SEPHS2 Polyclonal antibody

SEPHS2 Polyclonal Antibody for WB, IHC, ELISA

Cat No. 14109-1-AP

Host / Isotype

Rabbit / IgG

Reactivity

human, mouse, rat

Applications

WB, IHC, ELISA

EC:2.7.9.3, Selenide, water dikinase 2, Selenium donor protein 2, Selenophosphate synthase 2, selenophosphate synthetase 2

Formulation:  PBS, Azide, Glycerol
PBS, Azide, Glycerol
Conjugate:  Unconjugated
Unconjugated
Size/Concentration: 

-/ -

Freight/Packing: -

Quantity

Please visit your regions distributor:


Tested Applications

Positive WB detected inNCI-H1299 cells, mouse pancreas tissue, mouse adipose tissue, rat liver tissue
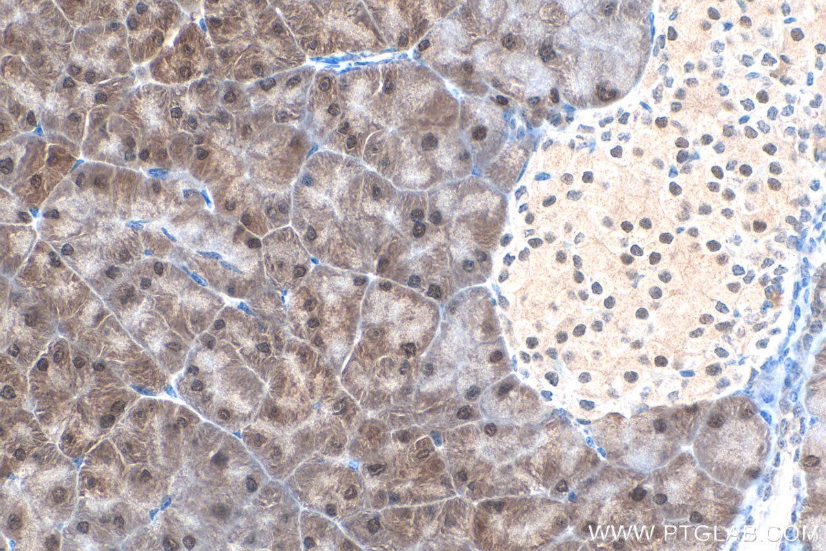
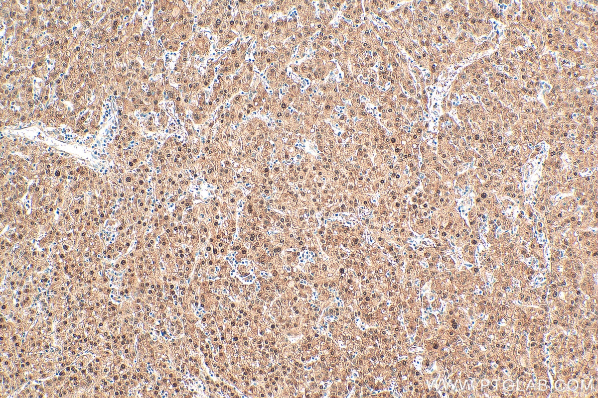
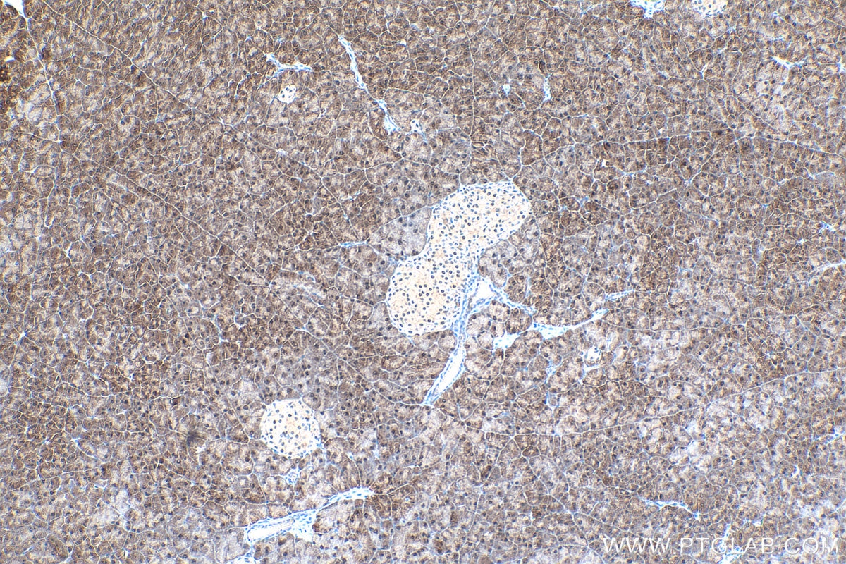
Positive IHC detected inmouse pancreas tissue, human breast cancer tissue, human liver cancer tissue
Note: suggested antigen retrieval with TE buffer pH 9.0; (*) Alternatively, antigen retrieval may be performed with citrate buffer pH 6.0

