Product Information
84819-5-PBS targets Aggrecan as part of a matched antibody pair:
MP01577-3: 84819-5-PBS capture and 84819-6-PBS detection (validated in Sandwich ELISA)
Unconjugated rabbit recombinant monoclonal antibody in PBS only (BSA and azide free) storage buffer at a concentration of 1 mg/mL, ready for conjugation. Created using Proteintech’s proprietary in-house recombinant technology. Recombinant production enables unrivalled batch-to-batch consistency, easy scale-up, and future security of supply.
This conjugation ready format makes antibodies ideal for use in many applications including: ELISAs, multiplex assays requiring matched pairs, mass cytometry, and multiplex imaging applications.Antibody use should be optimized by the end user for each application and assay.
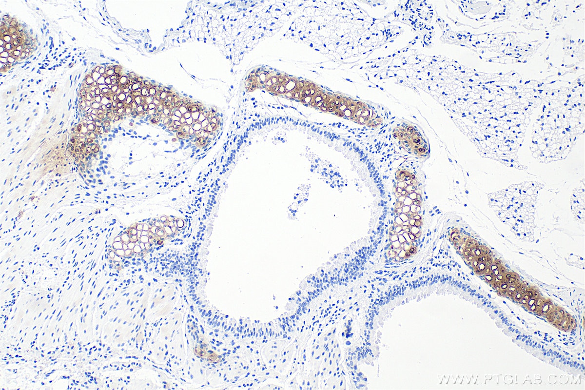
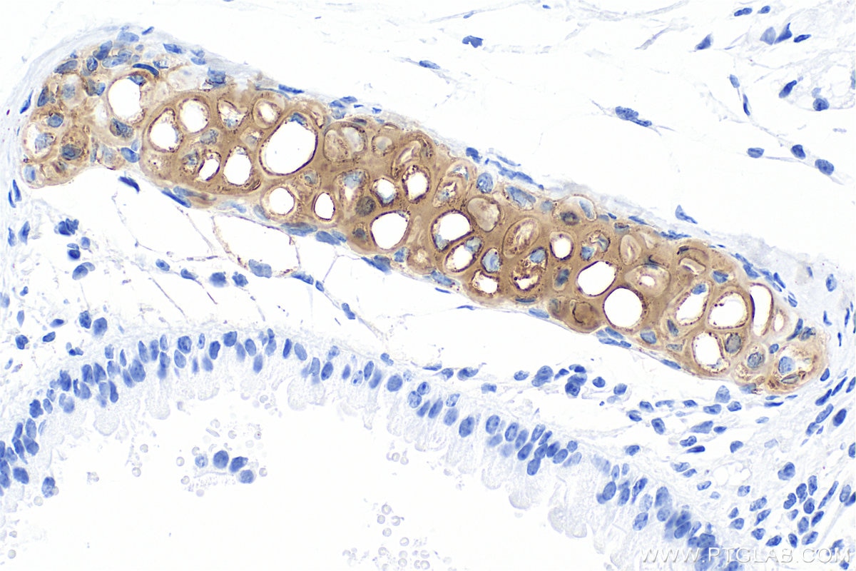
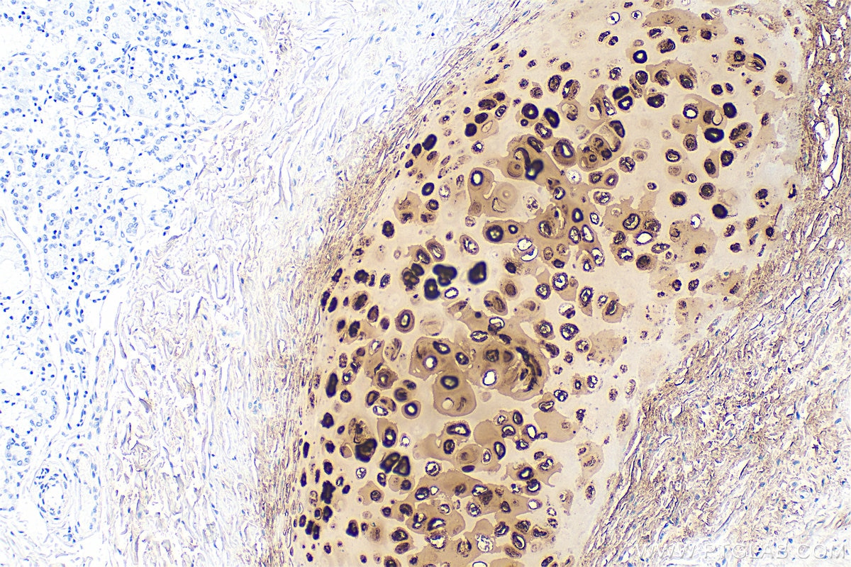
| Tested Reactivity | human, mouse, rat |
| Host / Isotype | Rabbit / IgG |
| Class | Recombinant |
| Type | Antibody |
| Immunogen |
CatNo: Eg2994 Product name: Recombinant Human ACAN protein (rFc Tag) Source: mammalian cells-derived, V37 Tag: C-rFc Domain: 20-675 aa of NM_013227.4 Sequence: VETSDHDNSLSVSIPQPSPLRVLLGTSLTIPCYFIDPMHPVTTAPSTAPLAPRIKWSRVSKEKEVVLLVATEGRVRVNSAYQDKVSLPNYPAIPSDATLEVQSLRSNDSGVYRCEVMHGIEDSEATLEVVVKGIVFHYRAISTRYTLDFDRAQRACLQNSAIIATPEQLQAAYEDGFHQCDAGWLADQTVRYPIHTPREGCYGDKDEFPGVRTYGIRDTNETYDVYCFAEEMEGEVFYATSPEKFTFQEAANECRRLGARLATTGQLYLAWQAGMDMCSAGWLADRSVRYPISKARPNCGGNLLGVRTVYVHANQTGYPDPSSRYDAICYTGEDFVDIPENFFGVGGEEDITVQTVTWPDMELPLPRNITEGEARGSVILTVKPIFEVSPSPLEPEEPFTFAPEIGATAFAEVENETGEATRPWGFPTPGLGPATAFTSEDLVVQVTAVPGQPHLPGGVVFHYRPGPTRYSLTFEEAQQACLRTGAVIASPEQLQAAYEAGYEQCDAGWLRDQTVRYPIVSPRTPCVGDKDSSPGVRTYGVRPSTETYDVYCFVDRLEGEVFFATRLEQFTFQEALEFCESHNATLATTGQLYAAWSRGLDKCYAGWLADGSLRYPIVTPRPACGGDKPGVRTVYLYPNQTGLPDPLSRHHAFCFR Predict reactive species |
| Full Name | aggrecan |
| Calculated Molecular Weight | 261 kDa |
| Observed Molecular Weight | 140-150 kDa |
| GenBank Accession Number | NM_013227.4 |
| Gene Symbol | ACAN |
| Gene ID (NCBI) | 176 |
| Conjugate | Unconjugated |
| Form | Liquid |
| Purification Method | Protein A purification |
| UNIPROT ID | P16112-1 |
| Storage Buffer | PBS only, pH 7.3. |
| Storage Conditions | Store at -80°C. |
Background Information
Aggrecan (ACAN), also named as CSPCP, AGC1 and MSK16, belongs to the aggrecan/versican proteoglycan family (also including versican, brevican and neurocan). It is a major component of extracellular matrix of cartilaginous tissues. A major function of aggrecan is to resist compression in cartilage. It binds avidly to hyaluronic acid via an N-terminal globular region.















