• Featured Product
  • KD/KO Validated

TXNIP Polyclonal antibody

TXNIP Polyclonal Antibody for WB, IHC, IP, ELISA

Cat No. 18243-1-AP

Host / Isotype

Rabbit / IgG

Reactivity

human, mouse, rat

Applications

WB, IHC, IF, IP, CoIP, ELISA

Thioredoxin binding protein 2, thioredoxin interacting protein, Thioredoxin-binding protein 2, Thioredoxin-interacting protein, VDUP1

Formulation:  PBS, Azide, Glycerol
PBS, Azide, Glycerol
Conjugate:  Unconjugated
Unconjugated
Size/Concentration: 

-/ -

Freight/Packing: -

Quantity

Please visit your regions distributor:


Tested Applications

Positive WB detected inHL-60 cells, K-562 cells, PC-12 cells
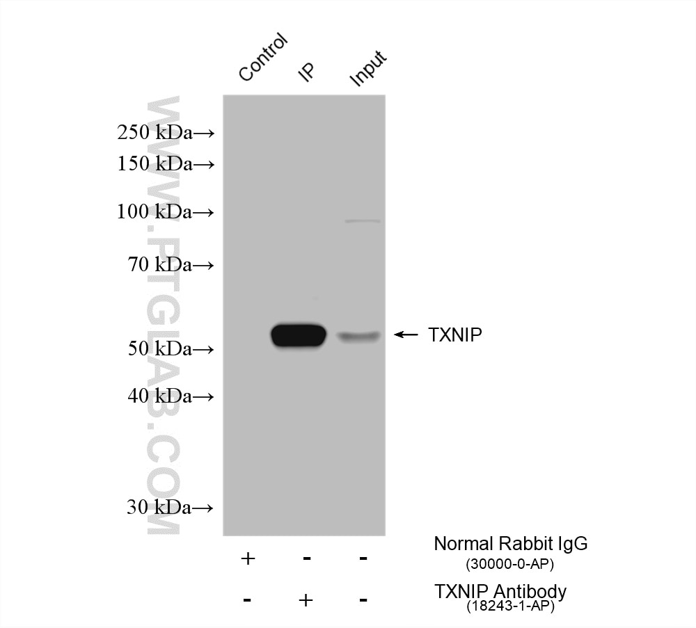
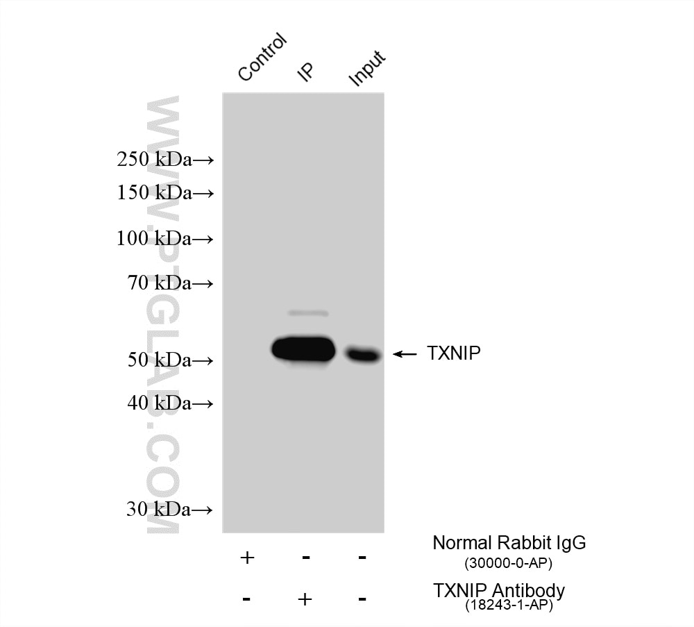
Positive IP detected inBxPC-3 cells, HL-60 cells
Positive IHC detected inhuman kidney tissue, human ovary tumor tissue, mouse colon tissue, mouse kidney tissue, rat kidney tissue
Note: suggested antigen retrieval with TE buffer pH 9.0; (*) Alternatively, antigen retrieval may be performed with citrate buffer pH 6.0

Recommended dilution

ApplicationDilution
Western Blot (WB)WB : 1:500-1:1000
Immunoprecipitation (IP)IP : 0.5-4.0 ug for 1.0-3.0 mg of total protein lysate
Immunohistochemistry (IHC)IHC : 1:50-1:500
It is recommended that this reagent should be titrated in each testing system to obtain optimal results.
Sample-dependent, Check data in validation data gallery.

