Tested Applications
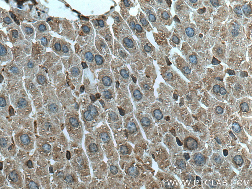
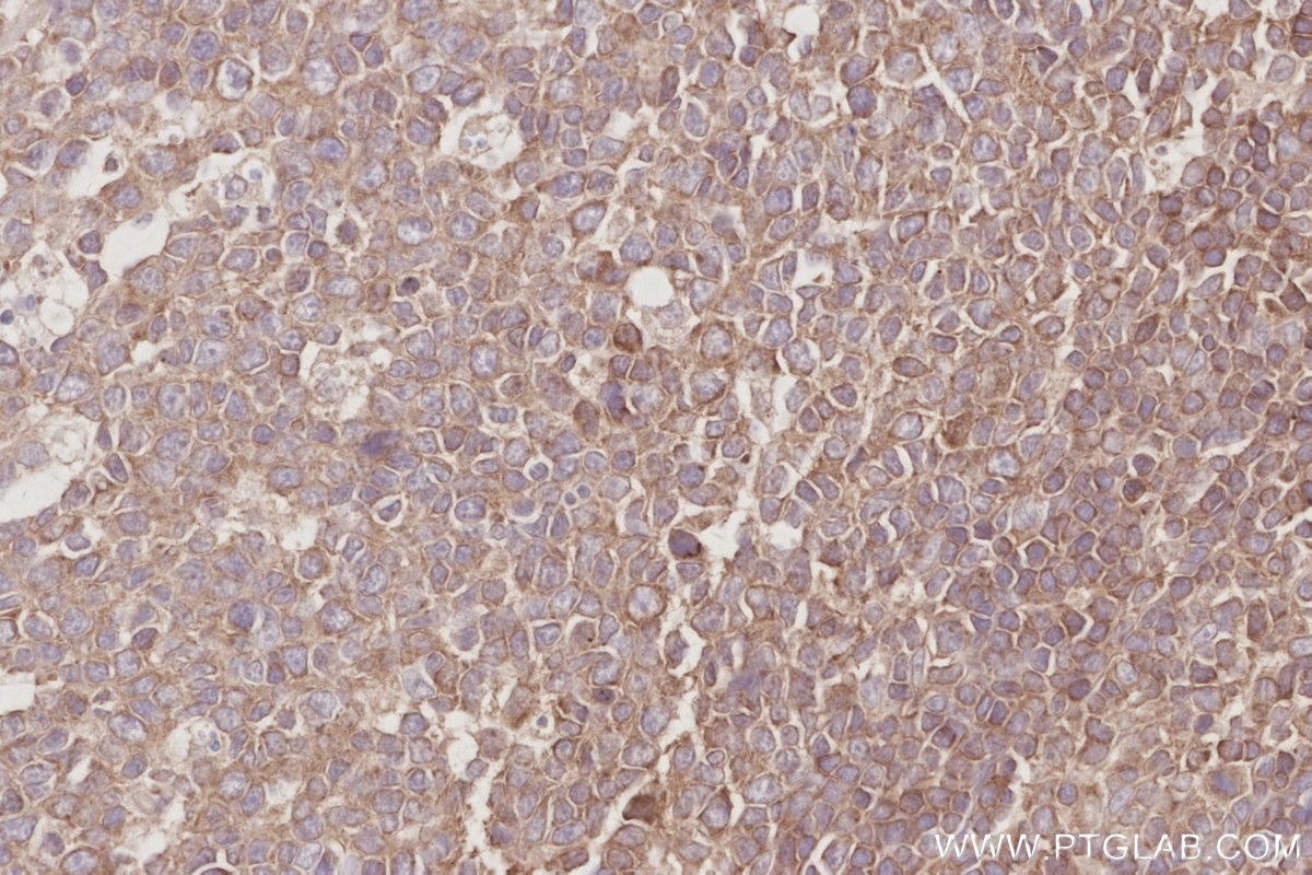
| Positive IHC detected in | mouse liver tissue, human cervical cancer tissue, human pancreas tissue, human tonsillitis tissue, rat liver tissue Note: suggested antigen retrieval with TE buffer pH 9.0; (*) Alternatively, antigen retrieval may be performed with citrate buffer pH 6.0 |
| Positive IF/ICC detected in | HepG2 cells |
Recommended dilution
| Application | Dilution |
|---|---|
| Immunohistochemistry (IHC) | IHC : 1:20-1:1000 |
| Immunofluorescence (IF)/ICC | IF/ICC : 1:10-1:100 |
| It is recommended that this reagent should be titrated in each testing system to obtain optimal results. | |
| Sample-dependent, Check data in validation data gallery. | |
Published Applications
| IF | See 4 publications below |
Product Information
20496-1-AP targets CEPT1 in IHC, IF/ICC, ELISA applications and shows reactivity with human, mouse, rat samples.
