RAB10 Recombinant monoclonal antibody, PBS Only

RAB10 Uni-rAb® Recombinant Antibody for WB, IF/ICC, Indirect ELISA
Cat No. 86787-1-PBS
Clone No.251744G12

Host / Isotype

Rabbit / IgG

Reactivity

human, mouse, rat

Applications

WB, IF/ICC, Indirect ELISA

EC:3.6.5.2, Ras related protein Rab 10, Ras-related protein Rab-10

Formulation:  PBS Only
Conjugate:  Unconjugated
Size/Concentration: 

-/ -

Freight/Packing: -

Quantity

Please visit your regions distributor:


Product Information

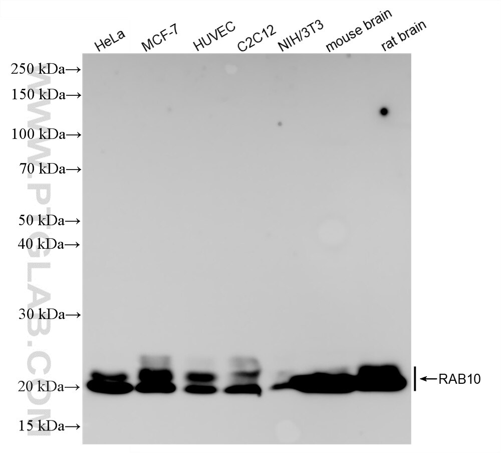
86787-1-PBS targets RAB10 in WB, IF/ICC, Indirect ELISA applications and shows reactivity with human, mouse, rat samples.

Tested Reactivity human, mouse, rat
Host / Isotype Rabbit / IgG
Class Recombinant
Type Antibody
Immunogen

CatNo: Ag25830

Product name: Recombinant human RAB10 protein

Source: e coli.-derived, PGEX-4T

Tag: GST

Domain: 130-200 aa of BC000896

Sequence: RVVPKGKGEQIAREHGIRFFETSAKANINIEKAFLTLAEDILRKTPVKEPNSENVDISSGGGVTGWKSKCC

Predict reactive species
Full Name RAB10, member RAS oncogene family
Calculated Molecular Weight 200 aa, 23 kDa
Observed Molecular Weight20-23 kDa
GenBank Accession NumberBC000896
Gene Symbol RAB10
Gene ID (NCBI) 10890
Conjugate Unconjugated
FormLiquid
Purification MethodProtein A purification
UNIPROT IDP61026
Storage Buffer PBS only, pH 7.3.
Storage ConditionsStore at -80°C.

Background Information

RAB10 is a member of the RAB family of small GTPases, which are key regulators of vesicular trafficking. RAB proteins are cyclically controlled, requiring a GDP-GTP exchange that is facilitated by RAB guanine nucleotide exchange factors. Rab10 plays essential functional roles in development: mice are embryonic lethal when both alleles are deleted. In addition, RAB10 plays a role in maintenance and regulation of endoplasmic reticulum (ER) morphology. RAB10 function has also been linked to neuronal morphology and polarization, playing a critical role in axonal development and dendrite arborization.

Loading...
||
New chat

Able

正在加载,请稍候...