• Featured Product
  • KD/KO Validated

HNRNPK Polyclonal antibody

HNRNPK Polyclonal Antibody for WB, IHC, IF/ICC, FC (Intra), IP, ELISA

Cat No. 11426-1-AP

Host / Isotype

Rabbit / IgG

Reactivity

human, mouse, rat and More (3)

Applications

WB, IHC, IF/ICC, FC (Intra), IP, CoIP, chIP, RIP, ELISA

CSBP, FLJ41122, hnRNP K, HNRPK, Transformation up-regulated nuclear protein

Formulation:  PBS, Azide, Glycerol
PBS, Azide, Glycerol
Conjugate:  Unconjugated
Unconjugated
CoraLite® Plus 488
Size/Concentration: 

-/ -

Freight/Packing: -

Quantity

Please visit your regions distributor:


Tested Applications

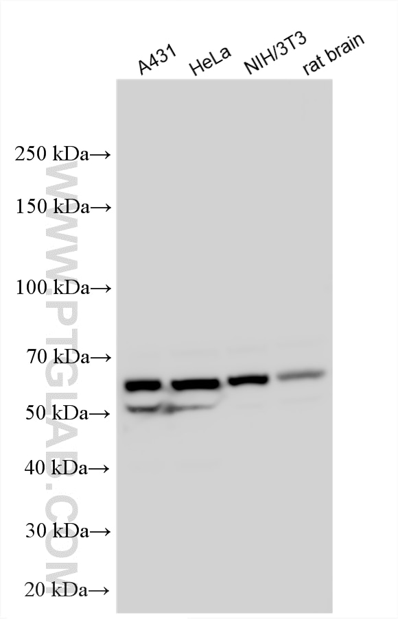
Positive WB detected inA431 cells, MCF-7 cells, HeLa cells, NIH/3T3 cells, rat brain tissue
Positive IP detected inHeLa cells
Positive IHC detected inhuman breast cancer tissue, mouse brain tissue
Note: suggested antigen retrieval with TE buffer pH 9.0; (*) Alternatively, antigen retrieval may be performed with citrate buffer pH 6.0
Positive IF/ICC detected inHeLa cells
Positive FC (Intra) detected inHepG2 cells

Recommended dilution

ApplicationDilution
Western Blot (WB)WB : 1:5000-1:50000
Immunoprecipitation (IP)IP : 0.5-4.0 ug for 1.0-3.0 mg of total protein lysate
Immunohistochemistry (IHC)IHC : 1:50-1:500
Immunofluorescence (IF)/ICCIF/ICC : 1:50-1:500
Flow Cytometry (FC) (INTRA)FC (INTRA) : 0.40 ug per 10^6 cells in a 100 µl suspension
It is recommended that this reagent should be titrated in each testing system to obtain optimal results.
Sample-dependent, Check data in validation data gallery.

Product Information

11426-1-AP targets HNRNPK in WB, IHC, IF/ICC, FC (Intra), IP, CoIP, chIP, RIP, ELISA applications and shows reactivity with human, mouse, rat samples.

Tested Reactivity human, mouse, rat
Cited Reactivityhuman, mouse, rat, pig, chicken, deer
Host / Isotype Rabbit / IgG
Class Polyclonal
Type Antibody
Immunogen

CatNo: Ag1976

Product name: Recombinant human HNRNPK protein

Source: e coli.-derived, PGEX-4T

Tag: GST

Domain: 114-463 aa of BC014980

Sequence: LPSPTATSQLPLESDAVECLNYQHYKGSDFDCELRLLIHQSLAGGIIGVKGAKIKELRENTQTTIKLFQECCPHSTDRVVLIGGKPDRVVECIKIILDLISESPIKGRAQPYDPNFYDETYDYGGFTMMFDDRRGRPVGFPMRGRGGFDRMPPGRGGRPMPPSRRDYDDMSPRRGPPPPPPGRGGRGGSRARNLPLPPPPPPRGGDLMAYDRRGRPGDRYDGMVGFSADETWDSAIDTWSPSEWQMAYEPQGGSGYDYSYAGGRGSYGDLGGPIITTQVTIPKDLAGSIIGKGGQRIKQIRHESGASIKIDEPLEGSEDRIITITGTQDQIQNAQYLLQNSVKQYSGKFF

Predict reactive species
Full Name heterogeneous nuclear ribonucleoprotein K
Calculated Molecular Weight 463 aa, 51 kDa
Observed Molecular Weight 55-65 kDa
GenBank Accession NumberBC014980
Gene Symbol HNRNPK
Gene ID (NCBI) 3190
RRIDAB_2264314
Conjugate Unconjugated
FormLiquid
Purification MethodAntigen affinity purification
UNIPROT IDP61978
Storage Buffer PBS with 0.02% sodium azide and 50% glycerol, pH 7.3.
Storage ConditionsStore at -20°C. Stable for one year after shipment. Aliquoting is unnecessary for -20oC storage. 20ul sizes contain 0.1% BSA.

Background Information

HNRNPK belongs to the heterogeneous nuclear ribonucleoprotein family of 20 proteins that participate in a wide range of key cellular functions involving many of the pathways implicated, disrupted or dysregulated in tumor development and progression. It is also a conserved pre-mRNA-binding protein that is involved in multiple processes of gene expression, including chromatin remodeling, transcription, and mRNA splicing, translation, and stability.

Protocols

Product Specific Protocols
FC protocol for HNRNPK antibody 11426-1-APDownload protocol
IF protocol for HNRNPK antibody 11426-1-APDownload protocol
IHC protocol for HNRNPK antibody 11426-1-APDownload protocol
IP protocol for HNRNPK antibody 11426-1-APDownload protocol
WB protocol for HNRNPK antibody 11426-1-APDownload protocol
Standard Protocols
Click here to view our Standard Protocols

Publications

SpeciesApplicationTitle
mouseWB

Nature

METTL3 regulates heterochromatin in mouse embryonic stem cells.

Authors - Wenqi Xu
humanWB

Cell

In vivo structural characterization of the SARS-CoV-2 RNA genome identifies host proteins vulnerable to repurposed drugs.

Authors - Lei Sun
humanWB

Cell Metab

NEAT1 is essential for metabolic changes that promote breast cancer growth and metastasis.

Authors - Mi Kyung Park
WB

Nat Commun

Profiling PRMT methylome reveals roles of hnRNPA1 arginine methylation in RNA splicing and cell growth.

Authors - Wen-Juan Li
  • KD Validated

Nat Commun

PRC1 collaborates with SMCHD1 to fold the X-chromosome and spread Xist RNA between chromosome compartments.

Authors - Chen-Yu Wang

Nucleic Acids Res

Capturing RNA-protein interaction via CRUIS.

Authors - Ziheng Zhang

Reviews

The reviews below have been submitted by verified Proteintech customers who received an incentive for providing their feedback.


FH

DEBJIT (Verified Customer) (09-17-2020)

WB: 1:2000IP: 2ug/mg cell lysate

  • Applications: Western Blot, Immunoprecipitation
  • Cell Tissue Type: Endothelial cells
Loading...
||
New chat

Able

正在加载,请稍候...