Tested Applications
| Positive WB detected in | rat liver tissue, mouse liver tissue |
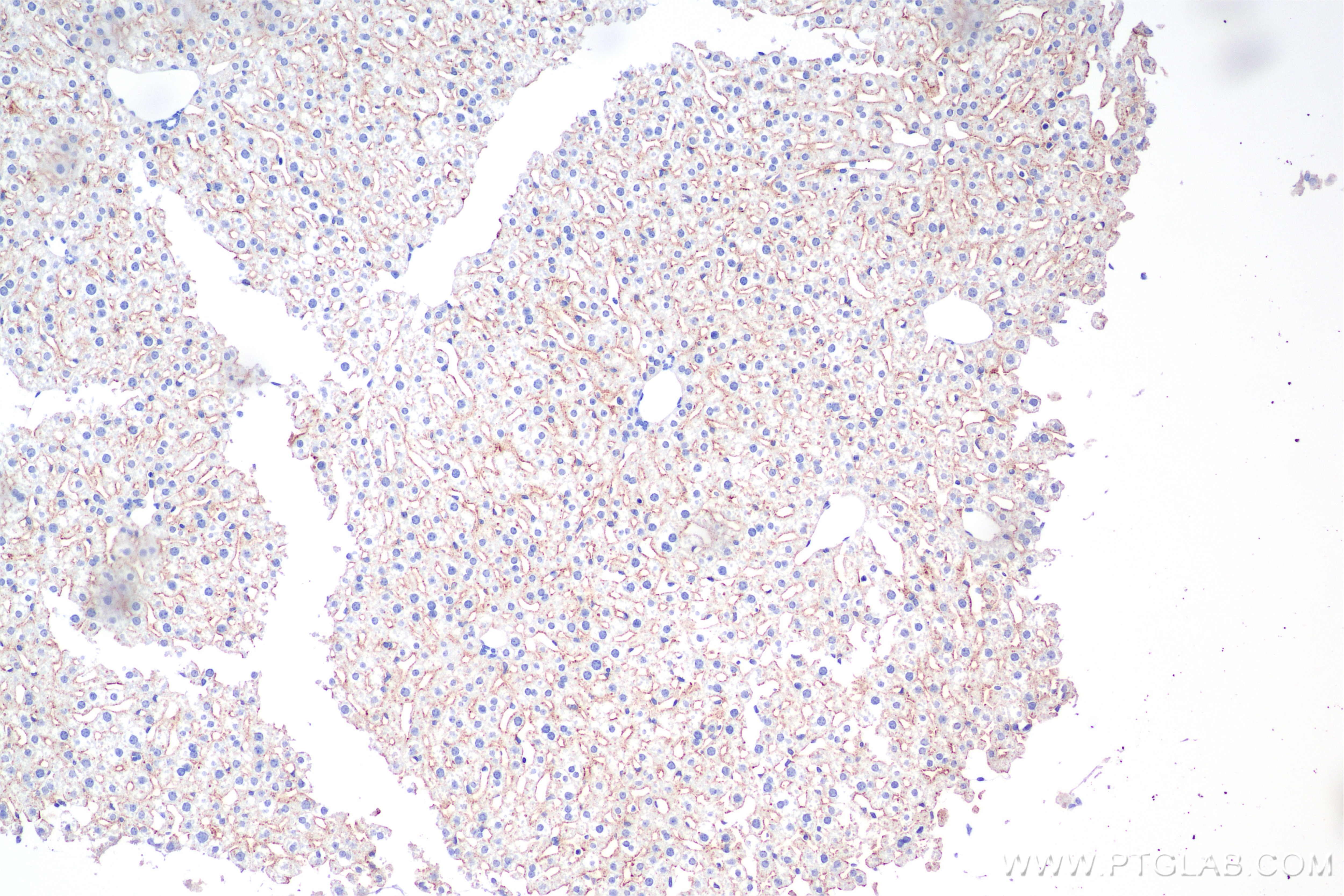
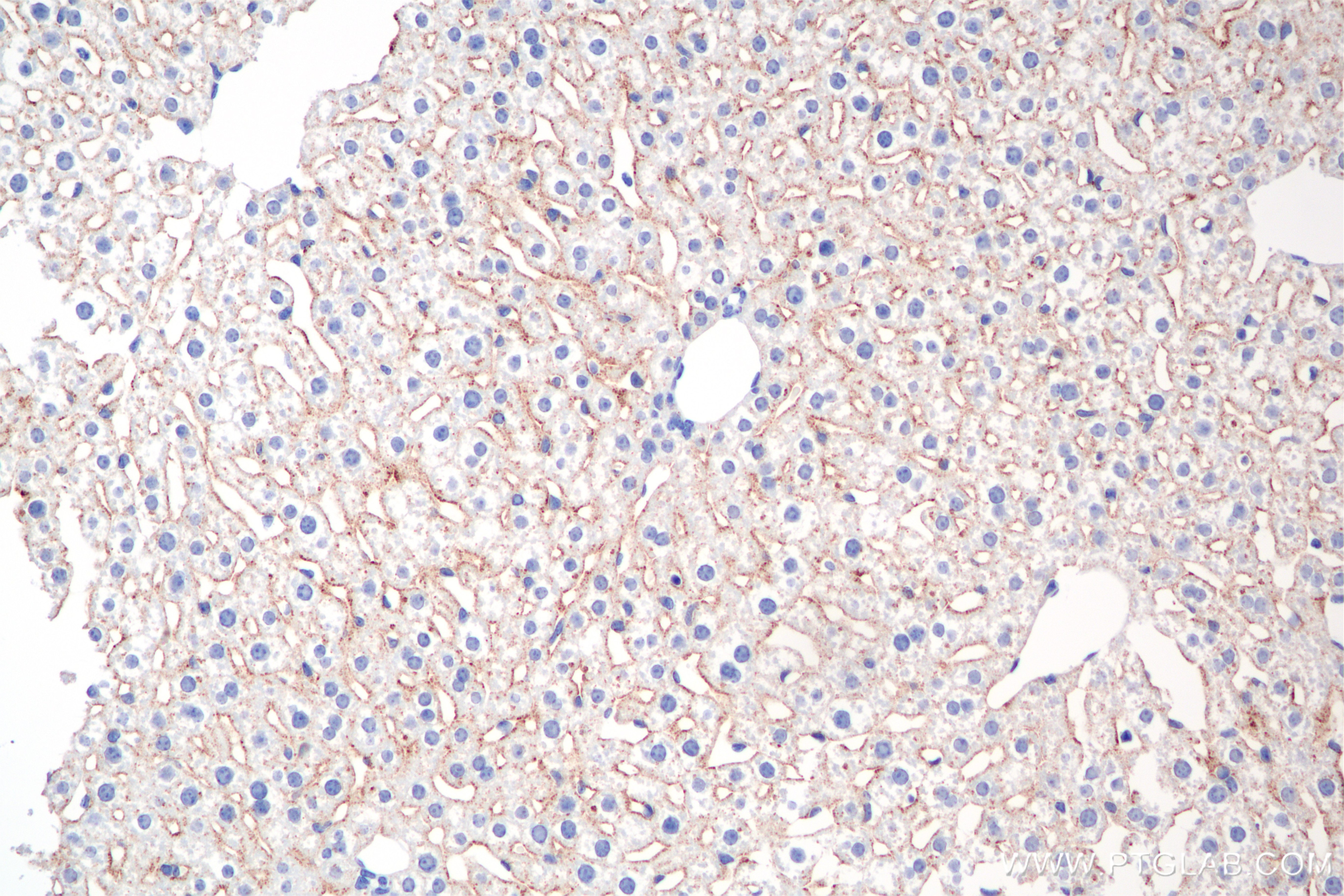
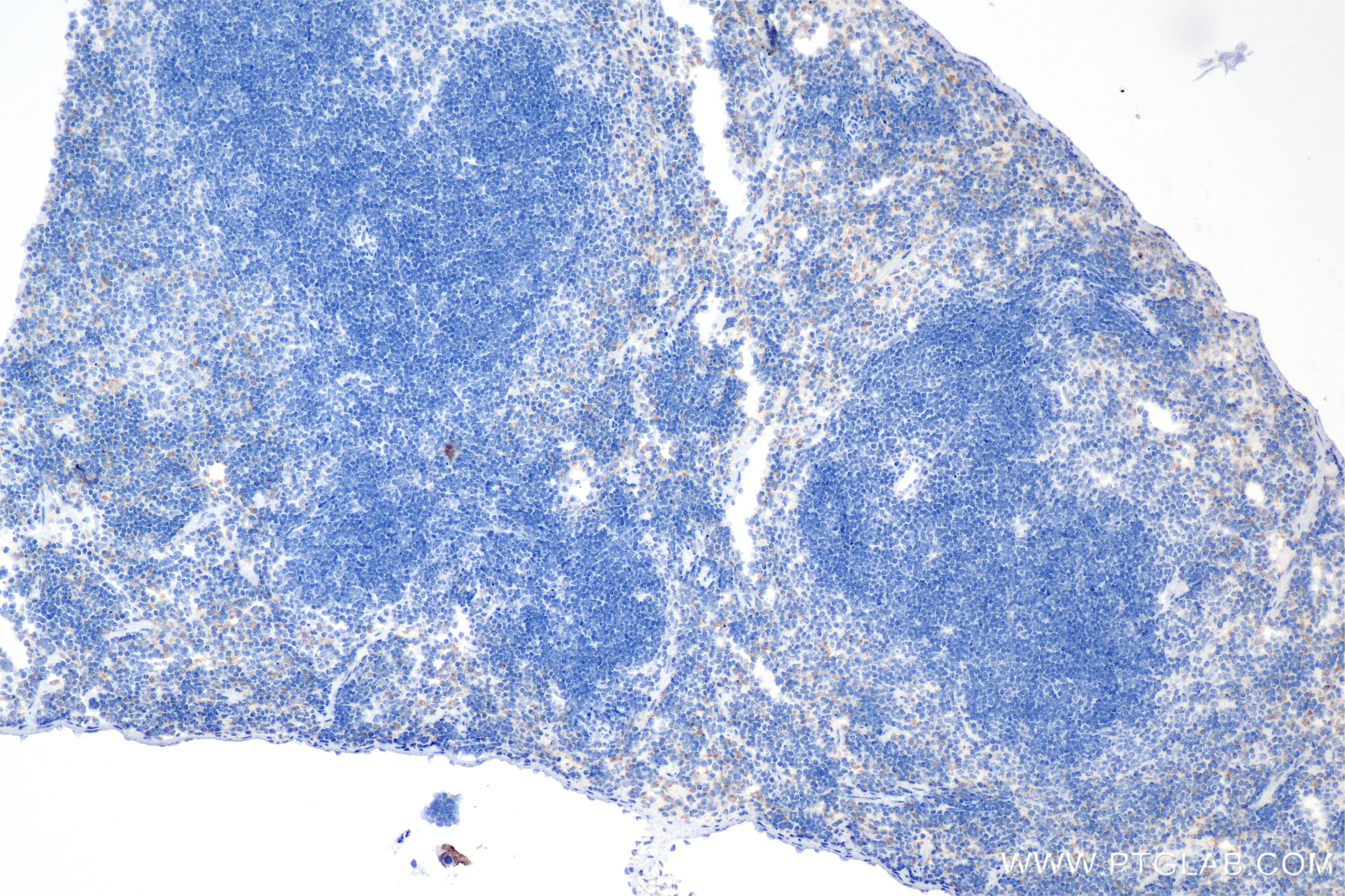
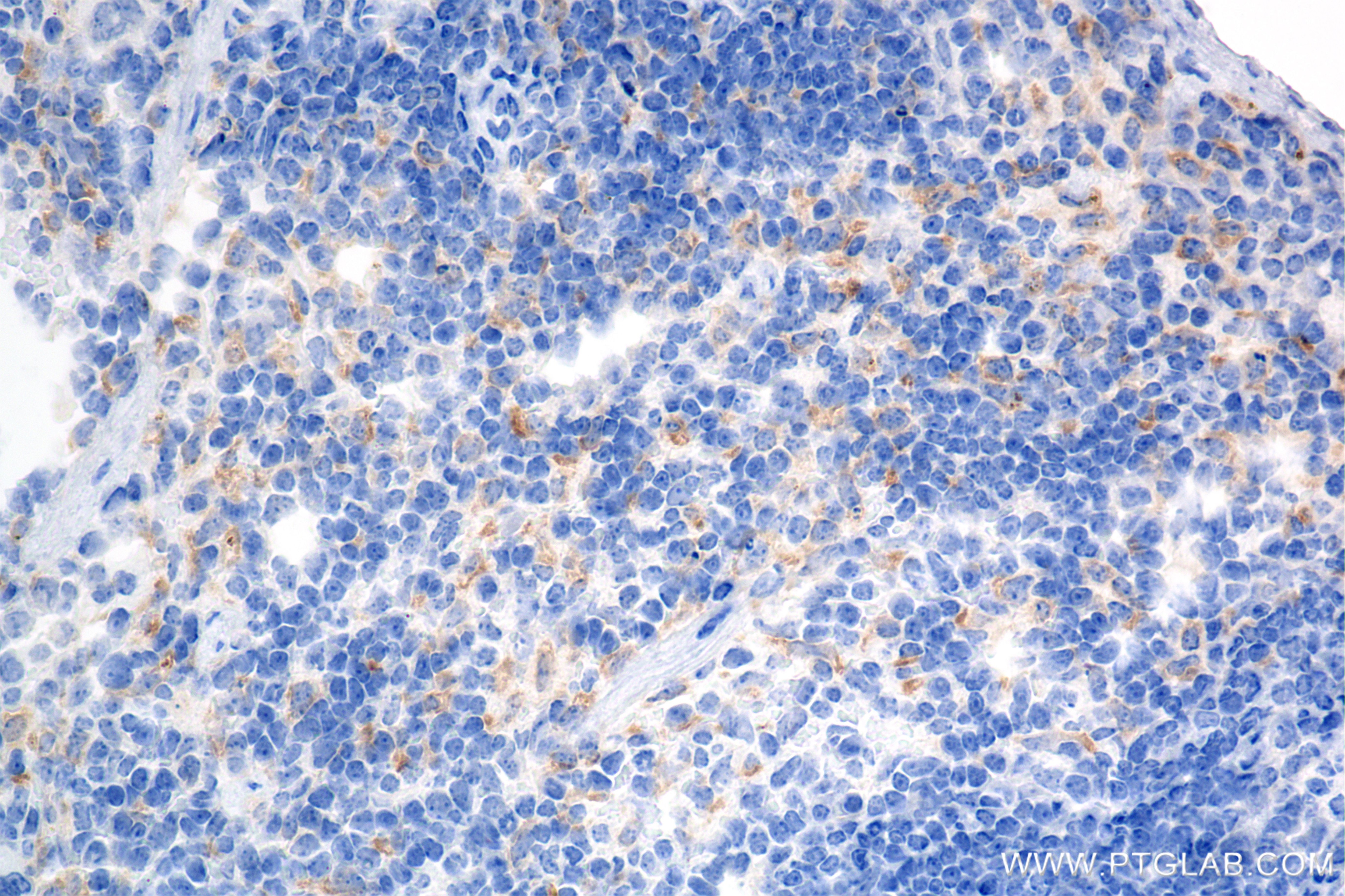
| Positive IHC detected in | mouse liver tissue, mouse spleen tissue Note: suggested antigen retrieval with TE buffer pH 9.0; (*) Alternatively, antigen retrieval may be performed with citrate buffer pH 6.0 |
Recommended dilution
| Application | Dilution |
|---|---|
| Western Blot (WB) | WB : 1:500-1:2000 |
| Immunohistochemistry (IHC) | IHC : 1:50-1:500 |
| It is recommended that this reagent should be titrated in each testing system to obtain optimal results. | |