Product Information

18243-1-AP targets TXNIP in WB, IHC, IF, IP, CoIP, ELISA applications and shows reactivity with human, mouse, rat samples.

Tested Reactivity human, mouse, rat
Cited Reactivityhuman, mouse, rat
Host / Isotype Rabbit / IgG
Class Polyclonal
Type Antibody
Immunogen

CatNo: Ag13009

Product name: Recombinant human TXNIP protein

Source: e coli.-derived, PGEX-4T

Tag: GST

Domain: 1-391 aa of BC093702

Sequence: MVMFKKIKSFEVVFNDPEKVYGSGEKVAGRVIVEVCEVTRVKAVRILACGVAKVLWMQGSQQCKQTSEYLRYEDTLLLEDQPTGENEMVIMRPGNKYEYKFGFELPQGPLGTSFKGKYGCVDYWVKAFLDRPSQPTQETKKNFEVVDLVDVNTPDLMAPVSAKKEKKVSCMFIPDGRVSVSARIDRKGFCEGDEISIHADFENTCSRIVVPKAAIVARHTYLANGQTKVLTQKLSSVRGNHIISGTCASWRGKSLRVQKIRPSILGCNILRVEYSLLIYVSVPGSKKVILDLPLVIGSRSGLSSRTSSMASRTSSEMSWVDLNIPDTPEAPPCYMDVIPEDHRLESPTTPLLDDMDGSQDSPIFMYAPEFKFMPPPTYTEVDPCILNNNVQ

Predict reactive species
Full Name thioredoxin interacting protein
Calculated Molecular Weight 391 aa, 44 kDa
Observed Molecular Weight 44-55 kDa
GenBank Accession NumberBC093702
Gene Symbol TXNIP
Gene ID (NCBI) 10628
RRIDAB_2876873
Conjugate Unconjugated
FormLiquid
Purification MethodAntigen affinity purification
UNIPROT IDQ9H3M7
Storage Buffer PBS with 0.02% sodium azide and 50% glycerol, pH 7.3.
Storage ConditionsStore at -20°C. Stable for one year after shipment. Aliquoting is unnecessary for -20oC storage. 20ul sizes contain 0.1% BSA.

Background Information

TXNIP, also known as VDUP-1 or TBP-2, belongs to alpha-arrestin protein family and is perhaps the only family member known to bind thioredoxin (TRX). TXNIP was induced by Vitamin D3, but not induced by another monocyte or macrophage differentiation inducer: phorbol 12-myristate 13-acetate (PMA). TXNIP bound catalytic active center of thioredoxin (TRX), which protected cells against oxidative stress. TXNIP was found to be a negative regulator of thioredoxin activity and inducer of the intracellular level of reactive oxygen species (ROS). TXNIP plays an important role in a wide variety of biological functions, such as the regulation of cell death, growth, differentiation, and energy metabolism.

Protocols

Product Specific Protocols
IHC protocol for TXNIP antibody 18243-1-APDownload protocol
IP protocol for TXNIP antibody 18243-1-APDownload protocol
WB protocol for TXNIP antibody 18243-1-APDownload protocol
Standard Protocols
Click here to view our Standard Protocols

Publications

SpeciesApplicationTitle
mouse

Gastroenterology

MondoA-Thioredoxin-Interacting Protein Axis Maintains Regulatory T-Cell Identity and Function in Colorectal Cancer Microenvironment.

Authors - Ying Lu
humanWB

Clin Cancer Res

FBW7 (F-box and WD repeat domain-containing 7) negatively regulates glucose metabolism by targeting the c-Myc/TXNIP (thioredoxin binding protein) axis in pancreatic cancer.

Authors - Shunrong Ji
mouseIHC

Theranostics

Epigenetic repression of miR-17 contributed to di(2-ethylhexyl) phthalate-triggered insulin resistance by targeting Keap1-Nrf2/miR-200a axis in skeletal muscle.

Authors - Jie Wei
humanWB

Redox Biol

PMID: 32330868

Authors - Yifan Jia
  • KD Validated
WB

Oxid Med Cell Longev

Attenuation of ROS/Chloride Efflux-Mediated NLRP3 Inflammasome Activation Contributes to Alleviation of Diabetic Cardiomyopathy in Rats after Sleeve Gastrectomy.

Authors - Songhan Li
ratWB

Oxid Med Cell Longev

PMID: 31998437

Authors - Jing Yu
Loading...
||
New chat

Able

正在加载,请稍候...