Tested Applications
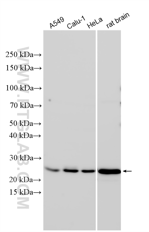
| Positive WB detected in | A549 cells, Calu-1 cells, HeLa cells, rat brain tissue |
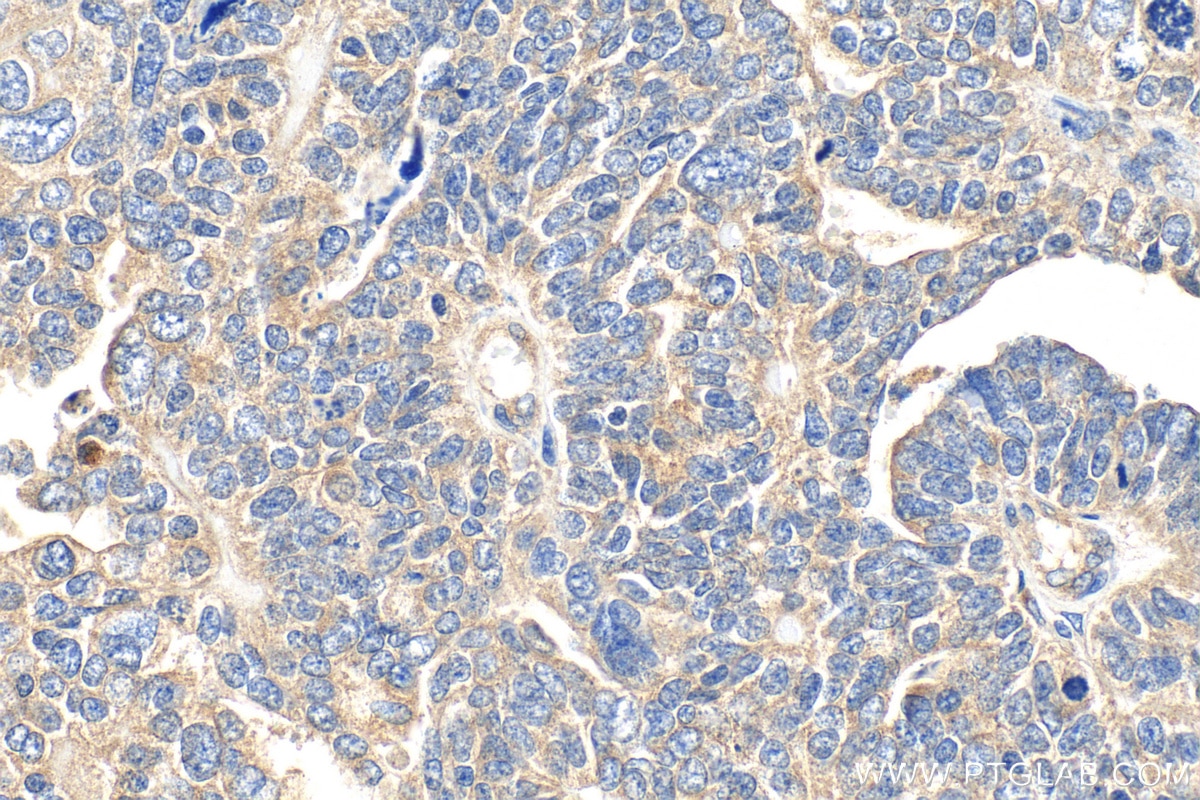
| Positive IHC detected in | human ovary tumor tissue Note: suggested antigen retrieval with TE buffer pH 9.0; (*) Alternatively, antigen retrieval may be performed with citrate buffer pH 6.0 |
| Positive IF/ICC detected in | A431 cells, U-251 cells |
Recommended dilution
| Application | Dilution |
|---|---|
| Western Blot (WB) | WB : 1:1000-1:6000 |
| Immunohistochemistry (IHC) | IHC : 1:250-1:1000 |
| Immunofluorescence (IF)/ICC | IF/ICC : 1:200-1:800 |
| It is recommended that this reagent should be titrated in each testing system to obtain optimal results. | |
| Sample-dependent, Check data in validation data gallery. | |
Product Information
33685-1-AP targets YKT6 in WB, IHC, IF/ICC, ELISA applications and shows reactivity with human, rat samples.
| Tested Reactivity | human, rat |
| Host / Isotype | Rabbit / IgG |
| Class | Polyclonal |
| Type | Antibody |
| Immunogen |
CatNo: Ag38740 Product name: Recombinant human YKT6 protein Source: e coli.-derived, PGEX-4T Tag: GST Domain: 111-198 aa of BC007319 Sequence: PVGSPATIHYPALDGHLSRYQNPREADPMTKVQAELDETKIILHNTMESLLERGEKLDDLVSKSEVLGTQSKAFYKTARKQNSCCAIM Predict reactive species |
| Full Name | YKT6 v-SNARE homolog (S. cerevisiae) |
| Calculated Molecular Weight | 22 kDa |
| Observed Molecular Weight | 25 kDa |
| GenBank Accession Number | BC007319 |
| Gene Symbol | YKT6 |
| Gene ID (NCBI) | 10652 |
| Conjugate | Unconjugated |
| Form | Liquid |
| Purification Method | Antigen affinity Purification |
| UNIPROT ID | O15498 |
| Storage Buffer | PBS with 0.02% sodium azide and 50% glycerol, pH 7.3. |
| Storage Conditions | Store at -20°C. Stable for one year after shipment. Aliquoting is unnecessary for -20oC storage. 20ul sizes contain 0.1% BSA. |
Background Information
YKT6 is a soluble N-ethylmaleimide-sensitive factor attachment protein receptor (SNARE) that plays a central role in membrane fusion in eukaryotic cells. It is primarily localized in the cytoplasm and, through its unique dual lipidation modification (palmitoylation and farnesylation), can associate with various organelle membranes, such as the Golgi apparatus, endosomes, and vesicles. By forming stable trans-SNARE complexes with other SNARE proteins (e.g., Syntaxin and SNAP-25 family members) on target membranes, YKT6 provides the driving force for membrane fusion, thereby facilitating intracellular trafficking. This protein is essential for maintaining organelle integrity, autophagy, and secretory pathways. Studies have shown that dysfunction of YKT6 is associated with various diseases, including cancer, neurodegenerative disorders, and metabolic abnormalities, making it a potential target for drug development.
Protocols
| Product Specific Protocols | |
|---|---|
| IF protocol for YKT6 antibody 33685-1-AP | Download protocol |
| IHC protocol for YKT6 antibody 33685-1-AP | Download protocol |
| WB protocol for YKT6 antibody 33685-1-AP | Download protocol |
| Standard Protocols | |
|---|---|
| Click here to view our Standard Protocols |







