STAU1 Monoclonal antibody, PBS Only

STAU1 Monoclonal Antibody for WB, Indirect ELISA
Cat No. 61024-1-PBS
Clone No.1H1D7

Host / Isotype

Mouse / IgG1

Reactivity

human, mouse, rat, rabbit

Applications

WB, Indirect ELISA

Double-stranded RNA-binding protein Staufen homolog 1, STAU

Formulation:  PBS Only
Conjugate:  Unconjugated
Size/Concentration: 

-/ -

Freight/Packing: -

Quantity

Please visit your regions distributor:


Product Information

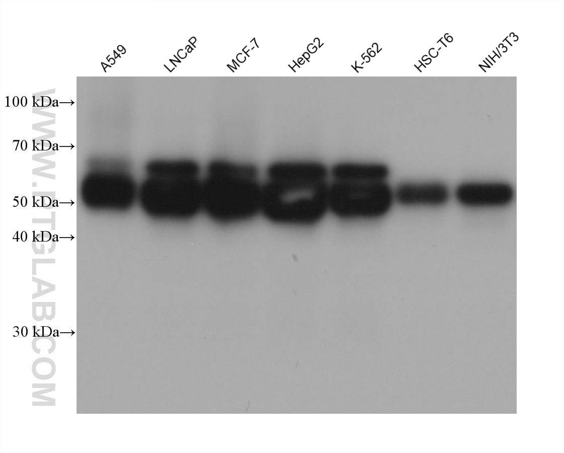
61024-1-PBS targets STAU1 in WB, Indirect ELISA applications and shows reactivity with human, mouse, rat, rabbit samples.

Tested Reactivity human, mouse, rat, rabbit
Host / Isotype Mouse / IgG1
Class Monoclonal
Type Antibody
Immunogen

CatNo: Ag5573

Product name: Recombinant human STAU1 protein

Source: e coli.-derived, PET28a

Tag: 6*His

Domain: 227-577 aa of BC050432

Sequence: GEGEGKSKKISKKNAAIAVLEELKKLPPLPAVERVKPRIKKKTKPIVKPQTSPEYGQGINPISRLAQIQQAKKEKEPEYTLLTERGLPRRREFVMQVKVGNHTAEGTGTNKKVAKRNAAENMLEILGFKVPQAQPTKPALKSEEKTPIKKPGDGRKVTFFEPGSGDENGTSNKEDEFRMPYLSHQQLPAGILPMVPEVAQAVGVSQGHHTKDFTRAAPNPAKATVTAMIARELLYGGTSPTAETILKNNISSGHVPHGPLTRPSEQLDYLSRVQGFQVEYKDFPKNNKNEFVSLINCSSQPPLISHGIGKDVESCHDMAALNILKLLSELDQQSTEMPRTGNGPMSVCGRC

Predict reactive species
Full Name staufen, RNA binding protein, homolog 1 (Drosophila)
Calculated Molecular Weight 63 kDa
Observed Molecular Weight55-65 kDa
GenBank Accession NumberBC050432
Gene Symbol STAU1
Gene ID (NCBI) 6780
Conjugate Unconjugated
FormLiquid
Purification MethodProtein G purification
UNIPROT IDO95793
Storage Buffer PBS only, pH 7.3.
Storage ConditionsStore at -80°C.

Background Information

Staufen1 (STAU1)-mediated mRNA decay (SMD) degrades translationally active mRNAs that bind the double-stranded (ds)RNA binding protein STAU1 within their 3'-untranslated regions (3'UTRs) [PMID:21307942]. STAU1 can binds to stem structures and protect Dvl2 mRNA from degradation by associating with the secondary structure in the U1 region which is located at 5′ position of second U stretch in the U2 region [PMID:17510634]. It has a role in specific positioning of mRNAs at given sites in the cell by cross-linking cytoskeletal and RNA components, and in stimulating their translation at the site.

Loading...
||
New chat

Able

正在加载,请稍候...