Product Information
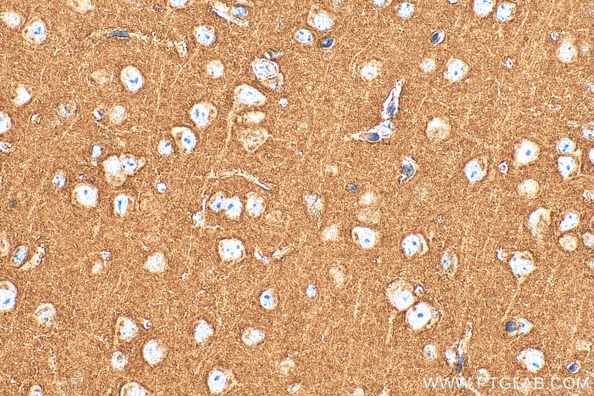
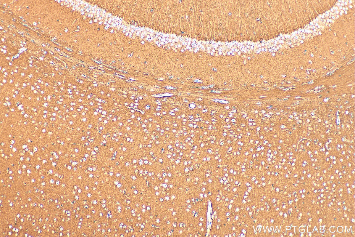
14903-1-PBS targets SNAP25 in WB, IHC, IF/ICC, IP, Indirect ELISA applications and shows reactivity with human, mouse, rat samples.
| Tested Reactivity | human, mouse, rat |
| Host / Isotype | Rabbit / IgG |
| Class | Polyclonal |
| Type | Antibody |
| Immunogen |
CatNo: Ag6695 Product name: Recombinant human SNAP protein Source: e coli.-derived, PGEX-4T Tag: GST Domain: 1-206 aa of BC010647 Sequence: MAEDADMRNELEEMQRRADQLADESLESTRRMLQLVEESKDAGIRTLVMLDEQGEQLDRVEEGMNHINQDMKEAEKNLKDLGKCCGLFICPCNKLKSSDAYKKAWGNNQDGVVASQPARVVDEREQMAISGGFIRRVTNDARENEMDENLEQVSGIIGNLRHMALDMGNEIDTQNRQIDRIMEKADSNKTRIDEANQRATKMLGSG Predict reactive species |
| Full Name | synaptosomal-associated protein, 25kDa |
| Calculated Molecular Weight | 23 kDa |
| Observed Molecular Weight | 25-27 kDa |
| GenBank Accession Number | BC010647 |
| Gene Symbol | SNAP25 |
| Gene ID (NCBI) | 6616 |
| RRID | AB_2192051 |
| Conjugate | Unconjugated |
| Form | Liquid |
| Purification Method | Antigen affinity purification |
| UNIPROT ID | P60880 |
| Storage Buffer | PBS only, pH 7.3. |
| Storage Conditions | Store at -80°C. |
Background Information
The synaptosomal associated protein of 25 kD (SNAP-25) was first identified as a major synaptic protein by Wilson and colleagues. The protein interacts with syntaxin and synaptobrevin through its N-terminal and C-terminal -helical domains. Its palmitoylation domain is located in the middle of the molecule that contains four cysteine residues. Mutation of the cysteines abolishes palmitoylation and membrane binding. Several elegant studies using synaptosome preparations and permeabilized PC12 cells have suggested that SNAP-25 may act in the late post-docking steps of exocytosis. By limited proteolysis and in vitro binding assay, it is proposed that the two helix domains act independently and contribute equally to form the SNARE complex with syntaxin and synaptobrevin. It seems that a major regulatory element is located in the C-terminus of SNAP-25. Removing a 9 amino acid sequence of SNAP-25 inhibited neurosecretion in chromaffin cells. In addition, it has been shown that inhibition of neurosecretion by AX type E can be rescued by a SNAP-25 C-terminal peptide, probably by initiating the formation of a fusion competent SNARE complex.



















