Tested Applications
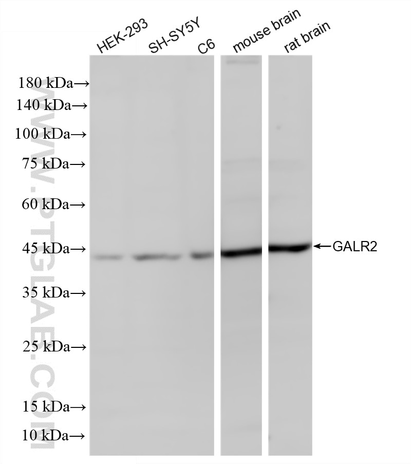
| Positive WB detected in | HEK-293 cells, SH-SY5Y cells, C6 cells, mouse brain tissue, rat brain tissue |
Recommended dilution
| Application | Dilution |
|---|---|
| Western Blot (WB) | WB : 1:1000-1:4000 |
| It is recommended that this reagent should be titrated in each testing system to obtain optimal results. | |
| Sample-dependent, Check data in validation data gallery. | |
Product Information
87015-1-RR targets GALR2 in WB, ELISA applications and shows reactivity with human, mouse, rat samples.
| Tested Reactivity | human, mouse, rat |
| Host / Isotype | Rabbit / IgG |
| Class | Recombinant |
| Type | Antibody |
| Immunogen |
CatNo: Ag24154 Product name: Recombinant human GALR2 protein Source: e coli.-derived, PGEX-4T Tag: GST Domain: 287-387 aa of BC074915 Sequence: VNPIVYALVSKHFRKGFRTICAGLLGRAPGRASGRVCAAARGTHSGSVLERESSDLLHMSEAAGALRPCPGASQPCILEPCPGPSWQGPKAGDSILTVDVA Predict reactive species |
| Full Name | galanin receptor 2 |
| Calculated Molecular Weight | 387 aa, 42 kDa |
| Observed Molecular Weight | 42 kDa |
| GenBank Accession Number | BC074915 |
| Gene Symbol | GALR2 |
| Gene ID (NCBI) | 8811 |
| Conjugate | Unconjugated |
| Form | Liquid |
| Purification Method | Protein A purification |
| UNIPROT ID | O43603 |
| Storage Buffer | PBS with 0.02% sodium azide and 50% glycerol, pH 7.3. |
| Storage Conditions | Store at -20°C. Stable for one year after shipment. Aliquoting is unnecessary for -20oC storage. 20ul sizes contain 0.1% BSA. |
Background Information
Galanin receptor type 2 (GALR2) is a receptor for galanin, GALP, and the hormone SPX1 (PMID:24517231). It is an important neuromodulator present in the brain, gastrointestinal system, and hypothalamo-pituitary axis. Activation of the GALR2 may protect the hippocampus from neuronal damage (PMID: 17263796). It is a 30-amino acid non-C-terminally amidated peptide that potently stimulates growth hormone secretion, inhibits cardiac vagal slowing of heart rate, abolishes sinus arrhythmia, and inhibits postprandial gastrointestinal motility. The activity of this receptor is mediated by G proteins that activate the phospholipase C/protein kinase C pathway (via G(q)) and that inhibits adenylyl cyclase. GALR2 has a calculated molecular weight of 42 kDa.
Protocols
| Product Specific Protocols | |
|---|---|
| WB protocol for GALR2 antibody 87015-1-RR | Download protocol |
| Standard Protocols | |
|---|---|
| Click here to view our Standard Protocols |



