SEC62 Polyclonal antibody

SEC62 Polyclonal Antibody for WB, IHC, IF/ICC, ELISA

Cat No. 28693-1-AP

Host / Isotype

Rabbit / IgG

Reactivity

human

Applications

WB, IHC, IF/ICC, ELISA

Translocation protein SEC62, hTP-1, SEC 62, TP-1, Translocation protein 1

Formulation:  PBS, Azide, Glycerol
PBS, Azide, Glycerol
Conjugate:  Unconjugated
Unconjugated
Size/Concentration: 

-/ -

Freight/Packing: -

Quantity

Please visit your regions distributor:


Tested Applications

Positive WB detected inHEK-293T cells, HT-29 cells, SW480 cells
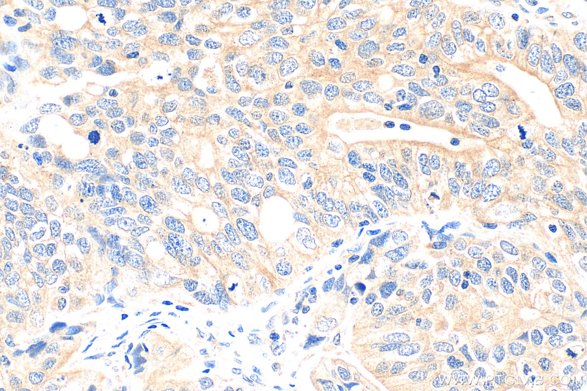
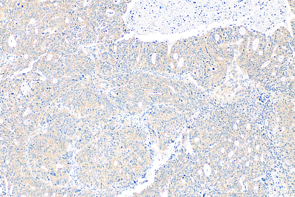
Positive IHC detected inhuman ovary tumor tissue
Note: suggested antigen retrieval with TE buffer pH 9.0; (*) Alternatively, antigen retrieval may be performed with citrate buffer pH 6.0
Positive IF/ICC detected inHepG2 cells

Recommended dilution

ApplicationDilution
Western Blot (WB)WB : 1:2000-1:16000
Immunohistochemistry (IHC)IHC : 1:50-1:500
Immunofluorescence (IF)/ICCIF/ICC : 1:200-1:800
It is recommended that this reagent should be titrated in each testing system to obtain optimal results.
Sample-dependent, Check data in validation data gallery.

Published Applications

WBSee 1 publications below

Product Information

28693-1-AP targets SEC62 in WB, IHC, IF/ICC, ELISA applications and shows reactivity with human samples.

Tested Reactivity human
Cited Reactivityhuman
Host / Isotype Rabbit / IgG
Class Polyclonal
Type Antibody
Immunogen

CatNo: Ag29932

Product name: Recombinant human SEC62 protein

Source: e coli.-derived, PGEX-4T

Tag: GST

Domain: 1-183 aa of NM_003262

Sequence: MAERRRHKKRIQEVGEPSKEEKAVAKYLRFNCPTKSTNMMGHRVDYFIASKAVDCLLDSKWAKAKKGEEALFTTRESVVDYCNRLLKKQFFHRALKVMKMKYDKDIKKEKDKGKAESGKEEDKKSKKENIKDEKTKKEKEKKKDGEKEESKKEETPGTPKKKETKKKFKLEPHDDQVFLDGNE

Predict reactive species
Full Name SEC62 homolog (S. cerevisiae)
Calculated Molecular Weight 46 kDa
Observed Molecular Weight52 kDa
GenBank Accession NumberNM_003262
Gene Symbol SEC62
Gene ID (NCBI) 7095
RRIDAB_3086078
Conjugate Unconjugated
FormLiquid
Purification MethodAntigen affinity purification
UNIPROT IDQ99442
Storage Buffer PBS with 0.02% sodium azide and 50% glycerol, pH 7.3.
Storage ConditionsStore at -20°C. Stable for one year after shipment. Aliquoting is unnecessary for -20oC storage. 20ul sizes contain 0.1% BSA.

Background Information

SEC62 is a integral endoplasmic reticulum (ER) membrane protein. SEC62 and SEC63 form a dimeric complex and play a central role in translocation of nascent and newly synthesized precursor polypeptides into the ER. SEC62 is associated with poor prognosis in a variety of tumors, such as prostate cancer, hepatocellular cancer, breast cancer , melanoma, colorectal cancer (PMID: 36262254).

Protocols

Product Specific Protocols
IF protocol for SEC62 antibody 28693-1-APDownload protocol
IHC protocol for SEC62 antibody 28693-1-APDownload protocol
WB protocol for SEC62 antibody 28693-1-APDownload protocol
Standard Protocols
Click here to view our Standard Protocols

Publications

SpeciesApplicationTitle
humanWB

EMBO J

ER-phagy restrains inflammatory responses through its receptor UBAC2

Authors - Xing He

Phytomedicine

Cinobufagin overcomes bortezomib resistance in multiple myeloma strains by targeting SEC62/TRPM4-mediated NECSO

Authors - Zhao Yin
Loading...
||
New chat

Able

正在加载,请稍候...