Tested Applications
| Positive WB detected in | HL-60 cells, HeLa cells, HepG2 cells, Jurkat cells |
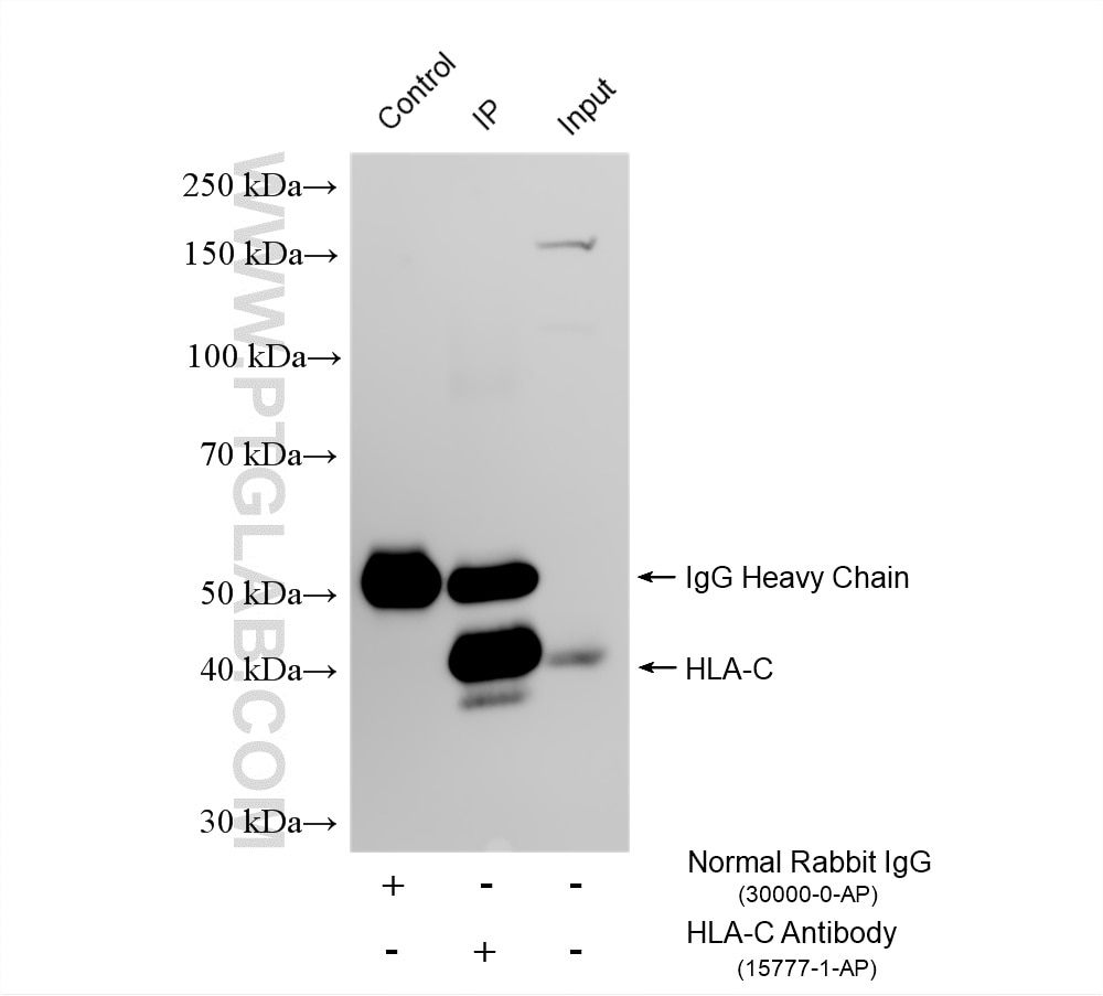
| Positive IP detected in | HepG2 cells |
| Positive IHC detected in | human tonsillitis tissue Note: suggested antigen retrieval with TE buffer pH 9.0; (*) Alternatively, antigen retrieval may be performed with citrate buffer pH 6.0 |
| Positive IF/ICC detected in | HeLa cells |
Recommended dilution
| Application | Dilution |
|---|---|
| Western Blot (WB) | WB : 1:2000-1:16000 |
| Immunoprecipitation (IP) | IP : 0.5-4.0 ug for 1.0-3.0 mg of total protein lysate |
| Immunohistochemistry (IHC) | IHC : 1:400-1:1600 |
| Immunofluorescence (IF)/ICC | IF/ICC : 1:250-1:1000 |
| It is recommended that this reagent should be titrated in each testing system to obtain optimal results. | |
| Sample-dependent, Check data in validation data gallery. | |
Published Applications
| WB | See 2 publications below |
| IHC | See 1 publications below |
| IF | See 1 publications below |
Product Information
15777-1-AP targets HLA class I (HLA-C) in WB, IHC, IF/ICC, IP, ELISA, Cell treatment applications and shows reactivity with human samples.
