Tested Applications
| Positive WB detected in | HeLa cells, HEK-293 cells, NCI-H1299 cells, U2OS cells, HepG2 cells, Jurkat cells, U-87 MG cells |
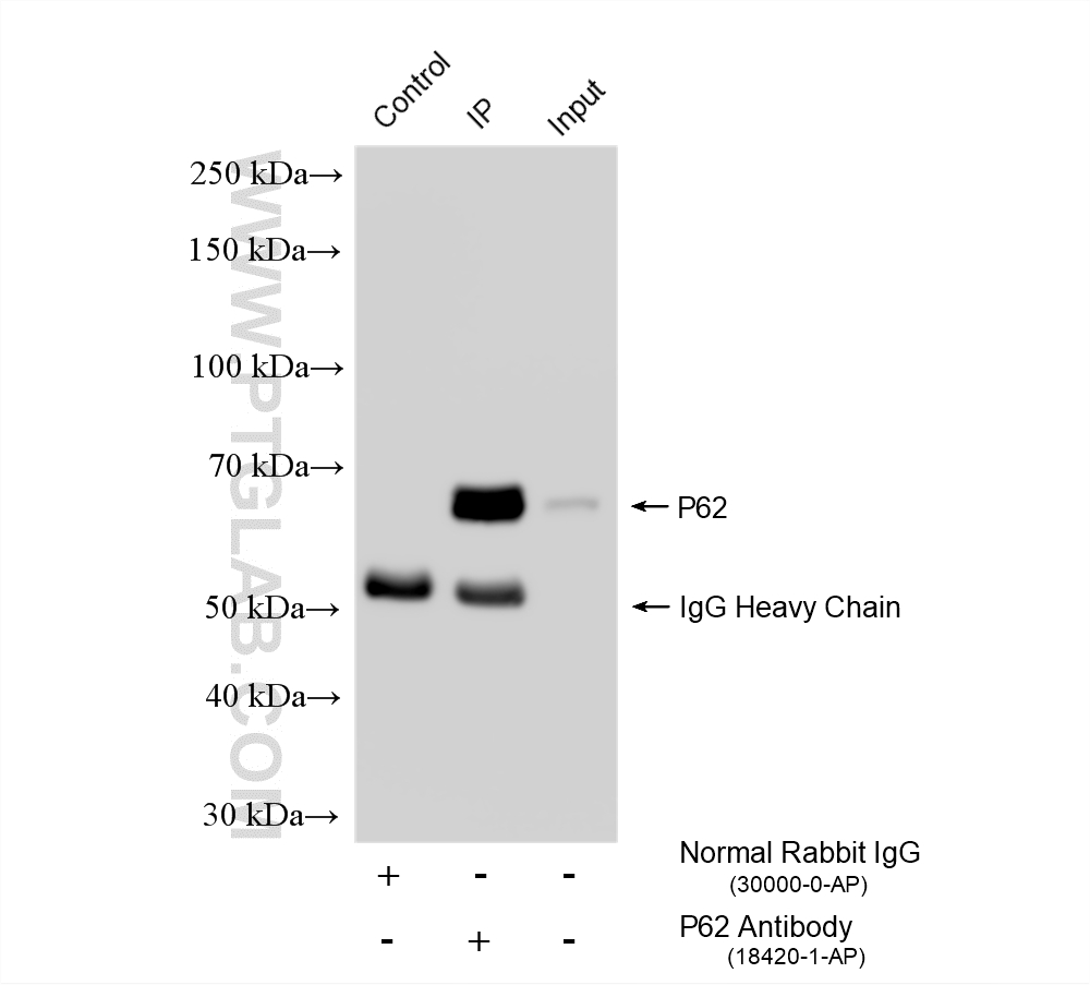
| Positive IP detected in | HepG2 cells, U2OS cells |
| Positive IHC detected in | human lung cancer tissue, human gliomas tissue, human liver cancer tissue Note: suggested antigen retrieval with TE buffer pH 9.0; (*) Alternatively, antigen retrieval may be performed with citrate buffer pH 6.0 |
| Positive IF/ICC detected in | Chloroquine treated HepG2 cells, U2OS cells, Chloroquine treated HeLa cells |
| Positive FC (Intra) detected in | HEK-293 cells |
Recommended dilution
| Application | Dilution |
|---|---|
| Western Blot (WB) | WB : 1:5000-1:50000 |
| Immunoprecipitation (IP) | IP : 0.5-4.0 ug for 1.0-3.0 mg of total protein lysate |
| Immunohistochemistry (IHC) | IHC : 1:200-1:800 |
| Immunofluorescence (IF)/ICC | IF/ICC : 1:750-1:3000 |
| Flow Cytometry (FC) (INTRA) | FC (INTRA) : 0.40 ug per 10^6 cells in a 100 µl suspension |
| It is recommended that this reagent should be titrated in each testing system to obtain optimal results. | |
| Sample-dependent, Check data in validation data gallery. | |
Published Applications
| KD/KO | See 43 publications below |
| WB | See 1808 publications below |
| IHC | See 176 publications below |
| IF | See 232 publications below |
| IP | See 25 publications below |
| CoIP | See 14 publications below |
Product Information
18420-1-AP targets P62/SQSTM1 in WB, IHC, IF/ICC, FC (Intra), IP, CoIP, ELISA applications and shows reactivity with human samples.
