Tested Applications
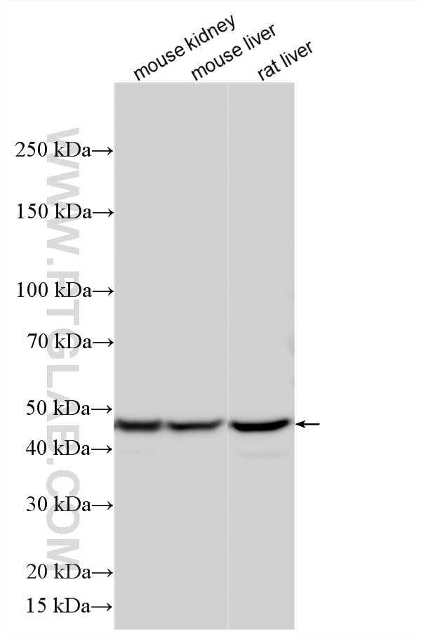
| Positive WB detected in | mouse kidney tissue, HepG2 cells, mouse liver tissue, rat liver tissue |
| Positive IHC detected in | human liver cancer tissue Note: suggested antigen retrieval with TE buffer pH 9.0; (*) Alternatively, antigen retrieval may be performed with citrate buffer pH 6.0 |
Recommended dilution
| Application | Dilution |
|---|---|
| Western Blot (WB) | WB : 1:2000-1:10000 |
| Immunohistochemistry (IHC) | IHC : 1:50-1:500 |
| It is recommended that this reagent should be titrated in each testing system to obtain optimal results. | |
| Sample-dependent, Check data in validation data gallery. | |
Published Applications
| WB | See 3 publications below |
| IHC | See 1 publications below |
Product Information
16347-1-AP targets PAH in WB, IHC, ELISA applications and shows reactivity with human, mouse, rat samples.
| Tested Reactivity | human, mouse, rat |
| Cited Reactivity | human, mouse |
| Host / Isotype | Rabbit / IgG |
| Class | Polyclonal |
| Type | Antibody |
| Immunogen |
CatNo: Ag9541 Product name: Recombinant human PAH protein Source: e coli.-derived, PGEX-4T Tag: GST Domain: 177-452 aa of BC026251 Sequence: VEYMEEGKKTWGTVFKTLKSLYKTHACYEYNHIFPLLEKYCGFHEDNIPQLEDVSQFLQTCTGFRLRPVAGLLSSRDFLGGLAFRVFHCTQYIRHGSKPMYTPEPDICHELLGHVPLFSDRSFAQFSQEIGLASLGAPDEYIEKLATIYWFTVEFGLCKQGDSIKAYGAGLLSSFGELQYCLSEKPKLLPLELEKTAIQNYTVTEFQPLYYVAESFNDAKEKVRNFAATIPRPFSVRYDPYTQRIEVLDNTQQLKILADSINSEIGILCSALQKIK Predict reactive species |
| Full Name | phenylalanine hydroxylase |
| Calculated Molecular Weight | 452 aa, 52 kDa |
| Observed Molecular Weight | 45-52 kDa |
| GenBank Accession Number | BC026251 |
| Gene Symbol | PAH |
| Gene ID (NCBI) | 5053 |
| RRID | AB_2878247 |
| Conjugate | Unconjugated |
| Form | Liquid |
| Purification Method | Antigen affinity purification |
| UNIPROT ID | P00439 |
| Storage Buffer | PBS with 0.02% sodium azide and 50% glycerol, pH 7.3. |
| Storage Conditions | Store at -20°C. Stable for one year after shipment. Aliquoting is unnecessary for -20oC storage. 20ul sizes contain 0.1% BSA. |
Background Information
PAH, also known as PH, belongs to the aromatic amino acid hydroxylase (AAAH) enzyme family. PAH catalyzes the conversion of L-phenylalanine (L-Phe) to L-tyrosine (L-Tyr) by para-hydroxylation of the aromatic side chain. PAH is primarily present in the liver, where removal of excess L-Phe prevents the neurotoxic effect of hyperphenylalaninemia (HPA). (PMID: 23457044)
Protocols
| Product Specific Protocols | |
|---|---|
| IHC protocol for PAH antibody 16347-1-AP | Download protocol |
| WB protocol for PAH antibody 16347-1-AP | Download protocol |
| Standard Protocols | |
|---|---|
| Click here to view our Standard Protocols |
Publications
| Species | Application | Title |
|---|---|---|
Pharmacol Res Medioresinol as a novel PGC-1α activator prevents pyroptosis of endothelial cells in ischemic stroke through PPARα-GOT1 axis. | ||
Life Sci Alliance A phosphoproteomic approach reveals that PKD3 controls PKA-mediated glucose and tyrosine metabolism. | ||
Arthritis Res Ther Investigation of ferroptosis-associated molecular subtypes and immunological characteristics in lupus nephritis based on artificial neural network learning | ||
Adv Sci (Weinh) A Metabolic Reprogramming Amino Acid Polymer as an Immunosurveillance Activator and Leukemia Targeting Drug Carrier for T‐Cell Acute Lymphoblastic Leukemia |
Reviews
The reviews below have been submitted by verified Proteintech customers who received an incentive for providing their feedback.
FH Angel (Verified Customer) (11-27-2020) | This antibody detects PAH in liver tissue
![]() |