Recommended dilution

ApplicationDilution
Western Blot (WB)WB : 1:1000-1:4000
Immunohistochemistry (IHC)IHC : 1:750-1:3000
It is recommended that this reagent should be titrated in each testing system to obtain optimal results.
Sample-dependent, Check data in validation data gallery.

Product Information

14109-1-AP targets SEPHS2 in WB, IHC, ELISA applications and shows reactivity with human, mouse, rat samples.

Tested Reactivity human, mouse, rat
Cited Reactivityhuman, mouse
Host / Isotype Rabbit / IgG
Class Polyclonal
Type Antibody
Immunogen

CatNo: Ag5255

Product name: Recombinant human SEPHS2 protein

Source: e coli.-derived, PGEX-4T

Tag: GST

Domain: 118-448 aa of BC016643

Sequence: GMDSCVIPLRHGGLSLVQTTDFFYPLVEDPYMMGRIACANVLSDLYAMGITECDNMLMLLSVSQSMSEEEREKVTPLMVKGFRDAAEEGGTAVTGGQTVVNPWIIIGGVATVVCQPNEFIMPDSAVVGDVLVLTKPLGTQVAVNAHQWLDNPERWNKVKMVVSREEVELAYQEAMFNMATLNRTAAGLMHTFNAHAATDITGFGILGHSQNLAKQQRNEVSFVIHNLPIIAKMAAVSKASGRFGLLQGTSAETSGGLLICLPREQAARFCSEIKSSKYGEGHQAWIVGIVEKGNRTARIIDKPRVIEVLPRGATAAVLAPDSSNASSEPSS

Predict reactive species
Full Name selenophosphate synthetase 2
Calculated Molecular Weight 47 kDa
Observed Molecular Weight47-50 kDa
GenBank Accession NumberBC016643
Gene Symbol SEPHS2
Gene ID (NCBI) 22928
RRIDAB_2878014
Conjugate Unconjugated
FormLiquid
Purification MethodAntigen affinity purification
UNIPROT IDQ99611
Storage Buffer PBS with 0.02% sodium azide and 50% glycerol, pH 7.3.
Storage ConditionsStore at -20°C. Stable for one year after shipment. Aliquoting is unnecessary for -20oC storage. 20ul sizes contain 0.1% BSA.

Background Information

SEPHS2 (Selenophosphate synthetase 2), a selenophosphate synthetase, catalyzes the conversion of selenite and adenosine triphosphate (ATP) into selenophosphate. SEPHS2 is the rate-limiting enzyme that converts selenite to selenocysteine, a key substance in the synthesis of many selenium proteins such as glutathione peroxidase, thioredoxin reductase, and formate dehydrogenase (PMID: 40750759, 31695102).

Protocols

Product Specific Protocols
IHC protocol for SEPHS2 antibody 14109-1-APDownload protocol
WB protocol for SEPHS2 antibody 14109-1-APDownload protocol
Standard Protocols
Click here to view our Standard Protocols

Publications

SpeciesApplicationTitle
humanWB

Mol Cell

PRDX6 dictates ferroptosis sensitivity by directing cellular selenium utilization

Authors - Junya Ito
WB

Biomaterials

H2Se-evolving bio-heterojunctions promote cutaneous regeneration in infected wounds by inhibiting excessive cellular senescence

Authors - Fan Yang

Redox Biol

Macrophages and macrophage extracellular vesicles confer cancer ferroptosis resistance via PRDX6-mediated mitophagy inhibition

Authors - Naisheng Zheng
humanWB

EMBO Mol Med

Breast cancer secretes anti-ferroptotic MUFAs and depends on selenoprotein synthesis for metastasis

Authors - Tobias Ackermann
humanIHC

Front Med (Lausanne)

A glycometabolic gene signature associating with immune infiltration and chemosensitivity and predicting the prognosis of patients with osteosarcoma

Authors - Fengyan Wang
mouse,humanWB

Nat Struct Mol Biol

PRDX6 augments selenium utilization to limit iron toxicity and ferroptosis

Authors - Hiroaki Fujita
Loading...
||
New chat

Able

正在加载,请稍候...