Use Able AI chat for product recommendations

Multi-rAb® RAB7A Multi-Recombinant antibody

RAB7A Multi-Recombinant Antibody for WB, IHC, IF/ICC, IP, ELISA

Cat No. RMX00029

Host / Isotype

Rabbit / IgG

Reactivity

human, mouse, rat

Applications

WB, IHC, IF/ICC, IP, ELISA

RAB7, EC:3.6.5.2, Ras related protein Rab 7a, Ras-related protein Rab-7a

Formulation:  PBS, Azide, Glycerol
PBS, Azide, Glycerol
Conjugate:  Unconjugated
Unconjugated
Size/Concentration: 

-/ -

Freight/Packing: -

Quantity

Please visit your regions distributor:


Tested Applications

Positive WB detected inA431 cells, SH-SY5Y cells, mouse brain tissue, rat brain tissue
Positive IP detected inmouse brain tissue, SH-SY5Y cells
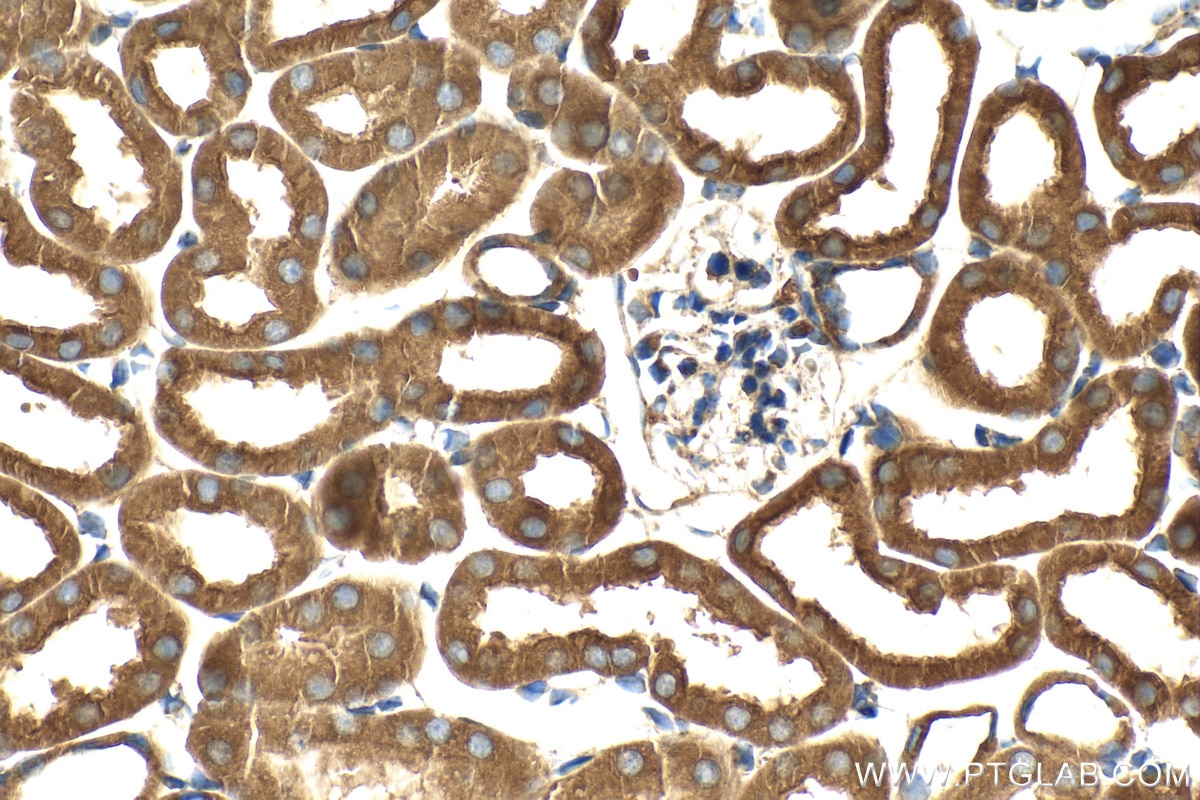
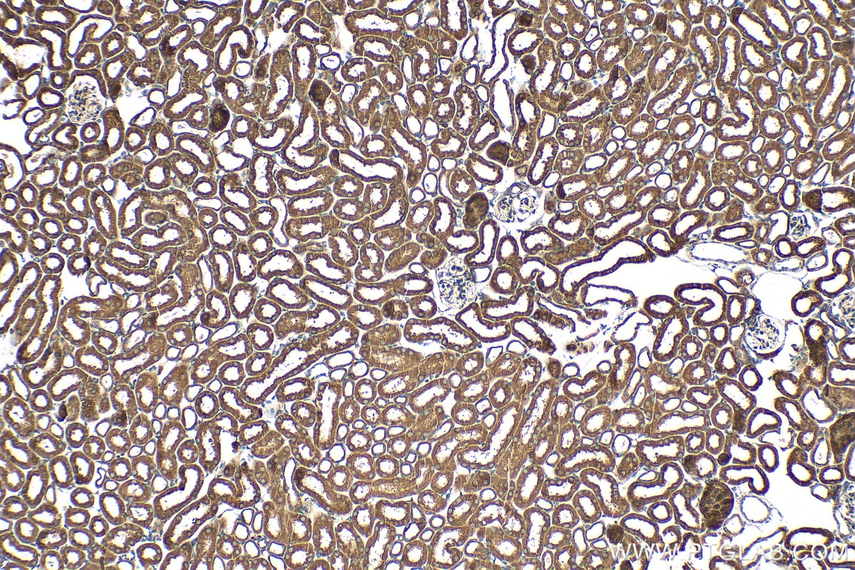
Positive IHC detected inmouse kidney tissue
Note: suggested antigen retrieval with TE buffer pH 9.0; (*) Alternatively, antigen retrieval may be performed with citrate buffer pH 6.0
Positive IF/ICC detected inHeLa cells