| Sample-dependent, Check data in validation data gallery. | |
Product Information
85813-5-RR targets CD302 in WB, IHC, ELISA applications and shows reactivity with mouse, rat samples.
| Tested Reactivity | mouse, rat |
| Host / Isotype | Rabbit / IgG |
| Class | Recombinant |
| Type | Antibody |
| Immunogen |
CatNo: Eg2660 Product name: Recombinant Mouse CD302 protein (rFc Tag) (HPLC verified) Source: mammalian cells-derived, V37 Tag: C-rFc Domain: 21-156 aa of NM_025422.4 Sequence: DCPSSTWVQFQGSCYAFLQVTINVENIEDVRKQCTDHGADMVSIHNEEENAFILDTLQKRWKGPDDLLLGMFYDTDDATFKWYDHSNMTFDKWADQDGEDLVDTCGFLYTKTGEWRKGDCEISSVEGTLCKAANNH Predict reactive species |
| Full Name | CD302 antigen |
| Calculated Molecular Weight | 24 kDa |
| Observed Molecular Weight | 32 kDa |
| GenBank Accession Number | NM_025422.4 |
| Gene Symbol | Cd302 |
| Gene ID (NCBI) | 66205 |
| Conjugate | Unconjugated |
| Form | Liquid |
| Purification Method | Protein A purification |
| UNIPROT ID | Q9DCG2-2 |
| Storage Buffer | PBS with 0.02% sodium azide and 50% glycerol, pH 7.3. |
| Storage Conditions | Store at -20°C. Stable for one year after shipment. Aliquoting is unnecessary for -20oC storage. 20ul sizes contain 0.1% BSA. |
Background Information
CD302 is a C-type lectin receptor involved in cell adhesion and migration, as well as endocytosis and phagocytosis. In mice and humans, CD302 is primarily expressed in the liver, lungs, lymph nodes (LNs), spleen, and bone marrow. In CD302 gene knockout (CD302KO) mice, the migration frequency and number of myeloid dendritic cells (mDC) in CD302KO lymph nodes were reduced compared to the wild type, confirming the functional role of CD302 in mDC migration.
Protocols
| Product Specific Protocols | |
|---|---|
| IHC protocol for CD302 antibody 85813-5-RR | Download protocol |
| WB protocol for CD302 antibody 85813-5-RR | Download protocol |
| Standard Protocols | |
|---|---|
| Click here to view our Standard Protocols |











