Tested Applications
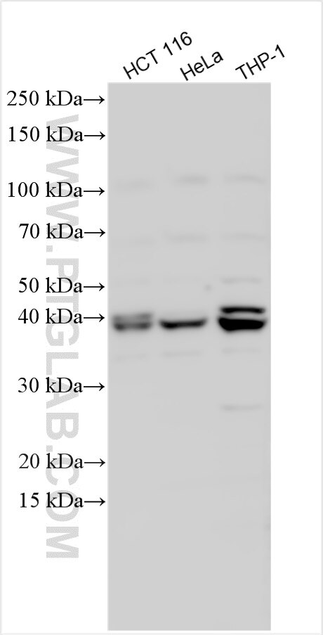
| Positive WB detected in | THP-1 cells, HCT 116 cells, HeLa cells |
Recommended dilution
| Application | Dilution |
|---|---|
| Western Blot (WB) | WB : 1:1000-1:4000 |
| It is recommended that this reagent should be titrated in each testing system to obtain optimal results. | |
| Sample-dependent, Check data in validation data gallery. | |
Product Information
31918-1-AP targets TOR4A in WB, ELISA applications and shows reactivity with human samples.
| Tested Reactivity | human |
| Host / Isotype | Rabbit / IgG |
| Class | Polyclonal |
| Type | Antibody |
| Immunogen |
CatNo: Ag36307 Product name: Recombinant human C9orf167 protein Source: e coli.-derived, PGEX-4T Tag: GST Domain: 1-121 aa of NM_017723 Sequence: MDRGQPSLEPAAAAPRASGRCVIAPVRAVLRLRRRVCVLRKRRLLQPGGGPDVGTGAPRPGCSPRAPRADLDQPKFFTFDSPAELPSRTPRKKRRRSRLVLYPETSRKYRPRVEHRSRAQR Predict reactive species |
| Full Name | chromosome 9 open reading frame 167 |
| Calculated Molecular Weight | 46kDa |
| Observed Molecular Weight | 38, 40 kDa |
| GenBank Accession Number | NM_017723 |
| Gene Symbol | C9orf167 |
| Gene ID (NCBI) | 54863 |
| RRID | AB_3670143 |
| Conjugate | Unconjugated |
| Form | Liquid |
| Purification Method | Antigen affinity Purification |
| UNIPROT ID | Q9NXH8 |
| Storage Buffer | PBS with 0.02% sodium azide and 50% glycerol, pH 7.3. |
| Storage Conditions | Store at -20°C. Stable for one year after shipment. Aliquoting is unnecessary for -20oC storage. 20ul sizes contain 0.1% BSA. |
Background Information
TOR4A is known to be a member of the AAA+ ATPase superfamily of proteins that are involved in the degradation of misfolded proteins via the endoplasmic reticulum-associated protein degradation (ERAD) pathway (PMID: 25873482).TOR4A is an oncogene and that DNER acts as a tumor suppressor gene by inhibiting TOR4A and its functions of promoting p-AKT and inhibiting antiapoptotic protein expression (PMID: 36204885).
Protocols
| Product Specific Protocols | |
|---|---|
| WB protocol for TOR4A antibody 31918-1-AP | Download protocol |
| Standard Protocols | |
|---|---|
| Click here to view our Standard Protocols |

