Tested Applications
| Positive WB detected in | mouse thymus tissue, MJ cells, rat thymus tissue, mouse spleen tissue, rat spleen tissue |
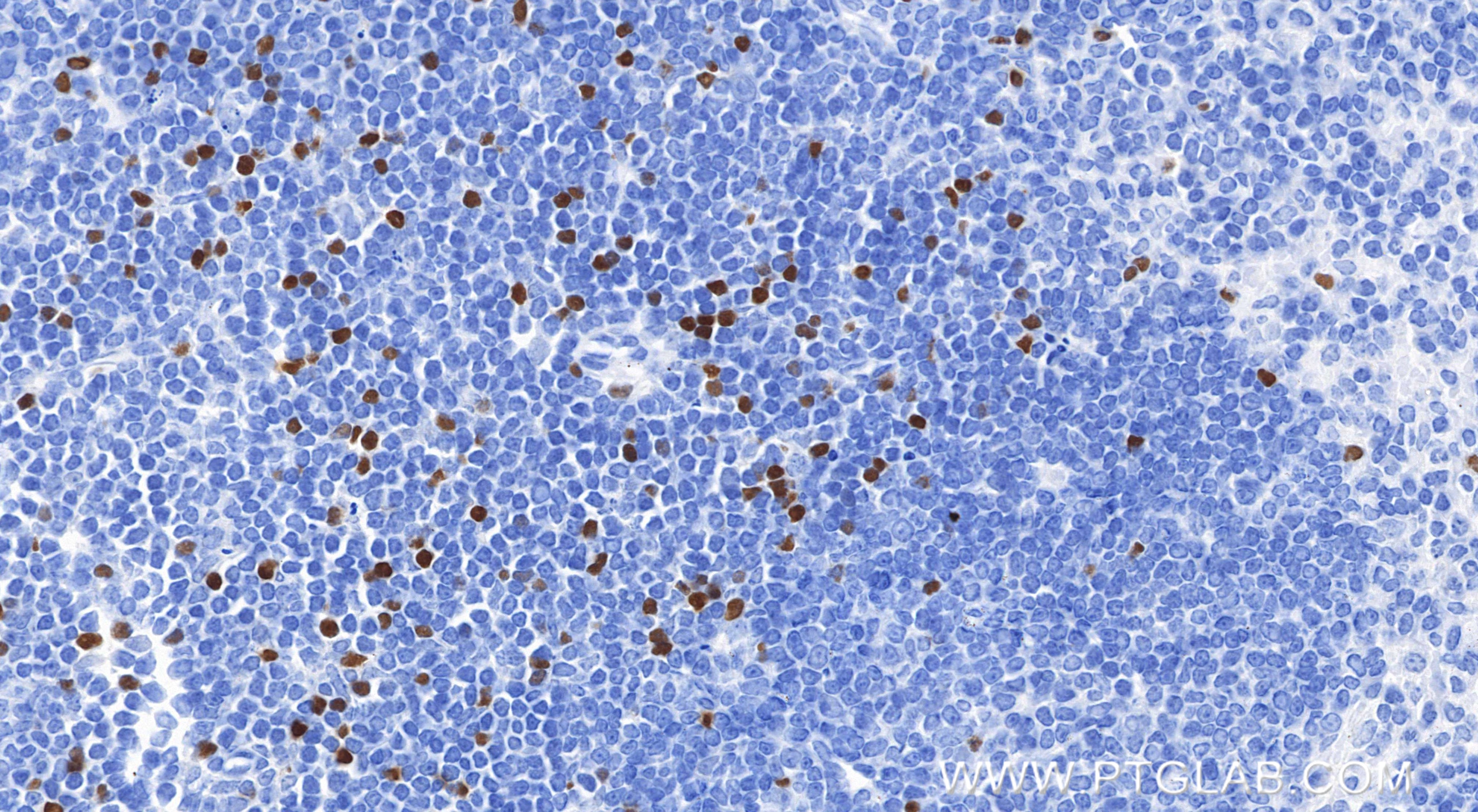
| Positive IHC detected in | mouse spleen tissue, human tonsillitis tissue Note: suggested antigen retrieval with TE buffer pH 9.0; (*) Alternatively, antigen retrieval may be performed with citrate buffer pH 6.0 |
| Positive IF-P detected in | mouse spleen tissue |
Recommended dilution
| Application | Dilution |
|---|---|
| Western Blot (WB) | WB : 1:2000-1:10000 |
| Immunohistochemistry (IHC) | IHC : 1:500-1:2000 |
| Immunofluorescence (IF)-P | IF-P : 1:500-1:2000 |
| It is recommended that this reagent should be titrated in each testing system to obtain optimal results. | |
| Sample-dependent, Check data in validation data gallery. | |
Product Information
85128-6-RR targets Foxp3 in WB, IHC, IF-P, ELISA applications and shows reactivity with human, mouse, rat samples.
| Tested Reactivity | human, mouse, rat |
| Host / Isotype | Rabbit / IgG |
| Class | Recombinant |
| Type | Antibody |
| Immunogen |
CatNo: Eg4360 Product name: Recombinant Mouse Foxp3 protein (rFc Tag) Source: mammalian cells-derived, pHZ-KIsec-C-6*HIS Tag: C-6*HIS Sequence: YPLLANGVCKWPGCEKVFEEPEEFLKHCQADHLLDEKGKAQCLLQREVVQSLEQQLELEKEKLGAMQAHLAGKMALAKAPS Predict reactive species |
| Full Name | forkhead box P3 |
| Observed Molecular Weight | 45 kDa |
| Gene Symbol | Foxp3 |
| Gene ID (NCBI) | 20371 |
| Conjugate | Unconjugated |
| Form | Liquid |
| Purification Method | Protein A purification |
| UNIPROT ID | Q99JB6 |
| Storage Buffer | PBS with 0.02% sodium azide and 50% glycerol, pH 7.3. |
| Storage Conditions | Store at -20°C. Stable for one year after shipment. Aliquoting is unnecessary for -20oC storage. 20ul sizes contain 0.1% BSA. |
Background Information
FOXP3, also named as IPEX, JM2 and Scurfin, is a transcription factor. FOXP3 plays a critical role in the control of immune response. Defects in FOXP3 are the cause of immunodeficiency polyendocrinopathy, enteropathy, X-linked syndrome (IPEX) which also known as X-linked autoimmunity-immunodeficiency syndrome.
Protocols
| Product Specific Protocols | |
|---|---|
| IF protocol for Foxp3 antibody 85128-6-RR | Download protocol |
| IHC protocol for Foxp3 antibody 85128-6-RR | Download protocol |
| WB protocol for Foxp3 antibody 85128-6-RR | Download protocol |
| Standard Protocols | |
|---|---|
| Click here to view our Standard Protocols |

