| Tested Reactivity | human |
| Cited Reactivity | human, mouse |
| Host / Isotype | Rabbit / IgG |
| Class | Polyclonal |
| Type | Antibody |
| Immunogen |
CatNo: Ag8461 Product name: Recombinant human HLA class I (HLA-C) protein Source: e coli.-derived, PGEX-4T Tag: GST Domain: 27-305 aa of BC007814 Sequence: SMRYFDTAVSRPGRGEPRFISVGYVDDTQFVRFDSDAASPRGEPRAPWVEQEGPEYWDRETQKYKRQAQADRVSLRNLRGYYNQSEDGSHTLQRMSGCDLGPDGRLLRGYDQSAYDGKDYIALNEDLRSWTAADTAAQITQRKLEAARAAEQLRAYLEGTCVEWLRRYLENGKETLQRAEPPKTHVTHHPLSDHEATLRCWALGFYPAEITLTWQRDGEDQTQDTELVETRPAGDGTFQKWAAVVVPSGQEQRYTCHMQHEGLQEPLTLSWEPSSQPTI Predict reactive species |
| Full Name | major histocompatibility complex, class I, C |
| Calculated Molecular Weight | 366 aa, 41 kDa |
| Observed Molecular Weight | 44 kDa |
| GenBank Accession Number | BC007814 |
| Gene Symbol | HLA class I (HLA-C) |
| Gene ID (NCBI) | 3107 |
| RRID | AB_1639892 |
| Conjugate | Unconjugated |
| Form | Liquid |
| Purification Method | Antigen affinity purification |
| UNIPROT ID | P10321 |
| Storage Buffer | PBS with 0.02% sodium azide and 50% glycerol, pH 7.3. |
| Storage Conditions | Store at -20°C. Stable for one year after shipment. Aliquoting is unnecessary for -20oC storage. 20ul sizes contain 0.1% BSA. |
Background Information
Human major histocompatibility complex (MHC) antigens, also referred to as human leukocyte antigens (HLA), are encoded by genes located on the short arm of chromosome 6 (6p21.3). There are two classes of HLA antigens: class I (HLA-A, B and C) and class II (HLA-D). This class I molecules are polymorphic membrane glycoproteins composed of a heavy (alpha) chain (44 kDa) which is encoded by a HLA class I gene (HLA-A, B or C), and β2-microglobulin light (beta) chain (12 kDa). They are involved in the presentation of foreign antigens to the immune system. This polyclonal antibody raised against human HLA-C can also react with HLA-A and HLA-B. (PMID: 667938; 3375250)
Protocols
| Product Specific Protocols | |
|---|---|
| IF protocol for HLA class I (HLA-C) antibody 15777-1-AP | Download protocol |
| IHC protocol for HLA class I (HLA-C) antibody 15777-1-AP | Download protocol |
| IP protocol for HLA class I (HLA-C) antibody 15777-1-AP | Download protocol |
| WB protocol for HLA class I (HLA-C) antibody 15777-1-AP | Download protocol |
| Standard Protocols | |
|---|---|
| Click here to view our Standard Protocols |
Publications
| Species | Application | Title |
|---|---|---|
Front Pharmacol Proteomics study the potential targets for Rifampicin-resistant spinal tuberculosis | ||
Nat Commun Neoantigen enriched biomimetic nanovaccine for personalized cancer immunotherapy | ||
J Matern Fetal Neonatal Med HLA-C promotes proliferation and cell cycle progression in trophoblast cells | ||
Neuroscience HLA is a potent immunoinflammatory target in asymptomatic Alzheimer's disease | ||











