Tested Applications
| Positive WB detected in | HepG2 cells, human plasma |
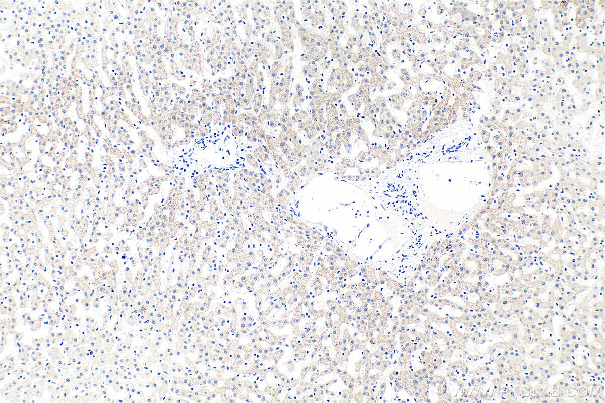
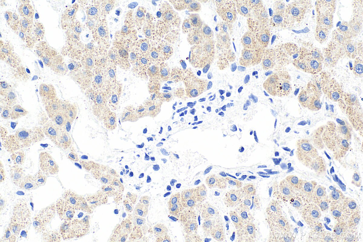
| Positive IHC detected in | human liver tissue Note: suggested antigen retrieval with TE buffer pH 9.0; (*) Alternatively, antigen retrieval may be performed with citrate buffer pH 6.0 |
| Positive IF/ICC detected in | HepG2 cells |
Recommended dilution
| Application | Dilution |
|---|---|
| Western Blot (WB) | WB : 1:5000-1:50000 |
| Immunohistochemistry (IHC) | IHC : 1:250-1:1000 |
| Immunofluorescence (IF)/ICC | IF/ICC : 1:250-1:1000 |
| It is recommended that this reagent should be titrated in each testing system to obtain optimal results. | |
| Sample-dependent, Check data in validation data gallery. | |
Product Information
RMX00082 targets Angiotensinogen/AGT in WB, IHC, IF/ICC, ELISA applications and shows reactivity with human samples.
| Tested Reactivity | human |
| Host / Isotype | Rabbit / IgG |
| Class | Multi-Recombinant |
| Type | Antibody |
| Immunogen |
FusionProtein Predict reactive species |
| Full Name | angiotensinogen (serpin peptidase inhibitor, clade A, member 8) |
| Calculated Molecular Weight | 485 aa, 53 kDa |
| Observed Molecular Weight | 53 kDa |
| GenBank Accession Number | BC011519 |
| Gene Symbol | AGT |
| Gene ID (NCBI) | 183 |
| Conjugate | Unconjugated |
| Form | Liquid |
| Purification Method | N/A |
| UNIPROT ID | P01019 |
| Storage Buffer | PBS with 0.02% sodium azide and 50% glycerol. |
| Storage Conditions | Store at -20°C. Stable for one year after shipment. Aliquoting is unnecessary for -20oC storage. 20ul sizes contain 0.1% BSA. |
Background Information
Angiotensinogen is a precursor of angiotensin II (Ang II), is expressed and synthesized largely in the liver and is cleaved by the enzyme renin in response to lowered blood pressure. It has a key role in mediating vascular constriction and regulating salt and fluid homeostasis. The resulting product, angiotensin I, is then cleaved by angiotensin converting enzyme (ACE) to generate the physiologically active enzyme angiotensin II. Mutations in this gene are associated with susceptibility to essential hypertension, and can cause renal tubular dysgenesis, a severe disorder of renal tubular development. Defects in this gene also have been associated with non-familial structural atrial fibrillation, and inflammatory bowel disease.
Protocols
| Product Specific Protocols | |
|---|---|
| IF protocol for Angiotensinogen/AGT antibody RMX00082 | Download protocol |
| IHC protocol for Angiotensinogen/AGT antibody RMX00082 | Download protocol |
| WB protocol for Angiotensinogen/AGT antibody RMX00082 | Download protocol |
| Standard Protocols | |
|---|---|
| Click here to view our Standard Protocols |







