Tested Applications
| Positive WB detected in | HepG2 cells, mouse pancreas tissue, rat pancreas tissue |
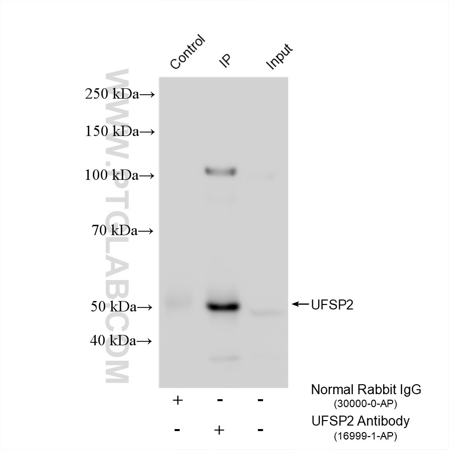
| Positive IP detected in | HepG2 cells |
| Positive IHC detected in | human liver tissue Note: suggested antigen retrieval with TE buffer pH 9.0; (*) Alternatively, antigen retrieval may be performed with citrate buffer pH 6.0 |
Recommended dilution
| Application | Dilution |
|---|---|
| Western Blot (WB) | WB : 1:1000-1:6000 |
| Immunoprecipitation (IP) | IP : 0.5-4.0 ug for 1.0-3.0 mg of total protein lysate |
| Immunohistochemistry (IHC) | IHC : 1:20-1:200 |
| It is recommended that this reagent should be titrated in each testing system to obtain optimal results. | |
| Sample-dependent, Check data in validation data gallery. | |
Published Applications
| KD/KO | See 1 publications below |
| WB | See 4 publications below |
| IP | See 1 publications below |
Product Information
16999-1-AP targets UFSP2 in WB, IHC, IP, ELISA applications and shows reactivity with human, mouse, rat samples.
| Tested Reactivity | human, mouse, rat |
| Cited Reactivity | human, mouse |
| Host / Isotype | Rabbit / IgG |
| Class | Polyclonal |
| Type | Antibody |
| Immunogen |
CatNo: Ag10692 Product name: Recombinant human UFSP2 protein Source: e coli.-derived, PGEX-4T Tag: GST Domain: 120-469 aa of BC010493 Sequence: MLEMSTSLAAVTPIIERESGGHHYVNMTLPVDAVISVAPEETWGKVRKLLVDAIHNQLTDMEKCILKYMKGTSIVVPEPLHFLLPGKKNLVTISYPSGIPDGQLQAYRKELHDLFNLPHDRPYFKRSNAYHFPDEPYKDGYIRNPHTYLNPPNMETGMIYVVQGIYGYHHYMQDRIDDNGWGCAYRSLQTICSWFKHQGYTERSIPTHREIQQALVDAGDKPATFVGSRQWIGSIEVQLVLNQLIGITSKILFVSQGSEIASQGRELANHFQSEGTPVMIGGGVLAHTILGVAWNEITGQIKFLILDPHYTGAEDLQVILEKGWCGWKGPDFWNKDAYYNLCLPQRPNMI Predict reactive species |
| Full Name | UFM1-specific peptidase 2 |
| Calculated Molecular Weight | 469 aa, 53 kDa |
| Observed Molecular Weight | 53 kDa |
| GenBank Accession Number | BC010493 |
| Gene Symbol | UFSP2 |
| Gene ID (NCBI) | 55325 |
| RRID | AB_2214070 |
| Conjugate | Unconjugated |
| Form | Liquid |
| Purification Method | Antigen affinity purification |
| UNIPROT ID | Q9NUQ7 |
| Storage Buffer | PBS with 0.02% sodium azide and 50% glycerol, pH 7.3. |
| Storage Conditions | Store at -20°C. Stable for one year after shipment. Aliquoting is unnecessary for -20oC storage. 20ul sizes contain 0.1% BSA. |
Background Information
Ubiquitin-fold modifier 1 (Ufm1)-specific protease 2 (UfSP2) is a cysteine protease that is responsible for the release of Ufm1 from Ufm1-conjugated cellular proteins, as well as for the generation of mature Ufm1 from its precursor (PMID: 21228277). The MW of this protein is 53 kDa, and this antibody specially recognises the 53 kDa protein.
Protocols
| Product Specific Protocols | |
|---|---|
| IHC protocol for UFSP2 antibody 16999-1-AP | Download protocol |
| IP protocol for UFSP2 antibody 16999-1-AP | Download protocol |
| WB protocol for UFSP2 antibody 16999-1-AP | Download protocol |
| Standard Protocols | |
|---|---|
| Click here to view our Standard Protocols |
Publications
| Species | Application | Title |
|---|---|---|
Genet Med A pathogenic UFSP2 variant in an autosomal recessive form of pediatric neurodevelopmental anomalies and epilepsy. | ||
Cells Ufmylation of UFBP1 Is Dispensable for Endoplasmic Reticulum Stress Response, Embryonic Development, and Cardiac and Intestinal Homeostasis | ||
Sci Adv The ufmylation cascade controls COPII recruitment, anterograde transport, and sorting of nascent GPCRs at ER
|
Reviews
The reviews below have been submitted by verified Proteintech customers who received an incentive for providing their feedback.
FH Isabelle Cristine (Verified Customer) (01-14-2022) | This antibody works extremely well and is very specific for detecting the UFSP2 protein in HEK293 cells
![]() |








