Tested Applications
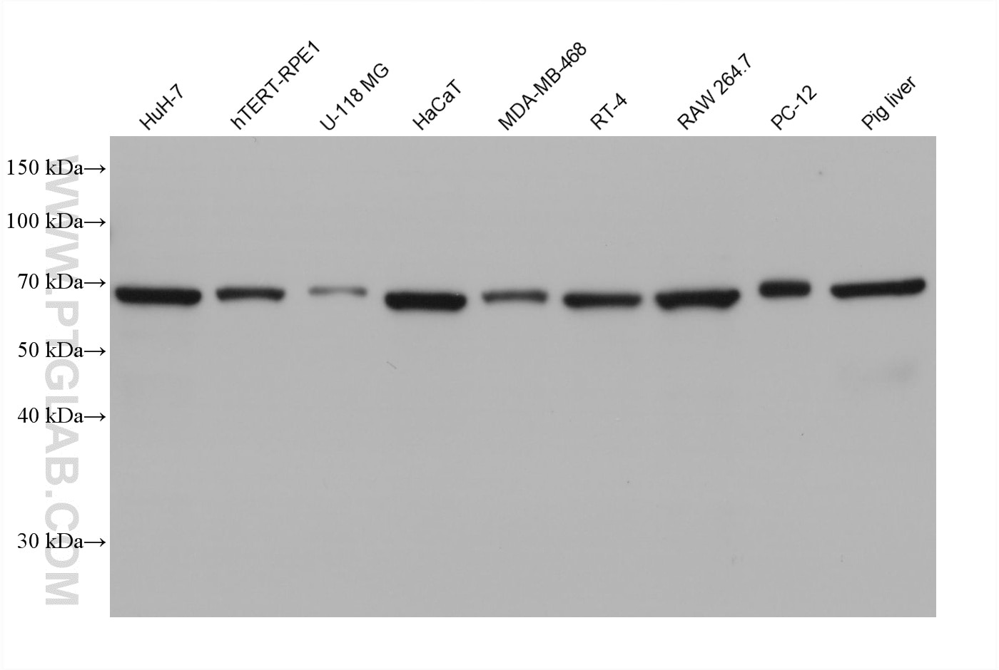
| Positive WB detected in | HuH-7 cells, HT-1080 cells, SK-BR-3 cells, HeLa cells, A375 cells, U-251 cells, THP-1 cells, RAW 264.7 cells, PC-12 cells, hTERT-RPE1 cells, U-118 MG cells, MDA-MB-468 cells, RT-4 cells, pig liver tissue, U-937 cells |
| Positive IF/ICC detected in | HeLa cells |
Recommended dilution
| Application | Dilution |
|---|---|
| Western Blot (WB) | WB : 1:5000-1:50000 |
| Immunofluorescence (IF)/ICC | IF/ICC : 1:125-1:500 |
| It is recommended that this reagent should be titrated in each testing system to obtain optimal results. | |
| Sample-dependent, Check data in validation data gallery. | |
Published Applications
| KD/KO | See 1 publications below |
| WB | See 10 publications below |
| IHC | See 9 publications below |
| IF | See 9 publications below |
Product Information
66926-1-Ig targets GPNMB in WB, IHC, IF/ICC, ELISA applications and shows reactivity with human, mouse, rat, pig samples.
| Tested Reactivity | human, mouse, rat, pig |
| Cited Reactivity | human, mouse, rat |
| Host / Isotype | Mouse / IgG1 |
| Class | Monoclonal |
| Type | Antibody |
| Immunogen |
CatNo: Ag26747 Product name: Recombinant human GPNMB protein Source: e coli.-derived, PET28a Tag: 6*His Domain: 38-158 aa of BC011595 Sequence: MREHNQLNGWSSDENDWNEKLYPVWKRGDMRWKNSWKGGRVQAVLTSDSPALVGSNITFAVNLIFPRCQKEDANGNIVYEKNCRNEAGLSADPYVYNWTAWSEDSDGENGTGQSHHNVFPD Predict reactive species |
| Full Name | glycoprotein (transmembrane) nmb |
| Calculated Molecular Weight | 64 kDa |
| Observed Molecular Weight | 64-70 kDa |
| GenBank Accession Number | BC011595 |
| Gene Symbol | GPNMB |
| Gene ID (NCBI) | 10457 |
| RRID | AB_2882253 |
| Conjugate | Unconjugated |
| Form | Liquid |
| Purification Method | Protein G purification |
| UNIPROT ID | Q14956 |
| Storage Buffer | PBS with 0.02% sodium azide and 50% glycerol, pH 7.3. |
| Storage Conditions | Store at -20°C. Stable for one year after shipment. Aliquoting is unnecessary for -20oC storage. 20ul sizes contain 0.1% BSA. |
Background Information
GPNMB also known as HGFIN, osteoactivin, and DC-HIL, is a type I membrane glycoprotein involved in various biological processes, including inflammation, invasion and metastasis of malignant tumors, cell differentiation, and tissue regeneration. GPNMB shows expression in the lowly metastatic human melanoma cell lines and xenografts but does not show expression in the highly metastatic cell lines. GPNMB acts as an osteogenic factor that stimulates osteoblast differentiation in vivo and in vitro.
Protocols
| Product Specific Protocols | |
|---|---|
| IF protocol for GPNMB antibody 66926-1-Ig | Download protocol |
| WB protocol for GPNMB antibody 66926-1-Ig | Download protocol |
| Standard Protocols | |
|---|---|
| Click here to view our Standard Protocols |
Publications
| Species | Application | Title |
|---|---|---|
Dev Cell The extracellular-matrix-remodeling capability exposes therapeutic vulnerability in a subset of renal cell carcinomas with tumor thrombi | ||
Int Immunopharmacol Lactic acid-induced M2-like macrophages facilitate tumor cell migration and invasion via the GPNMB/CD44 axis in oral squamous cell carcinoma | ||
PLoS Negl Trop Dis Mining host candidate regulators of schistosomiasis-induced liver fibrosis in response to artesunate therapy through transcriptomics approach | ||
medRxiv Plasticity of Human Microglia and Brain Perivascular Macrophages in Aging and Alzheimer's Disease | ||
Neurochem Res Single-cell RNA Sequencing Identifies a Novel Subtype of Microglia with High Cd74 Expression that Facilitates White Matter Inflammation During Chronic Cerebral Hypoperfusion | ||
Genome Med Spatial-reprogramming derived GPNMB(+) macrophages interact with COL6A3(+) fibroblasts to enhance vascular fibrosis in glioblastoma. |
Reviews
The reviews below have been submitted by verified Proteintech customers who received an incentive for providing their feedback.
FH Victor (Verified Customer) (06-16-2025) | Staining with the GPNMB antibody on myeloid cells using the recommended concentration for immunofluorescence is highly specific. The signal shows minimal background noise and appears very clear and distinct.
![]() |