| Tested Reactivity | human |
| Cited Reactivity | human, canine, monkey, chicken, bovine, hamster, goat, goslings, ae. aegypti, duck |
| Host / Isotype | Rabbit / IgG |
| Class | Polyclonal |
| Type | Antibody |
| Immunogen |
CatNo: Ag13131 Product name: Recombinant human P62;SQSTM1 protein Source: e coli.-derived, PGEX-4T Tag: GST Domain: 1-440 aa of BC017222 Sequence: MASLTVKAYLLGKEDAAREIRRFSFCCSPEPEAEAEAAAGPGPCERLLSRVAALFPALRPGGFQAHYRDEDGDLVAFSSDEELTMAMSYVKDDIFRIYIKEKKECRRDHRPPCAQEAPRNMVHPNVICDGCNGPVVGTRYKCSVCPDYDLCSVCEGKGLHRGHTKLAFPSPFGHLSEGFSHSRWLRKVKHGHFGWPGWEMGPPGNWSPRPPRAGEARPGPTAESASGPSEDPSVNFLKNVGESVAAALSPLGIEVDIDVEHGGKRSRLTPVSPESSSTEEKSSSQPSSCCSDPSKPGGNVEGATQSLAEQMRKIALESEGRPEEQMESDNCSGGDDDWTHLSSKEVDPSTGELQSLQMPESEGPSSLDPSQEGPTGLKEAALYPHLPPEADPRLIESLSQMLSMGFSDEGGWLTRLLQTKNYDIGAALDTIQYSKHPPPL Predict reactive species |
| Full Name | sequestosome 1 |
| Calculated Molecular Weight | 48 kDa |
| Observed Molecular Weight | 62 kDa |
| GenBank Accession Number | BC017222 |
| Gene Symbol | P62/SQSTM1 |
| Gene ID (NCBI) | 8878 |
| RRID | AB_10694431 |
| Conjugate | Unconjugated |
| Form | Liquid |
| Purification Method | Antigen affinity purification |
| UNIPROT ID | Q13501 |
| Storage Buffer | PBS with 0.02% sodium azide and 50% glycerol, pH 7.3. |
| Storage Conditions | Store at -20°C. Stable for one year after shipment. Aliquoting is unnecessary for -20oC storage. 20ul sizes contain 0.1% BSA. |
Background Information
Background
P62 (ubiquitin-binding protein P62), also known as Sequestosome-1, is a multifunctional adaptor protein most widely known for its role as an autophagosome cargo protein (PMID: 8551575). P62 via specific interactions with polyubiquitylated target proteins induces their selective autophagy (PMID: 17580304). It also plays an important role in the regulation of the NFkB signaling pathway, senescence, cell differentiation, apoptosis, and immune responses (PMID: 26404812).
What is the molecular weight of P62?
The observed molecular weight of the protein can vary from as low as 8 kDa (for the smallest isoforms) to 48 kDa.
What is the subcellular localization of P62?
