Tested Applications
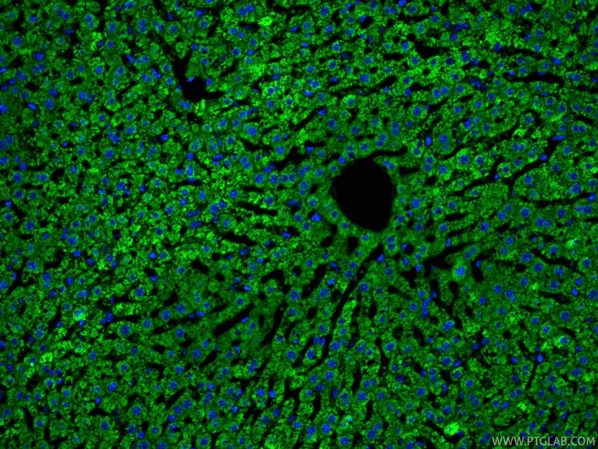
| Positive IF-P detected in | mouse liver tissue |
Recommended dilution
| Application | Dilution |
|---|---|
| Immunofluorescence (IF)-P | IF-P : 1:50-1:500 |
| It is recommended that this reagent should be titrated in each testing system to obtain optimal results. | |
| Sample-dependent, Check data in validation data gallery. | |
Product Information
CL488-85288-2 targets ATP7B-Specific in IF-P applications and shows reactivity with human, mouse, rat samples.
| Tested Reactivity | human, mouse, rat |
| Host / Isotype | Rabbit / IgG |
| Class | Recombinant |
| Type | Antibody |
| Immunogen |
Peptide Predict reactive species |
| Full Name | ATPase, Cu++ transporting, beta polypeptide |
| Calculated Molecular Weight | 157 kDa |
| Observed Molecular Weight | 150 kDa |
| GenBank Accession Number | NM_000053 |
| Gene Symbol | ATP7B |
| Gene ID (NCBI) | 540 |
| RRID | AB_3747747 |
| Conjugate | CoraLite® Plus 488 Fluorescent Dye |
| Excitation/Emission Maxima Wavelengths | 493 nm / 522 nm |
| Excitation Laser | Blue laser (488 nm) |
| Form | Liquid |
| Purification Method | Protein A purification |
| UNIPROT ID | P35670 |
| Storage Buffer | PBS with 50% glycerol, 0.05% Proclin300, 0.5% BSA, pH 7.3. |
| Storage Conditions | Store at -20°C. Avoid exposure to light. Stable for one year after shipment. Aliquoting is unnecessary for -20oC storage. |
Background Information
ATP7B, also named as PWD, WC1 and WND, belongs to the cation transport ATPase (P-type) family and Type IB subfamily. ATP7B is involved in the export of copper out of the cells, such as the efflux of hepatic copper into the bile. ATP7B catalyzes the reaction: ATP + H2O + Cu2+(In) = ADP + phosphate + Cu2+(Out). Defects in ATP7B are the cause of Wilson disease (WD). This antibody is specific to ATP7B.
Protocols
| Product Specific Protocols | |
|---|---|
| IF protocol for CL Plus 488 ATP7B-Specific antibody CL488-85288-2 | Download protocol |
| Standard Protocols | |
|---|---|
| Click here to view our Standard Protocols |



