• Featured Product
  • KD/KO Validated

CTAGE5 Polyclonal antibody

CTAGE5 Polyclonal Antibody for WB, IHC, ELISA

Cat No. 55279-1-AP

Host / Isotype

Rabbit / IgG

Reactivity

human

Applications

WB, IHC, ELISA

cTAGE family member 5, CTAGE family member 5 ER export factor, CTAGE family, member 5, Cutaneous T-cell lymphoma-associated antigen 5, MEA11

Formulation:  PBS, Azide, Glycerol
PBS, Azide, Glycerol
Conjugate:  Unconjugated
Unconjugated
Size/Concentration: 

-/ -

Freight/Packing: -

Quantity

Please visit your regions distributor:


Tested Applications

Positive WB detected inHEK-293T cells, HepG2 cells, human brain tissue, PC-3 cells, human testis tissue
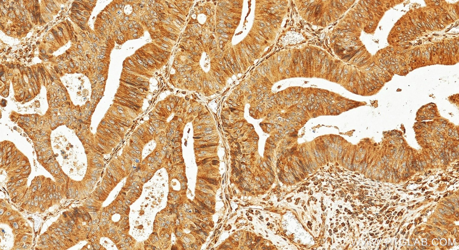
Positive IHC detected inhuman prostate cancer tissue, human colon cancer tissue
Note: suggested antigen retrieval with TE buffer pH 9.0; (*) Alternatively, antigen retrieval may be performed with citrate buffer pH 6.0

Recommended dilution

ApplicationDilution
Western Blot (WB)WB : 1:1000-1:5000
Immunohistochemistry (IHC)IHC : 1:50-1:500
It is recommended that this reagent should be titrated in each testing system to obtain optimal results.
Sample-dependent, Check data in validation data gallery.

Product Information

55279-1-AP targets CTAGE5 in WB, IHC, ELISA applications and shows reactivity with human samples.

Tested Reactivity human
Host / Isotype Rabbit / IgG
Class Polyclonal
Type Antibody
Immunogen

Peptide

Predict reactive species
Full Name CTAGE family, member 5
Calculated Molecular Weight 92 kDa
Observed Molecular Weight 100-110 kDa
GenBank Accession NumberNM_005930
Gene Symbol CTAGE5
Gene ID (NCBI) 4253
RRIDAB_11183044
Conjugate Unconjugated
FormLiquid
Purification MethodAntigen affinity purification
UNIPROT IDQ96PC5
Storage Buffer PBS with 0.02% sodium azide and 50% glycerol, pH 7.3.
Storage ConditionsStore at -20°C. Stable for one year after shipment. Aliquoting is unnecessary for -20oC storage. 20ul sizes contain 0.1% BSA.

Background Information

Cutaneous T cell lymphoma-associated antigen 5 (CTAGE5) is a member of the cTAGE family. CTAGE5 is a tumor-associated antigen and is overexpressed in various cancer cell lines. CTAGE5 consists of a signal anchor motif, a single transmembrane domain, two coiled-coil motifs, and a proline-rich domain (PRD) from the N-terminus. CTAGE5 interacts with TANGO1 through its second coil region to form a cargo receptor complex (PMID: 21525241). This antibody is specific to CTAGE5. It can recognize all the isoforms except isoform 5B.

Protocols

Product Specific Protocols
IHC protocol for CTAGE5 antibody 55279-1-APDownload protocol
WB protocol for CTAGE5 antibody 55279-1-APDownload protocol
Standard Protocols
Click here to view our Standard Protocols
Loading...
||
New chat

Able

正在加载,请稍候...