WB, IHC, IF, IP, ChIP, ELISA applications and shows reactivity with human, mouse, rat samples.
| Tested Reactivity | human, mouse, rat |
| Cited Reactivity | human, mouse, rat, zebrafish |
| Host / Isotype | Rabbit / IgG |
| Class | Polyclonal |
| Type | Antibody |
| Immunogen |
CatNo: Ag19504 Product name: Recombinant human SLC5A5 protein Source: e coli.-derived, PGEX-4T Tag: GST Domain: 538-643 aa of BC105047 Sequence: TVLCGALISCLTGPTKRSTLAPGLLWWDLARQTASVAPKEEVAILDDNLVKGPEELPTGNKKPPGFLPTNEDRLFFLGQKELEGAGSWTPCVGHDGGRDQQETNL Predict reactive species |
| Full Name | solute carrier family 5 (sodium iodide symporter), member 5 |
| Calculated Molecular Weight | 643 aa, 69 kDa |
| Observed Molecular Weight | 50-55 kDa, 75-100 kDa |
| GenBank Accession Number | BC105047 |
| Gene Symbol | Sodium iodide symporter |
| Gene ID (NCBI) | 6528 |
| RRID | AB_2879495 |
| Conjugate | Unconjugated |
| Form | Liquid |
| Purification Method | Antigen affinity purification |
| UNIPROT ID | Q92911 |
| Storage Buffer | PBS with 0.02% sodium azide and 50% glycerol, pH 7.3. |
| Storage Conditions | Store at -20°C. Stable for one year after shipment. Aliquoting is unnecessary for -20oC storage. 20ul sizes contain 0.1% BSA. |
Background Information
The sodium iodide symporter (Na+/I - symporter, NIS), encoded by SLC5A5, is an integral plasma membrane glycoprotein that plays an important role in iodide uptake by thyroid cells. Expression of sodium iodide symporter has also been found in extra-thyroidal tissues, including gastric mucosa, lactating mammary gland and salivary glands. Increased expression of sodium iodide symporter has been found in thyroid tissue from patients with Graves' disease as well as papillary thyroid carcinomas. In addition, sodium iodide symporter was found to express in majority of breast cancer tissue but not in normal tissue. Sodium iodide symporter can be a promising diagnostic and therapeutic tool for thyroid cancer and breast cancer. This antibody recognizes the mature approximately 75-100 kDa protein and a partially glycosylated 50-55 kDa protein. (PMID: 12588808, 9525971)
Protocols
| Product Specific Protocols | |
|---|---|
| IHC protocol for Sodium iodide symporter antibody 24324-1-AP | Download protocol |
| IP protocol for Sodium iodide symporter antibody 24324-1-AP | Download protocol |
| WB protocol for Sodium iodide symporter antibody 24324-1-AP | Download protocol |
| Standard Protocols | |
|---|---|
| Click here to view our Standard Protocols |
Publications
| Species | Application | Title |
|---|---|---|
Adv Sci (Weinh) Regeneration of Thyroid Glands in the Spleen Restores Homeostasis in Thyroidectomy Mice | ||
Clin Cancer Res Combined Vorinostat and Chloroquine Inhibit Sodium-Iodide Symporter Endocytosis and Enhance Radionuclide Uptake In Vivo | ||
Cell Death Differ CRSP8 promotes thyroid cancer progression by antagonizing IKKα-induced cell differentiation. | ||
Cell Death Differ REGγ ablation impedes dedifferentiation of anaplastic thyroid carcinoma and accentuates radio-therapeutic response by regulating the Smad7-TGF-β pathway. | ||
Cell Chem Biol Targeting non-canonical pathways as a strategy to modulate the sodium iodide symporter. |
Reviews
The reviews below have been submitted by verified Proteintech customers who received an incentive for providing their feedback.
FH Katie (Verified Customer) (08-22-2019) | Highly specific antibody for the sodium iodide symporter (NIS) with no background bands in Western blot, used at 1:1000 dilution. Very clear result. Good value for money, and excellent communication prior to delivery receipt.
|



















