Tested Applications
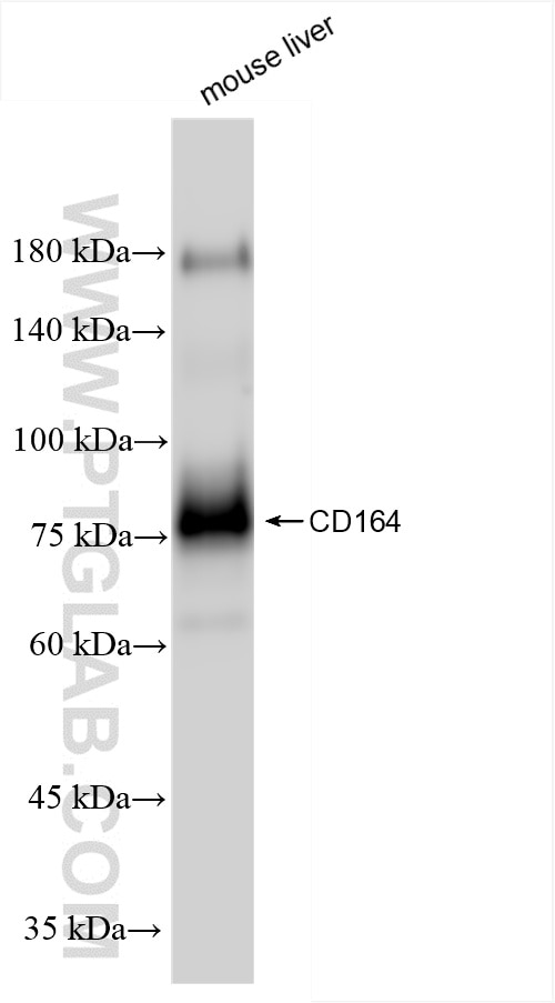
| Positive WB detected in | mouse liver tissue |
| Positive IHC detected in | mouse kidney tissue Note: suggested antigen retrieval with TE buffer pH 9.0; (*) Alternatively, antigen retrieval may be performed with citrate buffer pH 6.0 |
| Positive IF/ICC detected in | RM-1 cells |
Recommended dilution
| Application | Dilution |
|---|---|
| Western Blot (WB) | WB : 1:1000-1:4000 |
| Immunohistochemistry (IHC) | IHC : 1:500-1:2000 |
| Immunofluorescence (IF)/ICC | IF/ICC : 1:200-1:800 |
| It is recommended that this reagent should be titrated in each testing system to obtain optimal results. | |
| Sample-dependent, Check data in validation data gallery. | |
Product Information
85723-4-RR targets CD164 in WB, IHC, IF/ICC, ELISA applications and shows reactivity with mouse samples.
| Tested Reactivity | mouse |
| Host / Isotype | Rabbit / IgG |
| Class | Recombinant |
| Type | Antibody |
| Immunogen |
CatNo: Eg2645 Product name: Recombinant Mouse CD164 protein (rFc Tag) Source: mammalian cells-derived, V37 Tag: C-rFc Domain: 24-162 aa of NM_016898.2 Sequence: QPNITTLAPNVTEVPTTTTKVVPTTQMPTVLPETCASFNSCVSCVNATFTNNITCFWLHCQEANKTYCANEPLSNCSQVNRTDLCSVIPPTTPVPTNSTAKPTTRPSSPTPTPSVVTSAGTTNTTLTPTSQPERKSTFD Predict reactive species |
| Full Name | CD164 antigen |
| Calculated Molecular Weight | 21 kDa |
| Observed Molecular Weight | 80 kDa |
| GenBank Accession Number | NM_016898.2 |
| Gene Symbol | Cd164 |
| Gene ID (NCBI) | 53599 |
| RRID | AB_3744321 |
| Conjugate | Unconjugated |
| Form | Liquid |
| Purification Method | Protein A purification |
| UNIPROT ID | Q9R0L9 |
| Storage Buffer | PBS with 0.02% sodium azide and 50% glycerol, pH 7.3. |
| Storage Conditions | Store at -20°C. Stable for one year after shipment. Aliquoting is unnecessary for -20oC storage. 20ul sizes contain 0.1% BSA. |
Background Information
Sialomucins are a heterogeneous group of secreted or membrane-associated mucins that appear to play 2 key but opposing roles in vivo: first as cytoprotective or antiadhesive agents, and second as adhesion receptors. CD164 is a type I integral transmembrane sialomucin that functions as an adhesion receptor (PMID: 9680353)(PMID: 17077324). Sialomucin CD164 (MUC-24), also referred to multi-glycosylated core protein 24 (MGC24), is known to function as a receptor that regulates stem cell localization to the bone marrow. CD164 may play a key role in hematopoiesis by facilitating the adhesion of CD34+ cells to the stroma and by negatively regulating CD34+CD38(lo/-) cell proliferation. Important role of CD164 in in prostate cancer metastasis, promoting myogenesis and regulating myoblast migration so far have been revealed (PMID: 9763543)(PMID: 16859559)(PMID: 17077324).
Protocols
| Product Specific Protocols | |
|---|---|
| IF protocol for CD164 antibody 85723-4-RR | Download protocol |
| IHC protocol for CD164 antibody 85723-4-RR | Download protocol |
| WB protocol for CD164 antibody 85723-4-RR | Download protocol |
| Standard Protocols | |
|---|---|
| Click here to view our Standard Protocols |





