Tested Applications
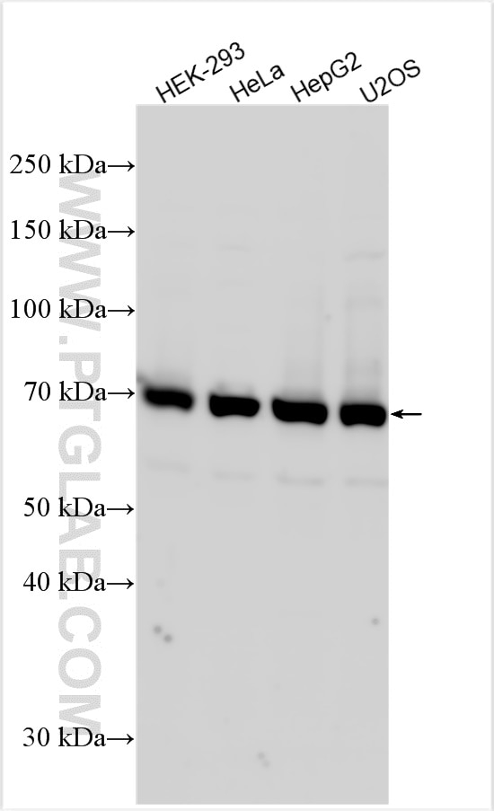
| Positive WB detected in | HepG2 cells, HeLa cells, HEK-293 cells, U2OS cells |
| Positive IF/ICC detected in | A431 cells, U-251 cells |
Recommended dilution
| Application | Dilution |
|---|---|
| Western Blot (WB) | WB : 1:1000-1:4000 |
| Immunofluorescence (IF)/ICC | IF/ICC : 1:200-1:800 |
| It is recommended that this reagent should be titrated in each testing system to obtain optimal results. | |
| Sample-dependent, Check data in validation data gallery. | |
Product Information
32111-1-AP targets LRRC45 in WB, IF/ICC, ELISA applications and shows reactivity with human samples.
| Tested Reactivity | human |
| Host / Isotype | Rabbit / IgG |
| Class | Polyclonal |
| Type | Antibody |
| Immunogen |
CatNo: Ag36776 Product name: Recombinant human LRRC45 protein Source: e coli.-derived, PGEX-4T Tag: GST Domain: 380-512 aa of BC014109 Sequence: ERKFRCQQEQLFQTRQEMTSMSAELKMRAIQAEERLDMEKRRCRQSLEDSESLRIKEVEHMTRHLEESEKAMQERVQRLEAARLSLEEELSRVKAAALSERGQAEEELIKAKSQARLEEQQRLAHLEDKLRLL Predict reactive species |
| Full Name | leucine rich repeat containing 45 |
| Calculated Molecular Weight | 76 kDa |
| Observed Molecular Weight | 70 kDa |
| GenBank Accession Number | BC014109 |
| Gene Symbol | LRRC45 |
| Gene ID (NCBI) | 201255 |
| RRID | AB_3670195 |
| Conjugate | Unconjugated |
| Form | Liquid |
| Purification Method | Antigen affinity Purification |
| UNIPROT ID | Q96CN5 |
| Storage Buffer | PBS with 0.02% sodium azide and 50% glycerol, pH 7.3. |
| Storage Conditions | Store at -20°C. Stable for one year after shipment. Aliquoting is unnecessary for -20oC storage. 20ul sizes contain 0.1% BSA. |
Background Information
The Leucine-Rich Repeat-Containing 45 (LRRC45) gene, a relatively unexplored entity in the realm of genomic studies, has recently garnered attention for its potential role in cellular processes and disease pathogenesis. Characterized by its leucine-rich repeats, a motif known for facilitating protein-protein interactions, LRRC45 is implicated in various cellular functions, including signal transduction and intracellular trafficking. LRRC45 promotes lung cancer proliferation and progression by enhancing c-MYC, Slug, MMP2, and MMP9 expression (PMID: 39326735).
Protocols
| Product Specific Protocols | |
|---|---|
| IF protocol for LRRC45 antibody 32111-1-AP | Download protocol |
| WB protocol for LRRC45 antibody 32111-1-AP | Download protocol |
| Standard Protocols | |
|---|---|
| Click here to view our Standard Protocols |