P62 is mainly localized in the cytoplasm; however, upon autophagy induction, e.g., via starvation or selective inhibitor treatment, it localizes in vesicular structures - autophagosomes.
What is the tissue specificity of P62?
It is ubiquitously expressed in various tissues.
What is the function of P62 in the regulation of cell death and autophagy?
It is a selective autophagy receptor that forms a bridge between polyubiquitylated cargo (via its UBA domains) and an autophagy modifier such as LC3 (via LIR domains) (PMIDs: 16286508, 20168092, 24128730, 28404643, 22622177). The process of selective autophagy is tightly regulated at many levels, including the posttranslational modifications (PTMs) of various proteins in the cascade, P62 among others (PMID: 29233872). P62 is involved in the regulation of cell death induction in response to various stimuli, e.g., via activation of caspase-8 at the autophagosome membrane (PMID: 29480462). In addition, P62 is degraded during the autophagic process, which makes its intracellular level a marker for autophagy progression.
What is P62's involvement in disease?
Mutations in P62 have been associated with the following diseases: sporadic and familial Paget's disease of bone, neurodegenerative diseases, diabetes, and obesity (PMID: 29480462). A growing number of reports suggest the implication of P62 in the induction of multiple cellular oncogenic transformations. Indeed, increased levels of P62 have been linked to tumor formation, cancer promotion, and resistance to therapy (PMID: 29738493). Moreover, P62 is an unfavorable prognostic marker in liver cancer.
Protocols
| Product Specific Protocols | |
|---|---|
| FC protocol for P62/SQSTM1 antibody 18420-1-AP | Download protocol |
| IF protocol for P62/SQSTM1 antibody 18420-1-AP | Download protocol |
| IHC protocol for P62/SQSTM1 antibody 18420-1-AP | Download protocol |
| IP protocol for P62/SQSTM1 antibody 18420-1-AP | Download protocol |
| WB protocol for P62/SQSTM1 antibody 18420-1-AP | Download protocol |
| Standard Protocols | |
|---|---|
| Click here to view our Standard Protocols |
Publications
| Species | Application | Title |
|---|---|---|
Nature FBXO38 mediates PD-1 ubiquitination and regulates anti-tumour immunity of T cells. | ||
Signal Transduct Target Ther Targeting CRL4 suppresses chemoresistant ovarian cancer growth by inducing mitophagy | ||
Mol Cancer Overcoming multi-drug resistance in SCLC: a synergistic approach with venetoclax and hydroxychloroquine targeting the lncRNA LYPLAL1-DT/BCL2/BECN1 pathway | ||
Cell Metab Disrupted methionine cycle triggers muscle atrophy in cancer cachexia through epigenetic regulation of REDD1 | ||
Cancer Cell iASPP Is an Antioxidative Factor and Drives Cancer Growth and Drug Resistance by Competing with Nrf2 for Keap1 Binding. | ||
Cell Metab Receptor-Mediated ER Export of Lipoproteins Controls Lipid Homeostasis in Mice and Humans. |
Reviews
The reviews below have been submitted by verified Proteintech customers who received an incentive for providing their feedback.
FH David (Verified Customer) (01-02-2024) | Used for WB in cell lysates. Prominent band at the predicted molecular weight, although some non-specific bands in the control at around 40kDa. However, the correct SQSTM1 band can be clearly visualised.
|
FH Alexandru (Verified Customer) (11-21-2023) | Great at detecting p62 in cell lysates.
|
FH Wan (Verified Customer) (02-24-2022) | Perfect antibody, clear bands!
|
FH X (Verified Customer) (01-18-2021) | It is a reliable Ab to detect p62 with mouse brain lysate, although there is other band detected.
![]() |
FH X (Verified Customer) (01-18-2021) | It is a reliable Ab to detect p62 with mouse brain lysate in WB, although there is other bands seen.
|
FH Wei (Verified Customer) (01-30-2020) | Good, Clear band for mouse heart
|
FH Joleen (Verified Customer) (06-16-2019) | Recognizes SQSTM1 prominently with some non-specific bands.
![]() |







































