Tested Applications
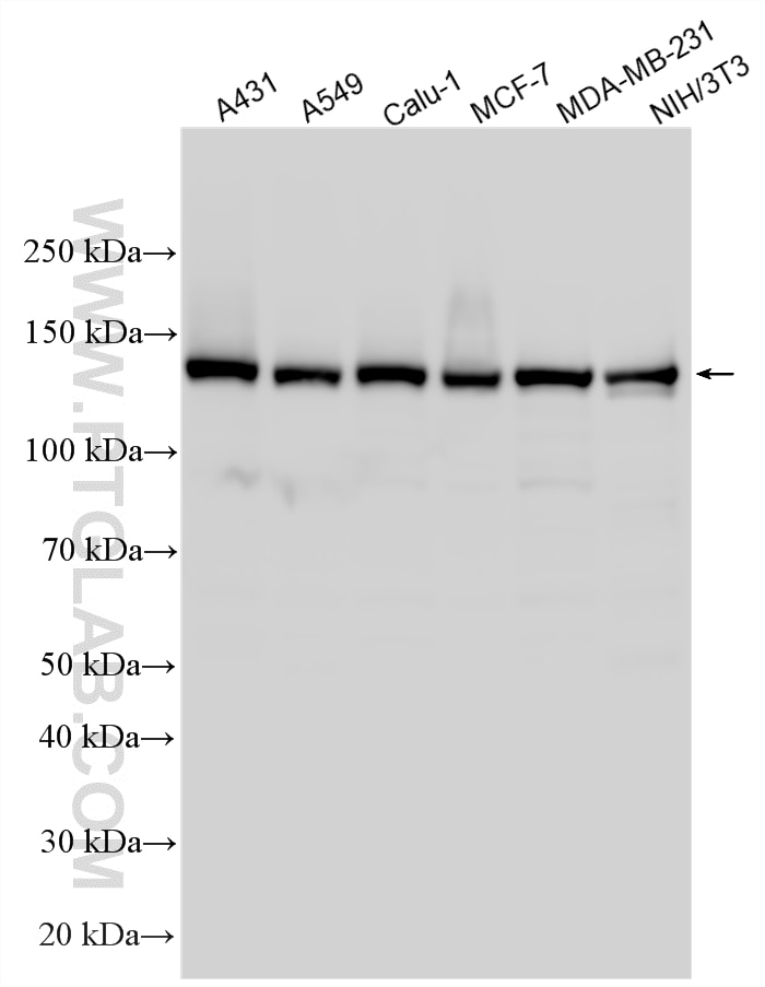
| Positive WB detected in | A431 cells, A549 cells, Calu-1 cells, MCF-7 cells, MDA-MB-231 cells, NIH/3T3 cells |
Recommended dilution
| Application | Dilution |
|---|---|
| Western Blot (WB) | WB : 1:5000-1:50000 |
| It is recommended that this reagent should be titrated in each testing system to obtain optimal results. | |
| Sample-dependent, Check data in validation data gallery. | |
Product Information
33739-1-AP targets WDHD1 in WB, ELISA applications and shows reactivity with human, mouse samples.
| Tested Reactivity | human, mouse |
| Host / Isotype | Rabbit / IgG |
| Class | Polyclonal |
| Type | Antibody |
| Immunogen |
CatNo: Ag38697 Product name: Recombinant human WDHD1 protein Source: e coli.-derived, PGEX-4T Tag: GST Domain: 950-1129 aa of NM_007086.3 Sequence: SRTTNNEKSPIIKPLIPKPKPKQASAASYFQKRNSQTNKTEEVKEENLKNVLSETPAICPPQNTENQRPKTGFQMWLEENRSNILSDNPDFSDEADIIKEGMIRFRVLSTEERKVWANKAKGETASEGTEAKKRKRVVDESDETENQEEKAKENLNLSKKQKPLDFSTNQKLSAFAFKQE* Predict reactive species |
| Full Name | WD repeat and HMG-box DNA binding protein 1 |
| Calculated Molecular Weight | 126kDa,1129aa |
| Observed Molecular Weight | 126 kDa |
| GenBank Accession Number | NM_007086.3 |
| Gene Symbol | WDHD1 |
| Gene ID (NCBI) | 11169 |
| Conjugate | Unconjugated |
| Form | Liquid |
| Purification Method | Antigen affinity Purification |
| UNIPROT ID | O75717 |
| Storage Buffer | PBS with 0.02% sodium azide and 50% glycerol, pH 7.3. |
| Storage Conditions | Store at -20°C. Stable for one year after shipment. Aliquoting is unnecessary for -20oC storage. 20ul sizes contain 0.1% BSA. |
Background Information
The WD repeat and HMG-box DNA-binding protein 1 (WDHD1), also known as acidic nucleoplasmic DNA-binding protein 1 (AND-1), is a DNA‐binding protein with a total molecular weight of 126 kDa, containing multiple N-terminal WD40 domains and a C-terminal high mobility group (HMG) box. WDHD1 contains the highly conserved SepB domain, which plays a crucial role in DNA replication processes(PMID: 37569867). WDHD1 regulates the assembly and activation of the pre‐replication complex (pre-RC), and WDHD1 depletion leads to G1 stagnation and delays progression to the S phase(PMID: 36345604).
Protocols
| Product Specific Protocols | |
|---|---|
| WB protocol for WDHD1 antibody 33739-1-AP | Download protocol |
| Standard Protocols | |
|---|---|
| Click here to view our Standard Protocols |