Recommended dilution

ApplicationDilution
Western Blot (WB)WB : 1:5000-1:50000
Immunoprecipitation (IP)IP : 0.5-4.0 ug for 1.0-3.0 mg of total protein lysate
Immunohistochemistry (IHC)IHC : 1:500-1:2000
Immunofluorescence (IF)/ICCIF/ICC : 1:200-1:800
It is recommended that this reagent should be titrated in each testing system to obtain optimal results.
Sample-dependent, Check data in validation data gallery.

Product Information

RMX00029 targets RAB7A in WB, IHC, IF/ICC, IP, ELISA applications and shows reactivity with human, mouse, rat samples.

Tested Reactivity human, mouse, rat
Host / Isotype Rabbit / IgG
Class Multi-Recombinant
Type Antibody
Immunogen

Peptide

Predict reactive species
Full Name RAB7A, member RAS oncogene family
Calculated Molecular Weight 23 kDa
Observed Molecular Weight 23 kDa
GenBank Accession NumberNM_004637
Gene Symbol RAB7A
Gene ID (NCBI) 7879
Conjugate Unconjugated
FormLiquid
Purification MethodN/A
UNIPROT IDP51149
Storage Buffer PBS with 0.02% sodium azide and 50% glycerol.
Storage ConditionsStore at -20°C. Stable for one year after shipment. Aliquoting is unnecessary for -20oC storage. 20ul sizes contain 0.1% BSA.

Background Information

RAB7A, also named as RAB7, belongs to the small GTPase superfamily and Rab family. It is involved in late endocytic transport. RAB7A contributes to the maturation of phagosomes (acidification). Defects in RAB7A are the cause of Charcot-Marie-Tooth disease type 2B (CMT2B). This antibody is specific to RAB7A.

Protocols

Product Specific Protocols
IF protocol for RAB7A antibody RMX00029Download protocol
IHC protocol for RAB7A antibody RMX00029Download protocol
IP protocol for RAB7A antibody RMX00029Download protocol
WB protocol for RAB7A antibody RMX00029Download protocol
Standard Protocols
Click here to view our Standard Protocols
Loading...
||
New chat

Able

正在加载,请稍候...