Tested Applications
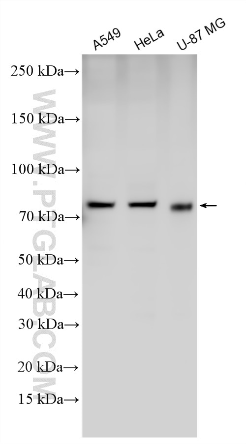
| Positive WB detected in | A549 cells, HeLa cells, U-87 MG cells |
Recommended dilution
| Application | Dilution |
|---|---|
| Western Blot (WB) | WB : 1:500-1:1000 |
| It is recommended that this reagent should be titrated in each testing system to obtain optimal results. | |
| Sample-dependent, Check data in validation data gallery. | |
Published Applications
| WB | See 1 publications below |
Product Information
26399-1-AP targets SLCO4A1 in WB, ELISA applications and shows reactivity with human samples.
| Tested Reactivity | human |
| Cited Reactivity | human |
| Host / Isotype | Rabbit / IgG |
| Class | Polyclonal |
| Type | Antibody |
| Immunogen |
CatNo: Ag23905 Product name: Recombinant human SLCO4A1 protein Source: e coli.-derived, PGEX-4T Tag: GST Domain: 1-103 aa of BC015727 Sequence: MPLHQLGDKPLTFPSPNSAMENGLDHTPPSRRASPGTPLSPGSLRSAAHSPLDTSKQPLCQLWAEKHGARGTHEVRYISAGQSVACGWWAFAPPCLQVLNTPK Predict reactive species |
| Full Name | solute carrier organic anion transporter family, member 4A1 |
| Calculated Molecular Weight | 77 kDa |
| Observed Molecular Weight | 77 kDa |
| GenBank Accession Number | BC015727 |
| Gene Symbol | SLCO4A1 |
| Gene ID (NCBI) | 28231 |
| RRID | AB_2880501 |
| Conjugate | Unconjugated |
| Form | Liquid |
| Purification Method | Antigen affinity purification |
| UNIPROT ID | Q96BD0 |
| Storage Buffer | PBS with 0.02% sodium azide and 50% glycerol, pH 7.3. |
| Storage Conditions | Store at -20°C. Stable for one year after shipment. Aliquoting is unnecessary for -20oC storage. 20ul sizes contain 0.1% BSA. |
Background Information
SLCO4A (Solute carrier organic anion transporter family member 4A1), also referred to as OATP4A1, is a membrane transporter protein, primarily facilitates the transmembrane transport of substances that are independent of Na+, including lipid‑soluble drugs, thyroid and adrenal hormones, and a selected few toxin (PMID: 38275113). SLCO4A1 is highly expressed in several cancers and promotes cell proliferation, migration and invasion (PMID: 28378090). Besides, SLCO4A1 was highly expressed in pancreatic cancer and could be a potential biomarker to target anticancer drugs to pancreatic carcinoma (PMID: 34924768).
Protocols
| Product Specific Protocols | |
|---|---|
| WB protocol for SLCO4A1 antibody 26399-1-AP | Download protocol |
| Standard Protocols | |
|---|---|
| Click here to view our Standard Protocols |

