Tested Applications
| Positive WB detected in | MCF7 cells, HeLa cells |
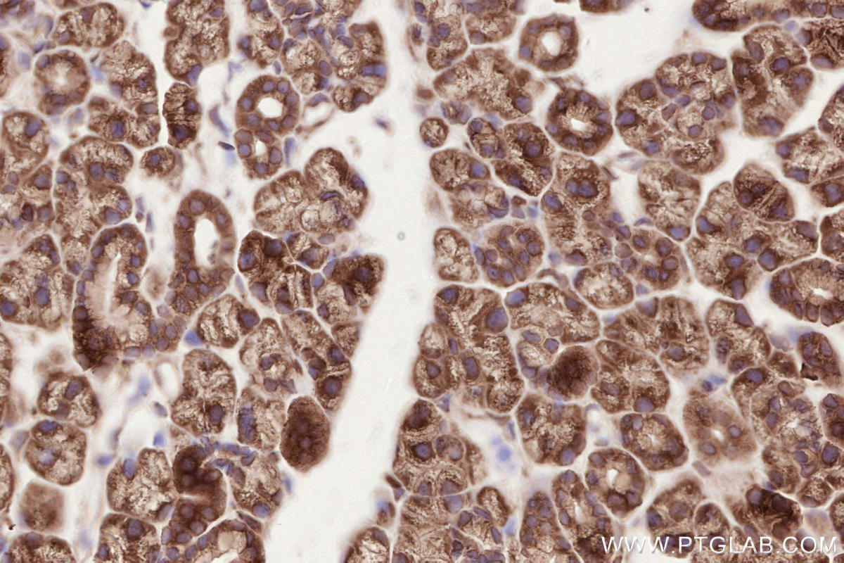
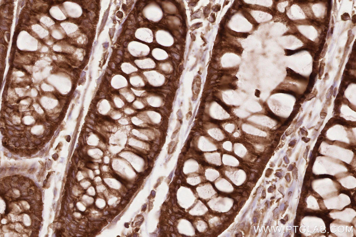
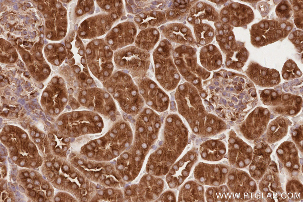
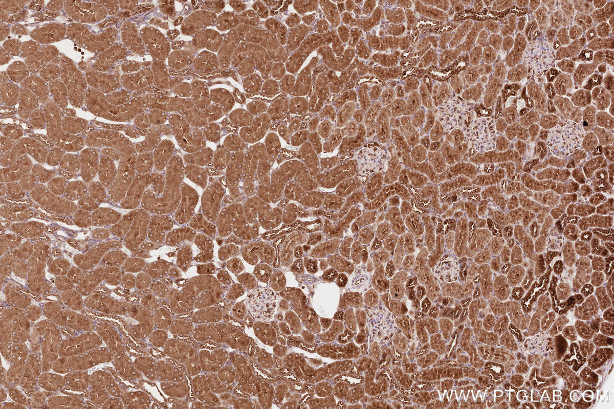
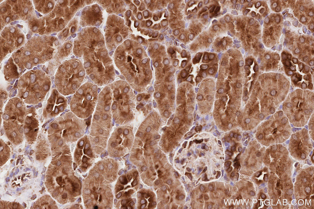
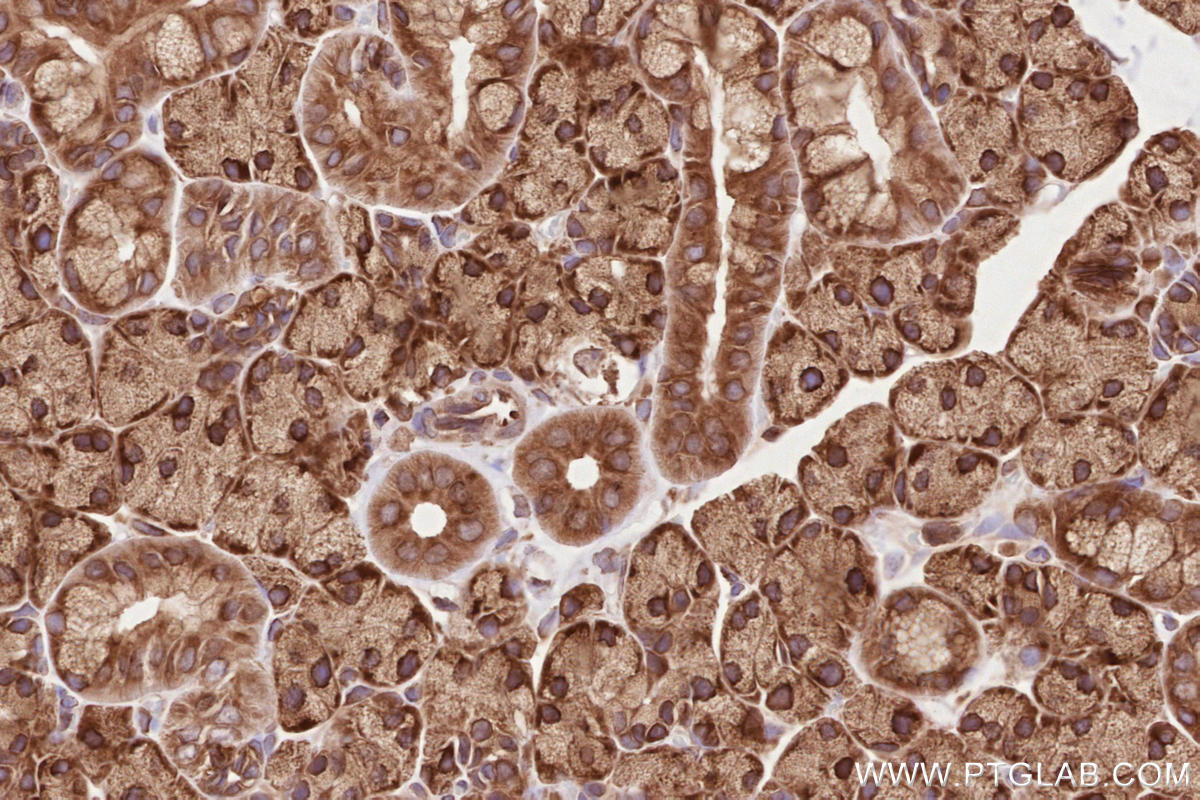
| Positive IHC detected in | human testis tissue, human lung cancer tissue, mouse salivary gland tissue, human rectal cancer tissue, mouse kidney tissue, mouse skeletal muscle tissue, rat kidney tissue, rat salivary gland tissue, rat skeletal muscle tissue Note: suggested antigen retrieval with TE buffer pH 9.0; (*) Alternatively, antigen retrieval may be performed with citrate buffer pH 6.0 |
| Positive IF/ICC detected in | HeLa cells, A431 cells |
Recommended dilution
| Application | Dilution |
|---|---|
| Western Blot (WB) | WB : 1:500-1:3000 |
| Immunohistochemistry (IHC) | IHC : 1:250-1:1000 |
| Immunofluorescence (IF)/ICC | IF/ICC : 1:200-1:800 |
| It is recommended that this reagent should be titrated in each testing system to obtain optimal results. | |
| Sample-dependent, Check data in validation data gallery. | |
Published Applications
| KD/KO | See 1 publications below |
| WB | See 3 publications below |
| IHC | See 2 publications below |
| IF | See 2 publications below |
Product Information
19917-1-AP targets BZW1 in WB, IHC, IF/ICC, ELISA applications and shows reactivity with human, mouse, rat samples.
| Tested Reactivity | human, mouse, rat |
| Cited Reactivity | human, mouse |
| Host / Isotype | Rabbit / IgG |
| Class | Polyclonal |
| Type | Antibody |
| Immunogen |
CatNo: Ag13830 Product name: Recombinant human BZW1 protein Source: e coli.-derived, PGEX-4T Tag: GST Domain: 143-273 aa of BC001804 Sequence: SESERNKLAMLTGVLLANGTLNASILNSLYNENLVKEGVSAAFAVKLFKSWINEKDINAVAASLRKVSMDNRLMELFPANKQSVEHFTKYFTEAGLKELSEYVRNQQTIGARKELQKELQEQMSRGDPFKD Predict reactive species |
| Full Name | basic leucine zipper and W2 domains 1 |
| Calculated Molecular Weight | 353 aa, 41 kDa |
| Observed Molecular Weight | 48 kDa |
| GenBank Accession Number | BC001804 |
| Gene Symbol | BZW1 |
| Gene ID (NCBI) | 9689 |
| RRID | AB_10693530 |
| Conjugate | Unconjugated |
| Form | Liquid |
| Purification Method | Antigen affinity purification |
| UNIPROT ID | Q7L1Q6 |
| Storage Buffer | PBS with 0.02% sodium azide and 50% glycerol, pH 7.3. |