| Tested Reactivity | human, mouse, rat |
| Cited Reactivity | human |
| Host / Isotype | Rabbit / IgG |
| Class | Polyclonal |
| Type | Antibody |
| Immunogen |
CatNo: Ag14140 Product name: Recombinant human CEPT1 protein Source: e coli.-derived, PGEX-4T Tag: GST Domain: 1-91 aa of BC032610 Sequence: MSGHRSTRKRCGDSHPESPVGFGHMSTTGCVLNKLFQLPTPPLSRHQLKRLEEHRYQSAGRSLLEPLMQGYWEWLVRRVPSWIAPNLITII Predict reactive species |
| Full Name | choline/ethanolamine phosphotransferase 1 |
| Calculated Molecular Weight | 416 aa, 47 kDa |
| GenBank Accession Number | BC032610 |
| Gene Symbol | CEPT1 |
| Gene ID (NCBI) | 10390 |
| RRID | AB_10694283 |
| Conjugate | Unconjugated |
| Form | Liquid |
| Purification Method | Antigen affinity purification |
| UNIPROT ID | Q9Y6K0 |
| Storage Buffer | PBS with 0.02% sodium azide and 50% glycerol, pH 7.3. |
| Storage Conditions | Store at -20°C. Stable for one year after shipment. Aliquoting is unnecessary for -20oC storage. 20ul sizes contain 0.1% BSA. |
Background Information
Choline-enthanolamine phosphotransferase 1 (CEPT1) is a 47-kDa membrane-bound protein that catalyzes the terminal step of the Kennedy pathway. CEPT1 is encoded by the Cept1 gene and is responsible for phosphatidylcholine (PC) and phosphatidylethanolamine (PE) production (PMID: 33214136, 30030520).
Protocols
| Product Specific Protocols | |
|---|---|
| IF protocol for CEPT1 antibody 20496-1-AP | Download protocol |
| IHC protocol for CEPT1 antibody 20496-1-AP | Download protocol |
| Standard Protocols | |
|---|---|
| Click here to view our Standard Protocols |
Publications
| Species | Application | Title |
|---|---|---|
Protein Cell Proteomic analysis of ferroptosis pathways reveals a role of CEPT1 in suppressing ferroptosis | ||
Cell Res DNA damage triggers tubular endoplasmic reticulum extension to promote apoptosis by facilitating ER-mitochondria signaling. | ||
J Lipid Res Diabetes Adversely Affects Phospholipid Profiles in Human Carotid Artery Endarterectomy Plaques. | ||
J Pharm Anal Disorder of phospholipid metabolism in the renal cortex and medulla contributes to acute tubular necrosis in mice after cantharidin exposure using integrative lipidomics and spatial metabolomics | ||
Hepatol Commun Dysregulation of lipid metabolism in the pseudolobule promotes region-specific autophagy in hepatitis B liver cirrhosis | ||
J Hazard Mater YTHDC2 mediated RNA m6A modification contributes to PM2.5-induced hepatic steatosis |

