| Storage Conditions | Store at -20°C. Stable for one year after shipment. Aliquoting is unnecessary for -20oC storage. 20ul sizes contain 0.1% BSA. |
Background Information
BZW1, also known as basic leucine zipper and W2 domains 1, is a member of the basic leucine zipper (bZIP) superfamily of transcription factors. It is a 45 kDa protein that contains an N-terminal bZIP domain for protein interactions and a C-terminal nucleotide (ATP or GTP) binding domain. Human BZW1 can activate transcription of the histone H4 gene and serve as a co-regulator with other transcription factors to control the cell cycle. In recent years, BZW1 has been identified as enhancing phosphorylation to promote glycolysis in pancreatic ductal adenocarcinoma. Moreover, BZW1 has been found to regulate the cell cycle in ovarian cancer, thereby promoting its progression. Additionally, BZW1 plays a crucial role in mucoepidermoid carcinoma of the salivary glands. BZW1 is also involved in the regulation of translation initiation, acting as a translational rheostat and autoregulating its own translation. It has been suggested that BZW1, as well as its paralog BZW2, is an eIF5-mimic protein. BZW1 has been shown to facilitate glycolysis and promote tumor growth in pancreatic ductal adenocarcinoma through potentiating eIF2α phosphorylation, and it may serve as a therapeutic target for patients with pancreatic cancer. In macrophages, activation of BZW1 by CEBPB promotes eIF2α phosphorylation-mediated metabolic reprogramming and endoplasmic reticulum stress. BZW1 has also been found to be associated with the Wnt/β-catenin pathway in lung adenocarcinoma, potentially influencing epithelial-mesenchymal transition (EMT) processes.
Protocols
| Product Specific Protocols | |
|---|---|
| IF protocol for BZW1 antibody 19917-1-AP | Download protocol |
| IHC protocol for BZW1 antibody 19917-1-AP | Download protocol |
| WB protocol for BZW1 antibody 19917-1-AP | Download protocol |
| Standard Protocols | |
|---|---|
| Click here to view our Standard Protocols |
Publications
| Species | Application | Title |
|---|---|---|
Leukemia IPO11 regulates the nuclear import of BZW1/2 and is necessary for AML cells and stem cells. | ||
Adv Sci (Weinh) BZW1 Drives Immune Evasion in Lung Adenocarcinoma via Ferroptosis Suppression | ||
Genomics BZW1 as an oncogene is associated with patient prognosis and the immune microenvironment in glioma
|











































